Краткая характеристика заболевания
Эхинококкоз – это хроническое гельминтозное заболевание, которое вызывается ленточным червем экинококком. Болеют не только люди, но и животные. Чаще всего заражение эхинококкозом происходит после контактов с собаками или во время стрижки овец. Особенности механизма передачи определяют повсеместную распространенность инфекции. В нашей стране она встречается во всех регионах, но наибольшее количество заболевших выявляется в областях с развитым животноводством.
Врачи отмечают, что эхинококкоз представляет собой серьезную проблему для общественного здоровья, особенно в регионах с высоким уровнем заболеваемости. Это паразитарное заболевание вызывается личинками эхинококка, которые могут поражать печень, легкие и другие органы. Специалисты подчеркивают важность ранней диагностики, так как симптомы могут быть неявными и проявляться только на поздних стадиях.
Медики рекомендуют проводить регулярные обследования у людей, работающих с животными, и соблюдать меры профилактики, такие как тщательная гигиена и обработка продуктов питания. Лечение эхинококкоза часто требует хирургического вмешательства, что делает своевременное обращение к врачу особенно важным. Врачи призывают к повышению осведомленности населения о рисках и методах предотвращения этого заболевания.
https://youtube.com/watch?v=U5x6zmwoMbs
Возбудители инфекции и механизмы развития болезни
Ленточные черви паразитируют в кишечниках овец, собак и грызунов. Там они откладывают яйца, которые затем попадают во внешнюю среду с фекалиями животных. Яйца гельминтов проникают в организм человека при несоблюдении правил личной гигиены и необходимого уровня санитарии, причем при диагнозе эхинококкоз симптомы инфекции могут проявляться в самых разных органах. Главная опасность эхинококкоза заключается том, что с кровью гельминты разносятся по всем жизненно важным системам и превращаются в финны – кисты, в которых происходит окончательное формирование паразита. По мере того, как растут возбудители эхинококкоза, финны также увеличиваются в размерах и начинают сдавливать близлежащие ткани, нарушая нормальное функционирование органов. Чаще всего кисты обнаруживаются в печени (эхинококкоз печени) и в легких. Иногда они поражают головной мозг.
Как проявляет себя эхинококкоз, симптомы заболевания
В большинстве случаев эхинококкоз протекает абсолютно бессимптомно. Нередко складывается ситуация, когда обнаружить эхинококкоз у детей и взрослых удается лишь при профилактических рентгенологических и ультразвуковых исследованиях. Если же гельминты прогрессируют до стадии кист, то они начинают сдавливать соседние органы и ткани. На этом этапе симптомы эхинококкоза проявляются более ярко. У пациентов наблюдаются различные симптомы, зависящие от места локализации финн. Так, к примеру, эхинококкоз печени сопровождается:
Легочная форма эхинококкоза приводит к возникновению болей в грудной клетке, кашля, одышки. Если у человека развивается эхинококкоз головного мозга симптомы имеют неврологическую природу. Чаще всего пациенты страдают от параличей, парезов, судорожных припадков и психических расстройств.
Эхинококкоз — это заболевание, о котором многие слышали, но не все понимают его серьезность. Люди часто обсуждают его в контексте домашних животных, особенно собак, которые могут быть переносчиками яиц паразита. Некоторые считают, что это проблема, касающаяся только сельской местности, однако случаи заболевания фиксируются и в городах. Многие делятся историями о том, как их знакомые столкнулись с этим недугом, и подчеркивают важность профилактических мер, таких как регулярная дегельминтизация домашних питомцев и соблюдение гигиенических норм. В социальных сетях можно встретить советы по предотвращению заражения, а также информацию о симптомах и лечении. Люди осознают, что ранняя диагностика играет ключевую роль в успешном лечении, и стараются делиться полезной информацией, чтобы повысить осведомленность о заболевании.
https://youtube.com/watch?v=avp1cpXHWjk
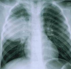
Диагностика эхинококкоза
Наличие гельминтов в организме человека подтверждается с помощью визуализирующих лабораторных методов исследования. Как правило, врачи используют для этого рентген, МРТ, КТ и УЗИ. Ранее, наряду с перечисленными методиками, применялась и пункционная биопсия кисты, однако, в наши дни ее считают опасной, поскольку в ходе процедуры может произойти распространение паразитов в окружающие органы и ткани. Также для диагностики эхинококкоза не используются иммунологические методы, что связано с их низкой информативностью.
Лечение эхинококкоза
Выбор методики лечения эхинококкоза зависит от места локализации гельминтов, общего состояния больного и клинической картины развития инфекции. В большинстве случаев принимается решение о хирургическом вмешательстве, если, конечно, оно не несет угрозы для жизни пациента. В ходе операции производится удаление кисты с последующим ушиванием полости, оставшейся после выемки образования.
https://youtube.com/watch?v=L95nOuJiX1s
Профилактика эхинококкоза
При профилактике эхинококкоза необходимо соблюдать следующие правила:
Как видите, правила действительно просты, но их соблюдение позволит предотвратить не только эхинококкоз, но и многие другие болезни желудочно-кишечного тракта.
Если Вас интересует работа в Липецке, вакансии и каталог кадровых агентств можете посмотреть на сайте lipetsk.job.ru.
Вопрос-ответ
Что такое эхинококкоз и как он передается?
Эхинококкоз — это паразитарное заболевание, вызванное личинками цепня Echinococcus. Передача происходит через контакт с фекалиями инфицированных животных, чаще всего собак, а также при употреблении загрязненной пищи или воды.
Какие симптомы могут указывать на наличие эхинококкоза?
Симптомы эхинококкоза могут варьироваться в зависимости от локализации паразита, но часто включают боль в животе, тошноту, рвоту, аллергические реакции и увеличение печени или легких. В некоторых случаях заболевание может протекать бессимптомно на протяжении длительного времени.
Как проводится диагностика и лечение эхинококкоза?
Диагностика эхинококкоза включает ультразвуковое исследование, компьютерную томографию и серологические тесты для выявления антител к паразиту. Лечение может включать хирургическое удаление кист, а также применение противопаразитарных препаратов, таких как альбендазол или мебендазол.
Советы
СОВЕТ №1
Регулярно проводите дегельминтизацию домашних животных, особенно если у вас есть собаки или кошки. Это поможет предотвратить заражение эхинококком, так как именно животные могут быть переносчиками данного паразита.
СОВЕТ №2
Избегайте контакта с дикими животными и не трогайте их, особенно в районах, где зарегистрированы случаи эхинококкоза. Это снизит риск передачи паразита от животных к человеку.
СОВЕТ №3
Тщательно мойте фрукты и овощи перед употреблением, особенно если они были собраны в местах, где могут находиться инфицированные животные. Это поможет избежать проглатывания яиц эхинококка.
СОВЕТ №4
Обращайте внимание на симптомы, такие как боли в животе, потеря веса и аллергические реакции. При их появлении незамедлительно обращайтесь к врачу для диагностики и лечения.

