Киста печени представляет собой полостное образование, заполненное жидкостью и исходящее из тканей печени. Данное заболевание диагностируется у 1 – 2% людей, причем мужчины страдают им в несколько раз реже, чем женщины. Чаще всего киста печени выявляется у людей самого трудоспособного возраста (30 – 50 лет).
Кисты печени носят доброкачественный характер и обычно заполнены не имеющей запаха прозрачной жидкостью. Значительно реже наблюдаются кисты печени с темно-зеленым желеобразным содержимым.
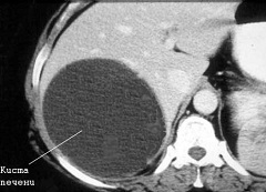
Кисты могут локализоваться в различных долях и сегментах печени, располагаться как в глубине органа, так и на его поверхности. В своем диаметре кисты печени достигают 25 сантиметров. Очень редко наблюдаются гигантские кисты, имеющие еще больший размер.
Кисты печени: причины и классификация
Все кисты печени подразделяются на две большие группы: на паразитарные и непаразитарные кисты.
Непаразитарные кисты печени в свою очередь делятся на истинные и ложные. Ложные кисты печени возникают в результате травматического повреждения печени, в том числе и после оперативного лечения эхинококка или абсцесса печени.
Истинные кисты печени возникают у человека еще в период внутриутробного развития. Причина их возникновения заключается в том, что некоторые желчные протоки оказываются неподключенными к общей системе желчных путей. Такие кисты обычно ничем себя не проявляют, и их обнаруживают обычно случайно при проведении компьютерной томографии или ультразвукового исследования печени по какому-либо другому поводу.
Паразитарные кисты печени бывают эхинококковыми и альвеококковыми. Они возникают в результате заражения человека паразитами от больного животного. Паразитарные кисты печени представляют собой весьма опасное заболевание, требующее проведения обязательного лечения.
Врачи отмечают, что киста печени является довольно распространенным заболеванием, которое часто не вызывает серьезных симптомов и может быть случайно выявлено при проведении ультразвукового исследования. Специалисты подчеркивают, что большинство кист не требуют лечения и могут оставаться стабильными на протяжении многих лет. Однако в редких случаях, когда киста начинает увеличиваться в размерах или вызывает дискомфорт, может потребоваться хирургическое вмешательство. Врачи рекомендуют регулярные обследования для мониторинга состояния печени, особенно если у пациента есть предрасположенность к заболеваниям этого органа. Также важно учитывать, что кисты могут быть как простыми, так и сложными, и только врач может определить необходимую тактику лечения.
https://youtube.com/watch?v=fvu4gwAt6Fg
Киста печени: симптомы
Кисты печени могут достаточно длительно протекать практически бессимптомно. Но по мере их роста больные начинают жаловаться на отрыжку, тошноту, ноющие боли в правом подреберье, поносы. Обычно боль усиливается в моменты физической активности и стихает во время отдыха.
Другими неспецифическими симптомами кисты печени являются:
При кисте печени огромного размера возникает ассиметричное увеличение живота, которое становится особенно заметным на фоне общего похудания больного. Если опухоль начинает сдавливать желчные пути, то развивается механическая желтуха – еще один симптом кисты печени.
Киста печени: лечение
При небольших размерах кисты печени лечение обычно проводится консервативными методами. Больным рекомендуется придерживаться диетического питания. Из рациона следует исключить жареную, жирную, копченую, острую и соленую пищу, а также различные пряности и соусы. Необходимо отказаться от употребления спиртных напитков, крепкого кофе и чая, различных газированных напитков. В меню необходимо включать как можно больше свежих овощей и фруктов, а также свежевыжатые соки. Помимо этого, в рацион следует включать молочные и кисломолочные продукты, печень животных, рыбу.
К удалению кисты печени хирургическим путем прибегают в случае ее нагноения, кровотечения или разрыва. Помимо этого, удаление кисты печени показано при ее гигантском размере (более 10 сантиметров в диаметре). В тех случаях, когда симптомы кисты печени носят выраженный характер, врач также может порекомендовать оперативное лечение.
Удаление кисты печени может производиться с помощью лапароскопической или традиционной открытой методики. В последние годы врачи отдают предпочтение лапароскопии, т.к. этот метод удаления кисты печени значительно легче переносится больными и дает значительно меньший процент послеоперационных осложнений.
Киста печени — это образование, которое вызывает множество вопросов и опасений у людей. Многие отмечают, что в большинстве случаев кисты не вызывают симптомов и обнаруживаются случайно при ультразвуковом исследовании. Однако, некоторые пациенты сообщают о дискомфорте в правом подреберье или ощущении тяжести. Важно отметить, что большинство кист являются доброкачественными и не требуют лечения, но существует и риск осложнений, таких как инфекция или разрыв. Люди часто делятся своими переживаниями о том, как диагноз повлиял на их жизнь, и как они справляются с тревогой. Врачебные рекомендации по регулярному наблюдению и соблюдению здорового образа жизни помогают многим чувствовать себя увереннее.
https://youtube.com/watch?v=qlMGUYcgzrk
Киста печени: народное лечение
Во многих случаях консервативное лечение кисты печени дает стойкий положительный эффект. В дополнение к диете, медикаментозному лечению врач может посоветовать больному и методы народного лечения кисты печени. Достаточно эффективным является использование для терапии данного заболевания отвара скорлупы кедровых орешков. Для его приготовления следует взять примерно полстакана скорлупы и залить ее литром холодной воды. Довести до кипения и кипятить на очень маленьком огне в течение получаса. Полученный отвар выпивают в течение дня. Использованные скорлупки можно еще два раза использовать для приготовления отвара, а затем их следует заменить на новые.
Другим методом народного лечения кисты печени является использование сока чистотела. Однако если вы решитесь использовать этот метод, то следует обязательно посоветоваться с лечащим врачом. Помните, что сок чистотела очень ядовит, неправильно подобранная доза может привести к достаточно серьезному отравлению!
Вопрос-ответ
https://youtube.com/watch?v=yAeSUqRfEck
Чем опасна киста на печени?
Большие кисты печени представляют серьезную опасность для организма. Они могут сдавливать желчевыводящие пути, вызывая механическую желтуху. Если образование имеет ножку, есть риск ее перекрута с последующим некрозом. Нарушение целостности стенки может привести к тяжелому кровотечению и перитониту.
Можно ли жить с кистой в печени?
Большинство кист печени не требует лечения. Однако, если кисты становятся большими и болезненными, их может потребоваться дренировать или удалить хирургическим путем. Кисты также могут быть удалены хирургическим путем, если они препятствуют попаданию желчи в кишечник.
Что нельзя делать при кисте в печени?
Диета при кисте печени подразумевает отказ от жирных, жареных, консервированных, соленых, копченых продуктов, крепкого кофе, газированных напитков, мороженого, острых соусов, приправ, пряностей. Необходимо употреблять овощи (особенно морковь, пастернак, свеклу), фрукты (в первую очередь – цитрусовые), пить соки.
Нужно ли удалять кисту в печени?
При неосложненной, непаразитарного происхождения кисте до 3 см рекомендовано наблюдение с обязательным ультразвуковым обследованием 1-2 раза в год. При осложненных кистах или вероятности развития осложнений необходимо хирургическое вмешательство.
Советы
СОВЕТ №1
Регулярно проходите медицинские обследования. Кисты печени часто не проявляют симптомов, поэтому важно делать УЗИ или КТ печени по рекомендации врача, особенно если у вас есть предрасположенность к заболеваниям печени.
СОВЕТ №2
Обратите внимание на свое питание. Сбалансированная диета, богатая фруктами, овощами и клетчаткой, может помочь поддерживать здоровье печени. Избегайте избыточного потребления алкоголя и жирной пищи, которые могут усугубить состояние печени.
СОВЕТ №3
Следите за своим состоянием. Если вы заметили такие симптомы, как боль в правом подреберье, желтуха или необъяснимая потеря веса, немедленно обратитесь к врачу. Это может помочь в раннем выявлении возможных осложнений, связанных с кистами печени.
СОВЕТ №4
Обсудите с врачом возможные методы лечения. В зависимости от размера и типа кисты, врач может рекомендовать наблюдение, медикаментозное лечение или хирургическое вмешательство. Не стесняйтесь задавать вопросы и уточнять все детали лечения.

