Проводить лечение пародонтальных заболеваний без удаления отложений на зубах – бессмысленная процедура, так как именно налет является причиной роста патогенных микробов.
Максимально эффективным способом устранения налета считается кюретаж карманов пародонта. Данная процедура предусматривает полное выскабливание грануляционной ткани и поддесневого камня, с помощью специальных инструментов.
Что такое пародонтальный карман?
Скопление большого количества отложений приводит к развитию воспаления в тканях пародонта. Вследствие этого процесса, происходит постепенное разрушение периодонтальной и костной ткани. Одновременный процесс распада приводит к образованию пародонтального кармана.
По ширине и глубине образовавшейся щели, можно судить о степени разрушения тканей. На ранних стадиях десенный карман можно диагностировать с помощью рентген-снимка. Прогрессирующее воспаление позволяет выявить наличие карманов при визуальном осмотре.
Строение зубодесневого кармана
Пародонтальный карман – это пространство, освободившееся в результате разрушения пародонта. Воспалительный процесс нарушает целостность зубодесневых соединений, начинается атрофия (рассасывание) альвеолярной кости. Возникает участок, где отсутствует крепление десны к поверхности зубного корня.
Поясним, что пародонт включает околозубные ткани:
- круговую связку зуба;
- цемент, покрывающий корень;
- альвеолярные отростки (часть, несущая на себе зубы).
Дно кармана, как правило, заполнено грануляционной (соединительной) тканью, налетом и гноем. Отмечается большое количество разрушенных лейкоцитов, что говорит о затяжном воспалительном процессе. В ямку постоянно попадают частички пищи.
Дефект четко видно на рентгеновском снимке, он проявляется в виде темного участка между зубами. Для диагностики также используют метод зондирования ручными инструментами.
Симптомы
Образование карманов десны может протекать бессимптомно до определенного момента. Но с развитием болезни проявляются и ее основные признаки:
- дискомфортные ощущения в области десны;
- неприятный запах изо рта, который не исчезает после качественной чистки и применения ополаскивателей;
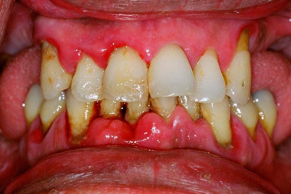
- покраснение и отек десен. В этом случае мягкие ткани отличаются блестящей поверхностью;
- кровоточивость, даже при небольшом воздействии на десны. Например, при очищении коронок;
- при пальпации пародонтальных тканей отмечается болезненность и выраженная податливость десны;
- в запущенных случаях увеличивается размер пародонтального кармана. При нажатии может наблюдаться выделение гнойного содержимого;
- зубы становятся подвижными;
- расширяются межзубные промежутки;
- возможно общее ухудшение состояния больного.

При выявлении данных симптомов следует незамедлительно обратиться к стоматологу, даже если проблема локализуется только возле одного зуба, иначе ситуация с каждым днем будет ухудшаться и приведет к прогрессированию заболевания.
У кого может появиться десневой карман?
Обычно люди не слишком обращают внимание на состояние своих десен до тех пор, пока заболевание не перейдет в достаточно тяжелую форму. Чаще всего это происходит в возрасте от 30-40 лет. Мужчины более склонны к пародонтитам, что, в частности, связано с преобладанием мужчин среди курильщиков, а также с тяжелыми условиями труда. У подростков более типичны заболевания десен и образование ложных карманов, чем разрушение кости. Однако существуют отдельные формы заболеваний пародонта, развивающиеся в юном возрасте и протекающие крайне тяжело, поэтому при появлении первых симптомов следует обратиться к врачу для диагностики. В целом, заболевания десен могут проявиться в любом возрасте, если личной гигиене полости рта не уделяется должное внимание.
Причины образования
Основная причина возникновения кармана пародонта – скопление бактериальных отложений в пришеечной области коронки. Микробы образуют невидимую пленку по всей поверхности эмали и выделяют продукты своей жизнедеятельности, которые и вызывают воспаление.
К основным факторам, провоцирующим рост микробов, относятся:
- неправильное питание, преимущественно углеводными продуктами;
- плохое качество гигиены рта;
- вредные привычки;
- общие заболевания;
- гормональные нарушения;
- иммунодефицит;
- стоматологические заболевания.
Профилактические мероприятия
Важнее лечения могут быть только вовремя принятые профилактические меры, значительно снижающие риск появления десневых карманов.
Профилактика пародонтоза и появления карманов:
- своевременное очищение десен, соблюдение правил гигиены, массаж;
- отказ от табакокурения, злоупотребления алкоголем и прочих вредных привычек;
- поддержание иммунитета и общего здоровья организма;
- использование зубной нити или зубочистки;
- обязательное посещение стоматолога в целях профилактики (1 раз в 6 месяцев).
Чтобы избежать проблем с мягкими тканями необходимо следить за здоровьем ротовой полости и при малейшем подозрении на начало воспалительного процесса посетить врача.
Последствия болезни
Карман десны – это не просто деформация пародонта. Это серьезная патология, требующая адекватного и своевременного лечения, отсутствие которого может привести к тяжелым осложнениям.
Наиболее часто возникает острый абсцесс, в дальнейшем приобретающий хроническую форму.
Данная патология сопровождается сильной подвижностью зубов и болезненностью. При отсутствии должного лечения, зуб полностью выпадает из альвеолярной лунки. Развитие воспаления приводит к лимфадениту и общей интоксикации организма.
Отсутствие лечения может привести к распространению инфекции на кость челюсти.
Смотрите видео закрытого кюретажа десен
Какие методы лечения существуют
Перед процедурой лечения проводится диагностика, на которой определяется степень заболевания. Этот этап необходим для того, чтобы подобрать максимально правильный метод для устранения патологии.
На начальном этапе используют консервативную терапию, направленную на купирование симптомов. В сложных случаях рекомендуется наиболее эффективный – хирургический способ лечения кармана пародонта, который обеспечивает удаление налета полностью.
Терапевтические методы устранения пародонтального кармана
Данный метод лечения может быть использован при небольшом углублении кармана, не превышающем 0,15 мм. При этом на поддесневой части зуба должно находиться минимальное количество отложений и отсутствовать признаки воспаления мягких тканей.
Гигиеническая чистка зубов с помощью ультразвукового скалера. Удаление камня и налета происходит путем его разрушения, без повреждения десны. Этот метод в последнее время более популярен, чем лазерный кюретаж, где для лечения пародонтального кармана пораженное место обрабатывают лазером.
Медикаментозная терапия. Как правило, назначается сразу после завершения стоматологической чистки. При легкой степени заболевания используется лишь асептическая обработка: полоскания, ванночки, орошения. Для этого применяют Хлоргексидин или Мирамистин.
В тяжелых случаях необходим прием курса антибиотиков: Линкомицина, Амоксоциллина, Азитромицина.
Данные процедуры могут быть бесполезны, если глубина кармана превышает 2 мм. В такой ситуации врач не сможет полностью удалить камень из-под десны. Кроме этого, дополнительно травмируется пародонт. Вследствие проведенных манипуляций, воспаление и разрушение тканей только усиливается.
Хирургическое лечение
Хирургический способ лечения предусматривает прямое механическое воздействие специальными инструментами на поддесенные участки. В зависимости от степени поражения, выделяют два хирургических метода устранения данной проблемы: кюретаж закрытого и открытого типа.
Зачем нужно делать кюретаж?
Чтобы понять – зачем нужно делать кюретаж или лоскутную операцию необходимо немного углубиться в детали развития и течения пародонтита. Пародонтит развивается на фоне неудовлетворительной гигиены полости рта, присутствия большого количества мягкого микробного зубного налета и твердых зубных отложений. Последние запускают в десне воспалительный процесс, который сначала проявляется кровоточивостью при чистке зубов, болями и отеком десны, а позже к этим симптомам присоединяется еще и подвижность зубов, их смещение, гноетечение из под десны и т.д.
Итак, в зубо-десневой борозде мягкий зубной налет минерализуется и превращается в твердый зубной камень, который очень плотно прикреплен к поверхности шейки зуба (рис.1-2). Микроорганизмы зубного камня продуцируют токсины, запускающие в десне процесс воспаления.
В процессе воспаления происходит:
- Атрофия костной ткани вокруг зуба – т.е. кость начинает постепенно рассасываться. Сравните уровень костной ткани по отношению к корням зубов у человека без сопутствующего пародонтита (рентгенограмма 3а) и у человека с пародонтитом средней степени тяжести (рентгенограмма 3b). Расстояние между «а» и «b» – это уровень полного разрушения косной ткани, что видно по отсутствию костных балочек в этом участке.Причем нужно отметить, что костная ткань непросто бесследно исчезает, а замещается так называемой грануляционной тканью, которая содержит большое количество микробных клеток, клеток, рассасывающих кость (остеокластов) и т.д. Появление грануляционной ткани способствует еще более быстрому последующему разрушению кости.
- Образование пародонтальных карманов – под воздействием воспаления, вызываемого зубными отложениями, происходит разрушение не только кости, но и периодонтального прикрепления зуба к кости (Периодонта). Периодонт – это такие микросвязочки между корнем зуба и костью, при помощи которых зуб надежно прикреплен к костной ткани.Пародонтальный карман – это такой участок, на ширину и глубину которого произошло разрушение костной ткани, отсутствует прикрепление десны к поверхности корня зуба, а сам дефект заполнен грануляционной тканью, зубными отложениями, гноем. Пародонтальный карман пациенты часто называют – зубной карман, десневой карман, карман в десне. Такие десневые карманы могут быть выявлены путем зондирования специальными пародонтологическими зондами, либо рентгенологически.
Хирургическое лечение заболеваний пародонта в отличие от терапевтического лечения позволяет:
Так вот, когда образовались глубокие пародонтальные карманы от 3-4 мм, произошло частичное замещение костной ткани грануляционной тканью – процесс по сути становится необратимым, не смотря ни на какую местную и общую противовоспалительную терапию, лечение антибиотиками, лазером, снятие зубных отложений и т.д. Почему?
- Во-первых – полностью удалить зубные отложения из глубоких пародонтальных карманов практически не возможно. Дело в том, что доктор вводит ультразвуковую насадку под десну «вслепую», т.е. он совершает движения, не видя, что именно происходит в пародонтальных карманах. Поэтому, как правило, остается большое количество поддесневых отложений, которые продолжают разрушительное действие. К тому же удаление поддесневых зубных отложений дело чрезвычайно кропотливое, долгое, и пациент никогда не узнает, если там что-то останется. Поэтому в условиях платного коммерческого приема тратить драгоценное время, выискивая мелкие поддесневые камешки как бы не очень рентабельно.
- Во-вторых– если образовались глубокие пародонтальные карманы, то в них, даже после удаления зубных отложений и противовоспалительной терапии создаются условия для развития инфекции и дальнейшего прогрессирования пародонтита. Поэтому единственный способ лечения пародонтита, гарантирующий улучшение – это тот, который позволит ликвидировать: → пародонтальные карманы, → удалить все поддесневые зубные отложения, → удалить грануляционную ткань, которой заместилась рассосавшаяся кость. Это можно сделать, только используя хирургические методы лечения пародонтита.
Закрытая операция
Цель кюретажа закрытого типа – удалить разрастающуюся грануляционную ткань пародонтальных карманов и устранить все отложения на зубе под десной.
Особенность метода в том, что процедура очищения полости проводится без нарушения целостности десны.
Основным фактором выбора закрытого кюретажа, является глубина полости не более 3 мм. Поэтому метод используют только при легкой форме пародонтита.
При более сложных формах патологии, данный метод принесет лишь временное облегчение. Основной недостаток этой методики в том, что чистка проводится без визуального контроля. Отчего отложения и грануляции частично остаются на месте.
Этапы операции
- Местное обезболивание.
- После чего осуществляется очищение полости кармана кюреткой. Вначале обрабатываются стенки зуба и десны, затем дно.
- После полного удаления камня и грануляции, карман орошают раствором натрия хлорида.
- В заключение, на обработанный сегмент наносят защитную повязку. Для этого используют цинкопласт, стомальгин, репин.
Пародонтальные карманы полностью исчезают через 1–2 месяца. В течение 3 часов после процедуры запрещается принимать пищу. В течение недели может наблюдаться болезненность при открывании рта. До трех недель сохраняется реакция на различные раздражители и подвижность коронок.
Вакуум-кюретаж
При наличии под десной большого скопления налета, может быть использован альтернативный метод – вакуум-кюретаж. Его основное отличие от классического метода в том, что для процедуры используют полые кюретки, присоединенные к вакуумному аппарату.
Во время отсечения патологических частиц, они сразу удаляются вакуумом. Таким образом, исключается возникновение дальнейших осложнений.
Как лечить карманы в десне?
Главная цель лечения пародонтита – устранение инфекции. Виды и количество процедур сильно различаются и определяются формой и тяжестью заболевания. При этом важны не только сами манипуляции и назначения врача, но и внимательное выполнение всех рекомендаций пациентом дома. Доктор также посоветует избавиться от вредных привычек и заняться лечением других заболеваний (например, сахарный диабет).
Процедура открытого типа
Основной целью данного метода является не только устранение грануляции и отложений, но и восстановление костной ткани.
При открытом кюретаже воздействие на ткани производится путем отслоения части слизистой. Поэтому проведение данной процедуры требует детальной подготовки, заключающейся в следующем:
- Осуществление стоматологической чистки.
- При необходимости назначают противовоспалительную терапию.
- По показаниям производят шинирование.
Данная операция показана при образовании карманов десны, глубиной до 6 мм. За одно посещение может быть обработано до 8 коронок. Процедура проходит под анестезией местного типа.
Как проходит операция
- Производят отслаивание небольшого лоскута слизистой от кости, после разрезания ткани в области шеек зубов. В случае сильной деформации края десны, разрез делают, отступив от края на 1,5 мм. Оставшаяся полоска впоследствии удаляется.
- После обнажения поверхности корней, врач осуществляет глубокую очистку.
- Далее в десенные карманы вводится остеогенный препарат, возмещающий костную ткань.
- В конце процедуры производят наложение швов в области межзубных сосочков. При срезанном крае деформированной десны, слизистая подтягивается к шейкам и в таком положении фиксируется. Снятие швов обычно производят на 10 день после оперативного вмешательства.
- Для закрепления эффекта накладывается десенная повязка.
Нередко, при образовании глубоких карманов пародонта, происходит значительное оголение корней. Для того, чтобы устранить этот дефект в процессе открытого кюретажа, проводят трансплантацию мягких тканей, пересаживая на десну ткани с мягкого неба.
Противопоказания
Данная методика считается наиболее эффективной, но при этом имеет определенные противопоказания:
- абсцесс в острой форме;
- фиброзные разрастания тканей;
- чрезмерное истончение десны;
- сильная подвижность коронки;
- глубина кармана, превышающая 6 мм.
Как ухаживать за зубами и деснами при наличии десневых карманов
Проблемные десны требуют к себе особого ухода, даже после проведения основных лечебных процедур. Чистить зубы необходимо не менее 2-х раз в день, нелишне будет пользоваться ополаскивателями-антисептиками.
Желательно приобрести специальный прибор для более тщательной чистки зубов – ирригатор. Он не только способствует удалению налета, но и обладает массажным эффектом, вызывая приток крови к деснам. Это способствует скорейшей регенерации тканей после хирургического вмешательства.
Цена всех видов операций
Средняя стоимость услуги по лечению пародонтальных карманов в России имеет незначительную разницу. Основные факторы, которые влияют на ценообразование – это метод обезболивания и технологические возможности клиники. Не последним аспектом будет и статус клиники.
В среднем, ценовой диапазон на закрытый кюретаж находится в пределах 5000–12000 рублей. Процедура с применением открытого кюретажа обойдется в 9000–18000 рублей.
Как показывает практика, наиболее эффективным методом для устранения карманов при пародонтите средней и тяжелой формы, является открытый кюретаж. Данная методика позволяет не только устранить разрастания и поврежденные элементы, но и со временем полностью восстановить утраченную кость.
О том, что такое кюретаж
Кюретаж – это хирургическая операция, целью которой является удаление налета и зубного камня, покрытого бактериальными отложениями, из-под десен. Без этой процедуры дальнейшее лечение пародонтита и пародонтоза неэффективно, ведь если не удалить налет, то воспалительный процесс на деснах невозможно будет купировать.
Процедуру могут проводить с использованием ручного инструмента, лазера, ультразвукового скалера. По завершении, пациенту также может быть одновременно проведено наращивание атрофированной в результате течения заболевания костной ткани.
Отзывы пациентов
Большинство пациентов, перенесших лечение пародонтальных карманов, придерживаются мнения, что хирургический метод – единственный способ, который гарантированно избавляет от проблемы.
Отзывы показывают, что терапевтическое лечение чаще всего не дает результатов, лишь временно купируя симптомы заболевания. Если вы сталкивались с подобной патологией, и имеете опыт ее лечения, то можете оставить свой отзыв в комментариях к данной статье.
Противопоказания к процедуре
Процедура открытого кюретажа является к хирургической и имеет ряд противопоказаний. Возможность проведения чистки пародонтальных карманов рассматривается в каждом случае индивидуально после полного обследования пациента и выявления основной проблемы.
Противопоказания к проведению кюретажа:
- фиброматоз десны;
- патологическая подвижность зубов;
- общие противопоказания к хирургическим операциям;
- гнойные образования;
- недоразвитость челюсти;
- острые инфекционные заболевания.
Когда есть относительные противопоказания, процедура откладывается на определенный срок, необходимый для выздоровления (в случае инфекционных заболеваний). При наличии факторов риска стоматолог рассматривает вариант ультразвуковой чистки или обработки зубов системой «Вектор», которые воздействуют более щадяще.
Советы
- применять зубную щетку умеренной жесткости утром и вечером;
- применять специализированные зубные пасты во время обострения заболевания;
- очищать зубы с помощью ирригаторов — они качественно удаляют налет из труднодоступных мест.
Для дополнительной санации полости рта применяйте отвары лечебных трав, ополаскиватели с растворами антисептиков. При обострении воспаления полощите рот после каждого перекуса и приема еды.
Для общего укрепления иммунного статуса необходим прием микроэлементов и витаминов. Это будет способствовать устранению инфекции из всего организма.
Когда проводить чистку противопоказано
В некоторых случаях кюретаж десен противопоказан. Так, процедуру не проводят в следующих ситуациях:
- наличие гнойного содержимого в карманах на фоне развития воспалительных процессов,
- аномалии прикуса и искривленное положение зубов,
- повышенная расшатанность зубов,
- присутствие инфекционных заболеваний,
- сильная кровоточивость,
- невозможность применения анестезии.
При кровоточивости десен процедуру делать не стоит Кюретаж предполагает глубокую чистку поддесневой области. Зачастую это полноценная операция, которая требует подготовки и влечет за собой соответствующую реабилитацию. Поэтому проводится она только по показаниям.
Диагностика
При обращении больного в клинику стоматолог проводит следующее обследование:
- опрос пациенты, жалобы;
- осмотр ротовой полости с помощью инструментов;
- осмотр качества ухода за зубами;
- проба на гингивит;
- рентгеновский снимок челюсти;
- назначение МРТ или иной аппаратной диагностики;
- реография.
Диагноз устанавливается при выявлении следующих патологий:
- обнаружение симптоматического гингивита;
- выраженные пародонтальные карманы;
- нарушение целостности кортикальной пластинки кости;
- остеопороз — разрежение костной ткани.
Гингивит характеризуется покраснением десневой ткани, иногда она приобретает синюшный оттенок. Пародонтальные карманы проверяют у каждого зуба при помощи специального зонда. Степень плотности/разрежения костной ткани позволяет отличить пародонтит от пародонтоза. Пародонтит характеризуется разрежением плотности костной ткани, пародонтоз — уплотнением.
Что можно сделать в домашних условиях?
Перед любыми самостоятельными действиями необходима консультация специалиста. Врач должен определить размер зубодесневого пространства, так как от этого зависит дальнейшие меры.
Если глубина больше 3 мм, то лечение только хирургическое — очистка и выскабливание кармана.
Самостоятельное лечение в домашних условиях противопоказано:
- при множественных и глубокие десневых карманах;
- сопутствующем пародонтозе и пародонтите;
- системных нарушениях в организме, например, недостатке витаминов.
В последнем случае необходимо комплексное воздействие, так как данное сочетание патологий является очень серьезным.
Народные средства
К одним из самых действенных рецептов относится настойка из кожуры грецкого ореха. Это растение обладает антисептическими качествам, содержит бета-каротин, активные вещества, способствующие укреплению и восстановлению десен.
Антисептическое лекарство для десен готовится следующим образом:
- с молодого ореха снимают зеленую кожуру и мелко нарезают;
- к 2 столовым ложкам добавляют 100 мл оливкового масла;
- плотно закрывают и оставляют в холодном месте;
- периодически встряхивают;
- получившимся настоем смазывают десны не менее 5 раз в день.
Восстанавливающий эффект оказывает подорожник, лучше всего для лечения подходят листья:
- 20 г заливают стаканом кипятка;
- оставляют на час;
- рот полощут 5 раз в день через равные промежутки времени.
Также можно использовать сок. Для этого его выдавливают из мелко порезанных листьев и смазывают пораженные участки.
Очень хорошо на десны влияет смесь из шалфея, крапивы и ромашки:
- вышеперечисленные сушенные травы смешивают в пропорции 1:1;
- столовую ложку сбора заливают стаканом горячей воды и оставляют на полчаса;
- процеживают и полощут рот 2-3 раза в час.
Ромашка и шалфей имеют противовоспалительный эффект, а крапива антисептические свойства. Поэтому через день использования сбора уже будут улучшения.
Другое полезное растение, использующееся при заболеваниях десен, золотой ус. Можно просто нарезать вымытые листья и прикладывать их к больному участку на 15 минут или приготовить настой, для этого:
- мелко нарезают стебель растения;
- в пол литра кипятка добавляют столовую ложку сырья;
- настаивают 30 минут.
Поласкать необходимо утром, днем и вечером. Общеукрепляющее действие оказывает средство из калины и меда, готовится лекарство так:
- к 500 граммам зрелых ягод добавляют мед в таком же количестве;
- заливают получившуюся смесь половиной литра 70% спирта;
- дают настояться 2 недели.
Выпивают по столовой ложке 4 раза в день, лучше перед едой. Это сочетание продуктов используют при любых заболевания ротовой полости. Содержащиеся в них, активные вещества усиливают регенерацию эпителиальных клеток.
Также можно сделать пасту с медом и чесноком. Чистить ей зубы нужно после еды утром и вечером.
Для приготовления чесночной пасты надо:
- измельчить несколько зубчиков чеснока;
- смешать чайную ложку кашицы и меда;
- добавить немного соли и 8-10 капель перекиси водорода.
Таким образом для лечения десневого кармана существует много средств, с помощью которых можно вылечить это заболевание в домашних условиях.
Возможные осложнения
Несмотря на безопасность кюретажа пародонтальных карманов, некоторые негативные последствия все же возможны:
- Подвижность зубов. Наблюдается в течение 2–3 недель. Это считается нормой.
- Гиперестезия или повышенная чувствительность эмали. Неприятные ощущения возникают из-за реакции на химические или температурные раздражители. После кюретажа дискомфорт сохраняется 2 месяца. Для снижения чувствительности рекомендовано использовать сенситивные зубные пасты.
- Гематома и отечность десен. Такое явление должно быть только в зоне проведения кюретажа пародонтальных карманов. Отечность и кровоподтек рассасывается в течение 2 недель.
- Нарушения в работе лицевых мышц. Появляются затруднения в открывании рта. Восстановление происходит спустя 10–12 дней.
Итог
Формирование десневых карманов приводит к шаткости моляров и снижению их способности к качественному измельчению пищи. Пародонтит — опасное заболевание, которое может довести до выпадения здоровых зубов из-за патологического разрушения периодонта. Утрата нескольких моляров приводит к атрофии (убыванию) костного массива челюсти, что является препятствием к протезированию.
Кюретаж в современной стоматологии делают с помощью новейшего оборудования, поэтому болевые ощущения и дискомфорт снижены до минимума. Не следует опасаться визита к врачу и доводить состояние десен до необратимых процессов. Например, лазерное и ультразвуковое оборудование обеспечивает не только безболезненную операцию, но и высокое качество кюретажа. Полировка корневой зоны и обработка пародонтальных карманов является профилактикой повторного образования зубного камня в прикорневой зоне.
Пародонтит приводит к необратимым изменениям в костно-челюстной ткани, лечение которой обойдется дорого. Поэтому своевременное обращение к стоматологу поможет избавиться не только от начинающегося заболевания, но и сэкономить денежные средства на дорогостоящие операции и импланты при утере зубов. В качестве профилактики можно пройти курс лечения антисептическими препаратами, которые назначит доктор.
Когда проводится вычищение поддесневых отложений
Основными показаниями к проведению процедуры являются:
- сильная кровоточивость десен;
- пародонтит разных степеней тяжести;
- образование заметной щели между твердыми зубными и мягкими десневыми тканями;
- отложение зубного камня.
Десенная ткань должна быть плотной, иначе процедура будет неэффективной. Также желательно, чтобы у пациента отсутствовали костные карманы, поскольку при их наличии проводить кюретаж бессмысленно.
Подробнее о показаниях к очищению пародонтальных карманов рассказывается в видео:
Рекомендации по уходу после чистки
После закрытого кюретежа нельзя будет кушать хотя бы пару часов. В течение дня не следует чистить зубы – можно ограничиться полосканиями. Одним из частых последствий процедуры является повышенная чувствительность зубов – гиперестезия. Пока эмаль восстанавливается, лучше пользоваться специальной укрепляющей пастой без отбеливающих абразивных частиц. В профилактических целях рекомендуется проводить полоскания антисептиками и отварами из лечебных трав – по назначению специалиста.
Открытый кюретаж – это полноценное хирургическое вмешательство, за которым следует более длительное восстановление. То, сколько будет болеть десна после процедуры, напрямую зависит от сложности каждого отдельного случая, стадии развития патологии и объемов поддесневых отложений. Некоторые пациенты жалуются на сильные боли после операции и интересуются, почему они возникают. Такие симптомы могут указывать на начало развития осложнений, поэтому если дискомфорт слишком сильный, и болеутоляющие не спасают, лучше обратиться к врачу.
Специалисты настаивают на отказе от приема пищи непосредственно после процедуры – 2-3 часа. Первые пару суток лучше кушать мягкую и теплую еду, воздерживаться от повышенной физической активности, избегать температурных перепадов. Врач обязательно назначит самостоятельные полоскания, противовоспалительные и антисептические препараты. Важно строго следовать его рекомендациям, чтобы не спровоцировать осложнения.
Преимущества и недостатки методик
В каждом способе существуют достоинства и недостатки. Закрытый кюретаж десен будет эффективен только при начальных поражениях альвеолярного отростка челюсти. После обработки возможен рецидив и распространение очага воспаления на соседние участки. Но это наблюдается крайне редко при средней и тяжелой степени пародонтита.
Плюсами кюретажа кармана является то, что манипуляция мало инвазионная, не требует специальной квалификации врача, доступна в каждой клинике. Но если говорить о закрытой лазерной методике, то стоимость поднимается из-за дороговизны оборудования.
Что такое кюретаж открытого типа? Это гарантированный способ избавиться от проблемы в пародонте. После кюретажа стабилизируется патологический процесс в кармане, уменьшается подвижность зубов. Кроме этого только открытая процедура позволяет восстановить костную ткань. Существуют и минусы:
- высокая цена;
- временное изменение формы и высоты десневых сосочков;
- длительный период реабилитации;
- по времени кюретаж кармана проводят 2 часа.
Сколько стоит чистка карманов
Закрытый кюретаж карманов у одного зуба обойдется пациенту примерно в 800 рублей. Открытая операция с иссечением слизистой будет стоить около 1500 рублей за область вокруг одного зуба. В эту стоимость обычно входит антисептическая обработка, работа самого врача, анестезия. Иногда за обезболивание приходится платить отдельно. При этом здесь указаны ориентировочные расценки, поскольку в разных клиниках стоимость процедуры может отличаться. Дороже будет стоить кюретаж с применением ультразвука, лазера или вакуумной технологии.
Какие инструменты используются
Обычно врачи прибегают к помощи особых ручных инструментов. В современных стоматологических клиниках обработку поддесневой области и полировку корней производят с дополнительным использованием ультразвука или лазера. Применение подобных технологий позволяет добиться более качественного и долговечного результата, а также снизить риски развития осложнений.
Что касается ручного инструментария, то сегодня в арсенале специалистов довольно широкий ассортимент различных конструкций, большинство из которых, тем не менее, имеет схожее строение: ручка, рабочая область и плечо. Инструменты могут быть из металла, пластика или тефлона, иметь алмазное напыление. Каждая модификация рассчитана на использования в условиях конкретного клинического случая, и выбор здесь во много зависит от стадии патологии и возраста пациента.






