Краткая характеристика заболевания
Для начала несколько слов о том, что такое пародонт. Если говорить просто – это ткани, которые «держат» зуб, в частности: десна, кость, связки и слизистая оболочка. Заболевание пародонтит диагностируется в тех случаях, когда инфекция каким-либо образом попадает в ротовую полость и начинает разрушать связку корня зуба с костью, что влечет за собой постепенное омертвение тканей, а в дальнейшем и выпадение зуба. Специалисты ВОЗ утверждают, что отдельные симптомы пародонтита имеются у 80% взрослого населения Земли. Широкое распространение пародонтита обусловлено целым рядом факторов, главный из которых – отсутствие заботы о красоте и здоровье своих зубов и обращение к стоматологу лишь тогда, когда воспалительный процесс приводит к необратимым последствиям!
Врачи отмечают, что пародонтит является одной из самых распространенных стоматологических проблем, которая может привести к серьезным последствиям для здоровья полости рта. Специалисты подчеркивают важность ранней диагностики и регулярного контроля состояния десен. По их мнению, основными факторами риска являются плохая гигиена полости рта, курение и генетическая предрасположенность. Врачи рекомендуют проводить профессиональную чистку зубов не реже двух раз в год и следить за состоянием десен, чтобы предотвратить развитие заболевания. Также они акцентируют внимание на необходимости комплексного подхода к лечению, который может включать как медикаментозную терапию, так и хирургические методы. Профилактика и своевременное обращение к специалисту играют ключевую роль в сохранении здоровья зубов и десен.
https://youtube.com/watch?v=CTnVXNeA6bk
Причины пародонтита
Круглые сутки во рту каждого человека живут и умирают сотни тысяч бактерий. Продукты их жизнедеятельности скапливаются на зубах в виде налета. При чистке зубов этот налет удаляется, но вновь образуется уже через несколько часов. В течение 2-3 суток он отвердевает и трансформируется в зубной камень. Избавиться от него можно только с помощью профессиональной чистки в стоматологической клинике, поскольку и щетка, и зубная нить в данном случае будут бессильны. В большинстве случаев именно при отсутствии элементарной гигиены ротовой полости у человека начинает развиваться пародонтит, симптомы которого дают о себе знать практически в любом возрасте.
Первое время налет на зубах вызывает небольшое раздражение десен и гингивит, но затем продолжающееся воспаление приводит к образованию «карманов» — пустого пространства между зубами и деснами, которое заполняется бактериями и остатками пищи. Как результат, запущенный, хронический пародонтин приводит к разрушению костной ткани и выпадению зуба.
Кроме зубного камня пародонтит вызывается и некоторыми другими причинами:
Пародонтит – симптомы заболевания
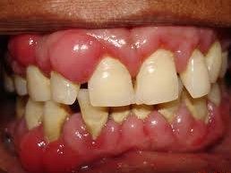
Все воспаления пародонта может разделить на острые и хронические. Острый (генерализованный) пародонтит имеет следующие симптомы:
Со временем десны становятся еще более болезненными, отекают, обильно кровоточат при чистке зубов. Кроме того, генерализованный пародонтит дает о себе знать во время приемов пищи, когда остатки еды застревают в «карманах», начинают гнить и вызывают множественные раздражения тканей пародонта. У некоторых больных острая форма способствует повышению температуры тела и появлению общей слабости.
Хронический пародонтит развивается при недолеченной острой форме. Для него характерны те же самые симптомы, но болезнь протекает гораздо более интенсивно. Болевые ощущения бывают настолько сильными, что человек вынужден отказываться от чистки зубов. Тем самым он усугубляет течение заболевания. Также хронический пародонтит характеризуется изменением цвета десен, появлением щелей между зубами, затрудненным жеванием и выпадением отдельных зубов. Глубина «карманов» нередко превышает 5-7 мм. В периоды обострения воспалительного процесса человек чувствует слабость, резкую пульсирующую боль, недомогание. Возможно появление симптомов сердечной недостаточности и выделение гноя на пораженных участках тканей.
Пародонтит — это заболевание, о котором многие люди слышали, но не все понимают его серьезность. Часто можно услышать мнения о том, что это просто «недостаток гигиены» или «просто воспаление десен», но на самом деле это более сложная проблема. Люди делятся своими историями о том, как пародонтит повлиял на их жизнь: от потери зубов до постоянного дискомфорта и боли. Некоторые отмечают, что не придавали значения первым симптомам, таким как кровоточивость десен, и лишь позже осознали, насколько важно своевременно обращаться к стоматологу. Многие также говорят о том, как лечение пародонтита требует не только медицинского вмешательства, но и изменения образа жизни, включая улучшение питания и регулярную гигиену полости рта. Важно, чтобы люди понимали, что профилактика и раннее обращение к специалистам могут значительно снизить риски и сохранить здоровье зубов и десен.
https://youtube.com/watch?v=CiF6fm-F_CU
Пародонтит – лечение заболевания
Комплекс лечебных мероприятий должен планировать врач-стоматолог. Это значит, что при диагнозе пародонтит лечение народными средствами является дополнительным методом борьбы с болезнью, но никак не заменой хирургических и терапевтических методов.
Если пародонтит был обнаружен на ранней стадии развития, то курс лечения заключается в профессиональной чистке зубов, удалении зубного камня и полировке поверхности зуба. Коронка и корень обрабатываются специальными щеточками, которые обработаны фторсодержащими защитными составами. Отвердевшие зубные отложения удаляются с помощью механической обработки или ультразвука. В особо запущенных случаях врачи используют кюретаж – процедуру снятия отложений посредством особых крючков.
Если глубина зубных «карманов» превышает 5 мм – пациентам рекомендовано хирургическое вмешательство. Главная цель операции – устранить полости, остановить рассасывание тканей и сделать все возможное для того, чтобы зуб обрел устойчивость. Устранение патологической подвижности производится при помощи временных шин или постоянных протезов.
Поскольку и генерализованный пародонтит, и хронический пародонтит относятся к числу инфекционно-воспалительных заболеваний, специалисты обычно назначают больными эффективные антибиотики. Предпочтение отдается тетрациклину или линкомицину. Кроме того, пациенты должны позаботиться об укреплении иммунной системы и повышение защитных сил организма. Для этого применяются как распространенные витаминно-минеральные комплексы, так и специальные средства – иммунокорректоры. Разумеется, лечение пародонтита не обходится без своевременного пломбирования больных зубов, исправления прикуса и коррекции других местных факторов риска.
Пародонтит – лечение народными средствами
Рецепты народной медицины могут помочь только на ранних стадиях заболевания. При развитии воспалительного процесса вам следует немедленно обратиться к врачу и не злоупотреблять самолечением. Теперь приведем наиболее распространенные рецепты:
https://youtube.com/watch?v=eR7B7O54MGM
Вопрос-ответ
Что такое пародонтит и каковы его основные симптомы?
Пародонтит — это воспалительное заболевание тканей, окружающих зубы, которое может привести к их потере. Основные симптомы включают кровоточивость десен, неприятный запах изо рта, подвижность зубов и образование карманов между деснами и зубами.
Каковы основные причины развития пародонтита?
Основные причины пародонтита включают накопление зубного налета и камня, плохую гигиену полости рта, курение, генетическую предрасположенность и некоторые системные заболевания, такие как диабет. Также на развитие заболевания могут влиять стресс и неправильное питание.
Какие методы лечения пародонтита существуют?
Лечение пародонтита может включать профессиональную чистку зубов, использование антисептиков, антибиотиков, а также хирургические вмешательства в тяжелых случаях. Важно также соблюдать гигиену полости рта и регулярно посещать стоматолога для профилактики.
Советы
СОВЕТ №1
Регулярно посещайте стоматолога для профилактических осмотров и чисток. Это поможет выявить пародонтит на ранних стадиях и предотвратить его развитие.
СОВЕТ №2
Обратите внимание на гигиену полости рта. Чистите зубы дважды в день и используйте зубную нить, чтобы удалить налет и остатки пищи из межзубных промежутков.
СОВЕТ №3
Следите за своим питанием. Употребление продуктов, богатых витаминами C и D, может укрепить десны и улучшить здоровье зубов. Избегайте чрезмерного потребления сахара и кислых напитков.
СОВЕТ №4
Если у вас есть предрасположенность к заболеваниям десен, рассмотрите возможность использования специализированных ополаскивателей для рта, которые помогут уменьшить воспаление и предотвратить инфекцию.

