Перфорация коронки или корня зуба – это нарушение целостности, образование небольшого отверстия, через которое совмещаются очаг воспаления и здоровые окружающие ткани. Трещина может появиться в результате развития кариеса, различных травмирующих факторов. Чтобы сохранить зуб с перфорацией, необходимо как можно раньше принять неотложные меры, для устранения дефекта. В противном случае, инфекционный процесс распространиться на ткани периодонта, и приведет к опасным последствиям (гранулема корня, периодонтит, периостит, сепсис).
Причины
Перфорация зуба по-простому называется дыркой. Это отверстие похоже на запущенный кариес, но часто образуется совсем по иным причинам. Одна из них — неаккуратные действия стоматолога.
Помимо неправильных действий стоматолога, отверстие на зубе может появиться в результате:
- невылеченного кариеса;
- механического воздействия извне;
- анатомических особенностей формы челюсти.
Ошибки стоматолога
Каким образом неправильные действия стоматолога могут стать причиной появления трещины или отверстия в коронке и корне? Это может произойти из-за сложности в лечении внутренних структур зуба. Помехой служат разветвления корневых каналов, которые затрудняют доступ к месту локализации инфекции. Также перфорироваться зуб может во время увеличения пространства каналов бормашиной или при подготовке к установке штифта.
Перфорация моляра во время лечения сопровождается внезапным болевым синдромом и появлением крови из места поражения.
Механическое воздействие извне может спровоцировать сильный удар либо небрежные действия стоматолога во время чистки зубных каналов. Нужно обращаться за стоматологической помощью к опытным врачам, читать отзывы о клиниках и отдавать предпочтение лечению современной аппаратурой.
Неопытный стоматолог может приложить силу во время эндодонтической коррекции зуба, что неизбежно приведет к появлению трещины или глубокого отверстия. Работа некачественными или устаревшими инструментами может привести к их внезапной поломке и застреванию в тканях дентина. Устранить патологию без специального микроскопа не представляется возможным. В результате у пациента через несколько дней начинает сильно болеть челюсть и воспаляются ткани периодонта.
В современных стоматологических клиниках врачи работают в специальных увеличивающих изображение бинокулярных очках и используют микроскопы. Это снижает риск перфорации тканей.
Другие причины
Небрежное отношение к полости рта, несвоевременное лечение кариеса всегда приводит к перфорации и даже утрате моляра. Осложнение кариеса опасно как для зуба и десенных тканей, так и для общего здоровья пациента.
Причиной появления перфорации может стать:
- неправильный прикус;
- повреждение зуба во время сна;
- клиновидный дефект;
- деминерализация эмали;
- не снятый во время хирургического лечения зубной протез.
Чем отверстие при перфорации моляра отличается от кариозной полости? При перфорации на поверхности коронки могут образовываться множественные трещины. При кариесе трещин на эмали не образуется.
Анатомические особенности строения челюсти (искривленные корневые каналы) часто препятствуют тщательной санации кариозных полостей и могут послужить причиной неосторожных действий стоматолога.
Что будет, если оставить проблему без решения
Из-за того, что с подобной проблемой пациенты стоматологических клиник сталкиваются нечасто, серьезность проблемы иногда преуменьшают. Между тем ее игнорирование может привести к следующим осложнениям:
- пульпит – если обнажается пульпа (зубной нерв), то воспаление рано или поздно поразит сосудистый пучок, что потребует его оперативного удаления,
- гранулема или киста – гнойный пузырек, который может образоваться из-за воспалительного процесса. Разрастаясь, опухоль поражает прилегающие ткани и со временем могут образоваться свищи на десне – отверстия, через которые будет гной выходить внутрь полости рта,
- нарушение процессов жевания и речи из-за отломавшегося кусочка зуба в результате сильной перфорации.
Важно! При возникновении ощущения, что корень отломался, нужно срочно обратиться к врачу. Подтвердить эту проблему можно при помощи рентгенодиагностики. Своевременно принятые меры помогут избежать серьезных осложнений.
Симптомы
Когда нужно обращаться к стоматологу по поводу подозрений в перфорации? Существуют косвенные и прямые симптомы, характерные для данной патологии.
Симптомы:
- периодическое кровотечение из десен, которое проходит самостоятельно;
- воспаление десен, покраснение;
- неровность на поверхности коронки, которую можно определить с помощью языка или зубочистки;
- реакции на изменение температуры пищи, сладость и кислоту;
- образование гноя в пародонте, пульсирующая боль при прикосновении;
- сильная боль во время проведения стоматологических процедур.
Также бывают и косвенные симптомы, которые могут свидетельствовать о наличии патологии:
- повышенное слюнообразование;
- ранки на языке во время пережевывания пищи или ночного отдыха;
- головные боли, общая слабость, гипертермия.
Народные методы лечения по устранению перфорации не применяются. Без стоматологической помощи отверстие в зубе не зарастет.
Повышенное слюноотделение и головные боли могут появиться и при других патологиях, но в сочетании с воспалением десен наводят на мысль о стоматологическом заболевании.
Лечение перфорации корня зуба биокерамикой MTA!
Перфорация зуба (перфорация корня зуба) — одно из самых частых осложнений лечения зубов. Обычно врачи стоматологи сталкиваясь с такой проблемой рекомендуют зуб незамедлительно удалить. Однако современные исследования показали — перфорация корня зуба не повод для его удаления. Достижения медицины позволяют такие зубы спасать, причем в подавляющем числе случаев.
Виды перфораций
Нарушение целостности тканей появляется в следующих местах:
- на стенке коронки;
- в корне;
- на дне полости зуба.
Коронковая патология — самая распространенная, так как формируется при кариозном поражении тканей. Невылеченный кариес приводит к пульпиту — поражению внутренних тканей и нерва. Пульпит характеризуется приступообразными болями в области локализации, которые усиливаются в вечерние и ночные часы. При лечении пульпита вычищают корневые каналы и удаляют пораженную пульпу.
Поражение дна полости зуба появляется при неправильной установке штифтов в зубных каналах. Пациент ощущает боль в месте локализации поражения, а также замечает кровоточивость. Также патология появляется из-за смещения оси зуба, активного стирания жевательной поверхности.
Повреждение корня может долго не тревожить человека, но в это время происходит активное разрушение зубных тканей.
Перфорация зубных корней должна быть устранена сразу, иначе это приведет к воспалению соединительных тканей (периодонт). Также причиной перфорации корней часто бывает их анатомически неправильное строение.
Перфорация корня зуба — классификация.
Перфорация зуба — это сообщение между внутренними полостями зуба с внешней средой или окружающими тканями. Такое сообщение может появиться естественным путем, например, в результате кариозного процесса зуб может «прогнить» насквозь или в результате действий стоматолога.
Перфорация может локализоваться:
- в районе дна пульпарной камеры зуба.
- в стенке корня;
Диагностика
Вовремя обнаруженная перфорация и своевременное устранение патологии — самое верное решение вопроса. Незамеченное отверстие в зубе приводит к развитию патологии в тканях либо увеличению размера механического повреждения.
Определить характер патологии можно с помощью аппаратной диагностики:
- рентген с применением контрастного вещества;
- витальное окрашивание единиц;
- электроодонтодиагностика;
- световая флюоресценция;
- лазерная диагностика.
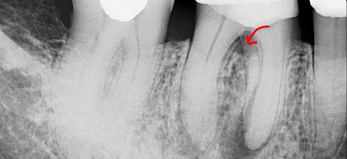
Рентгеновский снимок с контрастированием выполняется прицельно, в 2D формате. Прицельный рентген отличается от панорамного небольшим объемом изображения — пара соседних единиц рядом с исследуемым. На снимке можно увидеть очаг прикорневого воспаления, а также проанализировать состояние запломбированных каналов.
С помощью витального окрашивания коронки моляра можно увидеть мельчайшие трещинки на эмали. Однако метод не позволяет определить глубинное поражение тканей.
Электроодонтодиагностику применяли еще в советские времена, когда не было МРТ и КТ. Этот метод позволяет определить состояние пульпы после травмирования или иных неблагоприятных процессов с моляром. Стоматолог направляет электроток и определяет состояние внутренних тканей зуба по оценке возбудимости нервов. Диагностика дает ответ на вопросы: можно ли вылечить исследуемую единицу, есть ли киста на корне?
Световая флюоресценция позволяет оценить глубину повреждения тканей. Метод заключается в просвечивании моляров специальной лампой. Диагностическая картина отображается на мониторе в тот же момент. Врач может увидеть любые повреждения, которые могут находиться как в корневой системе и на дне зуба, так и на поверхности коронки.
Лазерная диагностика осуществляется с помощью диодного лазера с красным излучением. Этот метод самый совершенный, так как позволяет обнаружить скрытые патологические полости в труднодоступных местах.
Чего ожидать после проведенного лечения?
Так уж мы устроены, что, пролечившись, хотим раз и навсегда забыть о проблеме. В основной массе случаев так и происходит, но, к сожалению, не всегда. Что это значит? Спрогнозировать возможные последствия сразу после проведенного лечения не удастся никому. Пациент будет себе спокойно жить, кушать, что хочет, забыв про возможность грызть орехи. Зуб отлично будет справляться, выполняя эстетическую роль, но вот основная функция – жевательная — наверняка пострадает. Этот зуб также будет бесполезен при возможном протезировании, он не сможет выдержать опорную нагрузку. Тем не менее, это все же положительный результат.
Но в ряде случаев сохраняется вероятность не самого благоприятного исхода, которая может проявиться и в виде периодонтита, и в виде кисты. Периодонтит возникнет, если воспалительный процесс все же не удастся локализировать и победить. Ткани вокруг зуба начнут воспаляться, возрастет вероятность образования нагноения, которое выйдет через десну в виде свища, и это в лучшем случае. В противном случае может пострадать даже кость. Таким зубом оптимальнее всего будет пожертвовать и избежать дальнейшего инфицирования челюсти.
Еще один возможный вариант негативного развития событий — это возникновение кисты. Если при лечении перфорации в рану попала инфекция или пломбировочный материал вышел за пределы канала и не был удален, защитные клетки организма тут же начнут их атаковать. Образуется пузырек, который изолирует инфекцию и со временем разрастается, образуя полость в тканях. Это может привести к распространению заражения и иметь самый неблагоприятный исход. В этой ситуации доктор также принимает решение об удалении зуба с целью спасти остальные.
Получается, что от перфорации никто не может быть застрахован. И как таковой вины пациента в этом тоже нет. Неужели ничего с этим нельзя поделать? Можно. Не пытайтесь доверить лечение своих зубов первому попавшемуся. Обращайтесь в известные клиники, наводите справки о докторах, не поленитесь на форумах. Это все в ваших интересах.
Теперь вы знаете, что такое перфорация зуба и что необходимо для эффективного ее лечения. Я искренне желаю, чтобы полученная информация вам никогда не пригодилась. Продолжайте задавать свои вопросы в комментариях и подписывайтесь на обновления. Если еще не сделали этого. А я на сегодня с вами прощаюсь. Ждите следующих статей!
Терапия
Своевременное лечение перфорации может спасти единицу от полного разрушения. Врач выбирает метод лечения, в зависимости от давности появления патологии и места локализации.
В начале проводится осмотр предполагаемого места поражения, затем пациент направляется на томограмму либо рентген. Перед устранением патологической полости проводится тщательная обработка зуба, включая удаление зубного камня и налета. Также проводят лечение воспалительных очагов на слизистых оболочках (стоматит и др).
Стоматолог обязан выяснить у пациента важную информацию: о пищевых предпочтениях и характере питания, о тщательности соблюдения гигиены, о стоматологических заболеваниях в прошлом. Эта информация составляет анамнез, необходимый для точной постановки диагноза и выбора метода терапии.
Также врач должен проверить наличие имплантов в ротовой полости пациента. Если некоторые импланты устарели или вышли из строя, их требуется заменить. Замены требуют и старые пломбы, установленные в ротовой полости.
Закрытие патологической полости похоже на обычную установку пломбы. Стоматолог обезболивает десну уколами, изолирует моляр ватными тампонами и очищает проблемные каналы бормашиной. После необходимых дезинфицирующих манипуляций патологическая полость закрывается пломбировочным материалом.
Перфорация зуба при чистке каналов
Если перфорация возникла непосредственно при проведении эндодонтии, необходимо сделать следующее:
- остановить кровотечение в ротовой полости;
- провести санацию места поражения;
- закрыть коронку временным пломбировочным материалом;
- дать пациенту обезболивающее;
- назначить курс антибиотиков.
При перфорации моляр можно сохранить, если своевременно вылечить патологию.
После закрытия полости временными пломбами проводят дальнейшее лечение: очищение каналов и установку постоянной пломбы. Качество пломбировки проверяют рентгеновским снимком. Однако окончательная реставрация коронки не гарантирует длительность результата лечения, и пациент должен регулярно наведываться к стоматологу на проверку (минимум дважды в год).
Если нет доступа к корневым каналам обычным путем, стоматолог делает надрез в десне. После необходимых манипуляций с каналами и установки пломбы, десну зашивают.
При серьезном поражении значительной части единицы проводят хирургию: реплантацию, резекцию корня. Если сохранить зуб нельзя проводят его удаление с дальнейшей установкой импланта. Хорошо поддается лечению перфорация размером не более 1 мм, в остальном результат будет зависеть от многих причин: давность патологии, наличие очага воспаления, прочие характеристики.
Резекцию корня проводят специальным стоматологическим сверлом (верхушечный участок подлежит ампутации), инфицированный — санируют антисетиками. Слизистую десны пораженного участка иссекают, накладывают швы и обеззараживают.
Какие препараты применяются?
Современная стоматология требует бережного отношения к зубам. Главным принципом является максимальное сохранение тканей.
Именно поэтому при лечении глубокого кариеса применяют различные современные материалы, в том числе и прокладки, основная масса которых производится на основе гидроксида кальция.
Это основание имеет формулу – Са(ОН)2. Его применение в стоматологической практике основано на сильнощелочной реакции, благодаря которой препарат по дентинным канальцам проникает в пульпу и производит лечебный эффект.
Такие препараты обладают массой преимуществ:
- оказывают одонтотропное действие, то есть способствуют образованию заместительного дентина.
- имеют сильное антимикробное действие и препятствуют проникновению инфекции вглубь зуба – в область пульпы.
Стоит рассказать о некоторых их конкретных разновидностях:
- Calcipulpe. Производитель – компания Septodont. При глубоком кариесе применяется в качестве нейтрализующего средства и защитного слоя дентина. Очень быстро затвердевает и не требует дополнительных препаратов.
- Calcimol. Прокладка от компании Voco. Материал, помимо защиты пульпы и других необходимых воздействий, является также рентгеноконтрастным, что важно для последующих посещений и исследований. Состоит из двух компонентов – основы и катализатора.
- Reocap. Выпускается компанией Vivadent. Относится к кальцийсалицилатным цементам химического отверждения. Отличается простотой и удобством в работе, а также отличными показателями.
Реплантация
Эта стоматологическая процедура предполагает удаление зуба щадящим путем с последующим возвращением его на свое место. Реплантацию часто проводят при выпадении здоровых единиц по некоторым причинам (травмирование, расшатывание). Возвращенный в лунку зуб фиксируют с помощью специальной шины.
При выпадении здорового зуба из лунки необходимо поместить его в физраствор и скорее навестить стоматолога.
Удаленный из лунки моляр обрабатывают и лечат на хирургическом столе, а затем возвращают на свое место. Зуб приживается не сразу, иногда ему требуется 6-12 месяцев для адаптации. И даже после полного приживления реплантированная единица не сможет качественно выполнять свои жевательные функции, а также становится непригодной для установки керамических коронок и иных имплантов.
Противопоказания к реплантации:
- сердечно-сосудистые патологии;
- заболевания крови;
- психические заболевания;
- тотальное разрушение моляра;
- злокачественные новообразования.
Хорошо приживается зуб с неповрежденной коронкой и корнем. Однако на качество жевательной функции значительное влияние имеет сохранение зубного нерва: единица прослужит еще 12-14 лет. При удалении нерва функциональность моляра снижается. Вживленный зуб способен вынести привычную жевательную нагрузку только через 6 месяцев после установки, до этого следует соблюдать осторожность во время пережевывания пищи.
Первое время рекомендуется жевать на одной стороне, полость рта обрабатывать антибактериальными средствами по рецепту стоматолога. Чтобы моляр хорошо прижился, принимают препараты с кальцием и витамином Д. При опухании десны и щеки после вживления нужно прикладывать холодный (но не ледяной) компресс.
Также в период реабилитации следует полностью исключить тяжелые физические нагрузки, резкие скачки температуры (сауна, парилка, холодное/горячее питье), табакокурение и потребление спиртного. Чтобы ускорить заживление тканей, рекомендуется посещать физиотерапевтический кабинет. При назначении антибиотиков и анальгетиков следует неукоснительно соблюдать схему приема препаратов и не прерывать курс по собственному усмотрению.
Прогноз и последствия
При пломбировке канала зуба по поводу перфорации прогноз во многом зависит от ее локализации и своевременности оказания терапевтической помощи. Если дефект располагается в области зубной коронки и он был закрыт сразу же, то, скорее всего, негативных последствий получится избежать. Прогноз перфорации стенки корня зуба чаще всего не очень благоприятный: даже если зуб сохранить удастся, то он не сможет полноценно выполнять свои функции, его нельзя использовать в качестве опоры при протезировании, не исключается риск развития отдаленных воспалительных осложнений.
Удаление зуба
В каких случаях показано удаление перфорированного моляра? Это крайняя мера, к которой прибегают в исключительных случаях:
- сильное разрушение корня;
- повреждение пародонта при сильной подвижности зубов;
- обширный гнойный очаг воспаления;
- анатомические особенности строения челюсти.
Однако даже после удаления моляра лечение продолжается, но уже в домашних условиях. Для этого назначают препараты для восстановления тканей после воспалительных процессов, антисептики для полоскания рта, противовоспалительные мази.
Удаление перфорированного моляра связано с серьезными патологиями в костной ткани челюсти. Иногда восстановительные процессы длятся несколько месяцев подряд. До полного восстановления функциональности челюстной кости запрещается устанавливать импланты и проводить протезирование. Только после полного заживления и восстановления пораженных тканей можно проводить ортодонтические процедуры, это касается и установки брекетов.
Почему появляется повреждение?
Пациент может получить прободение по нескольким причинам.
- Механическая травма. Удар или ушиб зуба, а также врачебная ошибка во время обработки и пломбирования канала, установки коронки или фиксации вкладки, что говорит о низкой квалификации или недостаточном опыте специалиста.
- Анатомические и физиологические особенности человека. Суженные или изогнутые корни, неправильное положение клыков, резцов и моляров, смещение челюсти, атрофия кости могут затруднить процесс лечения и привести к перфорации зуба.
- Кариес. Заболевание размягчает зубную ткань, на месте которой появляется сквозное отверстие от верхушки канала до дна коронки.
Осложнения
При любом лечении возможны осложнения, которые не всегда удается предотвратить или предусмотреть. Это связано с особенностями строения тканей организма и реакцией на вмешательство.
Осложнения:
- распространение инфекции к надкостнице;
- недостаточная чистка каналов;
- периодонтит;
- остался осколок удаленного корня.
Перечисленные осложнения могут привести к заболеваниям: гранулема, воспаление надкостницы, киста, скученность зубов, выпадение моляра.
Периодонтит — это воспаление тканей вокруг обработанного зуба. В нетяжелом случае это приведет к образованию свища: гною нужно куда-то выходить. В тяжелом случае может пострадать надкостница, поэтому моляр просто удаляют во избежание распространения инфекции.
Образование кисты — это попытка организма изолировать очаг инфекции внутри тканей. Однако киста склонна увеличиваться в размерах, что может привести к самым нежелательным последствиям и распространению инфекции на близлежащие здоровые ткани. Кисту удаляют вместе с патологическим зубом, иного выхода нет.
После резекции корня или устранения патологии на дне зубной полости может опухнуть щека. Это не относится к какому-либо виду заболевания, а лечится с помощью прохладного компресса на щеку. Однако если щека сильно опухла, нужно позвонить стоматологу и сообщить о случившемся (телефон берите сразу после проведения лечения). Недопустимо прикладывать к щеке ледяные компрессы: можно сильно застудить зубные нервы.
Перфорации в области зубной коронки
Встречается наиболее часто, и локализоваться он может как в области стенки полости зуба, так и в области ее дна.
Предрасполагают к такому виду осложнений анатомические особенности строения зубов пациента (отклонение от нормальной центральной оси, слишком тонкая зубная стенка, малая толщина дна молочных зубов и ошибки в терапевтических манипуляциях (неправильный подбор инструментария и скоростного режима бора, проведение повторного лечения зуба, недостаточно широкое раскрытие полости, которое ухудшает обзор препарируемых тканей).
Симптомы заболевания
Клиника любой свежей перфорации типична. В момент ее возникновения человек испытывает сильнейшую зубную боль, а поврежденный зуб начинает кровоточить. Если это происходит в кабинете стоматолога в момент лечения, доктор ощущает «провал» инструмента и может визуально увидеть кровь, выделяющуюся из перфорационного отверстия.
Застарелые перфорации, которые не были выявлены в момент возникновения и не пролечены, иногда никак себя не проявляют, поскольку они часто сопровождаются не острым, а вялотекущим воспалительным процессом. Пациента могут беспокоить периодические ноющие боли. И лишь при осмотре врач обнаруживает в области внешнего отверстия грануляционную ткань, которая кровоточит при прикосновении.
Обычно такие перфорации сразу же обнаруживаются врачом и устраняются пломбированием. При этом прогноз при повреждении стенки практически всегда благоприятный. А вот результат лечения зависит от размеров перфорационного отверстия. Если величина дефекта не превышает 1-2 мм, то его пломбирование бывает достаточно эффективно. Если же размер канала и отверстия больше 2 мм, то закрытие перфорации зуба скорее всего приведет к выталкиванию активного материала в периодонт и его инфицированию с развитием тяжелых форм деструктивного периодонтита.
Диагностика
При перфорации зуба в области видимой части коронки диагностика не представляет затруднений, поскольку дефект заметен даже невооруженным глазом. Если же есть сомнения в наличии осложнения, либо она произошла в области дна зубной полости, то необходимо проведение рентгенологических снимков с контрастированием (например, в качестве контраста может выступать штифт или файл).
Лечение перфорации в коронковой области
Закрытие перфорации зуба — это лечебное мероприятие, которое необходимо провести как можно быстрее, поскольку без лечения такое осложнение приведет не только к потере зуба, но и к развитию серьезных воспалительных реакций.
Все лечебные манипуляции желательно проводить под специальным микроскопом, который улучшает видимость, позволяет более качественно обработать перфорацию перед закрытием и проконтролировать полученный результат. Основное требование к стоматологическим материалам, применяемым для пломбировки перфорационного отверстия и канала — высокая биосовместимость с тканями организма и способность к быстрому застыванию даже в условиях высокой влажности. Используемые ранее СИЦ (стеклоиономерный цемент) и амальгама не обладали достаточной степенью адгезивности и биологической совместимостью с зубными тканями.
В современной стоматологии все чаще проводят закрытие перфорации зуба импортным материалом — цементом МТА (минералом триоксида агрегата), который быстро затвердевает во влажной среде и не вызывает реакций отторжения.
Профилактика
Следует придерживаться правильной диеты и тщательно ухаживать за полостью рта в домашних условиях.
- Очищение полости рта следует проводить утром и перед сном, в течение дня после еды рекомендуется ополаскивать рот простой водой либо зубными эликсирами.
- Вместо зубной щетки рекомендуется применять ирригатор для очищения полости рта. Это особенно актуально при воспалениях десен. Ирригатор очищает зубы и межзубные пространства с помощью струи воды под напором. Это безболезненный и современный метод ухода за полостью рта. Вместо простой воды можно применять травяные растворы.
- Рацион питания должен быть тщательно пересмотрен. Акцент — в сторону уменьшения сладостей, сдобы и твердой пищи. В меню должны присутствовать свежие и отварные фрукты/овощи, диетические сорта мяса, зелень.
- Стоматологи советуют бросить курить и употреблять алкоголь.
- Прекратить заниматься травматичными видами спорта (единоборства, экстремальные), чтобы свести к минимуму возможность травмирования челюсти.
- Не пренебрегать плановыми осмотрами у стоматолога, которые показаны каждые полгода.
В остальном перфорация зуба от пациента не зависит. Нужно выбирать проверенные клиники и профессиональных стоматологов для лечения кариеса и иных заболеваний.
Что это такое?
Перфорацию зуба иначе еще называют прободением. По сути, это образование неестественной полости там, где ее быть не должно, появление сообщения между каналами или же между внутренней частью зуба и периодонтом.
Появиться такая полость может:
- в стенке единицы и стать видимой при осмотре;
- в разных частях корня или между ними;
- на дне коронки.
Также различают перфорацию по времени появления:
- свежая, новообразовавшаяся в процессе стоматологического вмешательства, очень важно ее тут же заметить и устранить;
- застарелая, чаще возникающая от инфицирования тканей и характеризующаяся вялым протеканием, невыраженными симптомами, иногда может появиться от травмы.
Как проходит операция костной пластике?
Как и любое хирургическое вмешательство, операция костной пластики требует от хирурга аккуратности и точности, а от пациента – соблюдения всех рекомендаций врача. Подготовка к операции по наращиванию кости челюсти состоит из следующих этапов:
- 1. Санация полости рта и удаление всех очагов воспаления, чтобы исключить осложнения после операции.
- 2. Предварительный прием антибиотиков и противовоспалительных препаратов, призванных в дальнейшем облегчить реабилитационный период.
- 3. При необходимости – подбор заместительной никотиновой терапии для курильщиков, так как после операции несколько дней запрещено курить.
Когда все подготовительные процедуры проведены и пациент готов, можно приступать к операции. Рассмотрим подробно, как делается костная пластика:
- 1. Проводится обезболивание участка челюсти, на котором будет производиться вмешательство. Как правило, наркоз при операции костной пластики не производят – местной анестезии вполне достаточно, чтобы застраховать пациента от неприятных ощущений.
- 2. Хирург надрезает десну и надкостницу, обнажая участок кости, который требует наращивания.
- 3. Специальным инструментом врач расщепляет кость, помещает в образовавшуюся полость костный материал и закрепляет его миниатюрными винтами.
- 4. Область операции накрывается барьерной мембраной, которая предохраняет костный материал от смещения и защищает область операции от проникновения бактерий.
- 5. Десну зашивают. Как правило, хирурги используют саморассасывающиеся материалы, так что дальнейшее снятие швов не требуется.
После операции врач дает пациенту рекомендации по восстановлению, выписывает антибиотики и обезболивающие препараты.
Диагностические мероприятия
Физикальный осмотр бесполезен для диагностирования патологии такого рода, интересующий нас орган находится в зоне видимости врача. Один из способов увидеть травму , рентген соответствующей части носа и челюсти. Сочетание диагностических мероприятий , например, рентгенограмма и компьютерная томография (в случае, если рентген окажется малоинформативным).
Другой метод диагностики , исследование зондом.
Дополнительным средством обнаружения повреждения являются жалобы пациента. В случае перфорации гайморовой пазухи они характерные, а воздушные пузырьки в выделяемой крови практически не оставляют сомнений в верной постановке диагноза.
Застарелые перфорации можно обнаружить только по совокупности исследований: результата анализа крови и компьютерной томографии.
Преимущества лечения в нашей клинике
Подводя итоги можно понять, что получить дефект перегородки полости верхней челюсти очень легко. Это зависит как от действий стоматолога, так и от индивидуальных анатомических особенностей пациента.
Обращаясь за лечением в нашу клинику в Москве, вы можете быть уверены, что таких осложнений у вас гарантированно не будет. У нас проводят профилактику осложнений.
Для этого у нас назначают обязательный комплекс профилактических мероприятий по их предотвращению:
- Мы проводим полное обследование больных перед проведением всех стоматологических манипуляций.
- Выполняем исчерпывающую оценку анатомо-топографических особенностей пациента.
- Мы соблюдаем все этапы стоматологических манипуляций.
Вы останетесь довольны качеством стоматологических услуг, если обратитесь к нам в клинику. В нашей клинике есть самое современное оборудование на уровне стандартов лучших европейских и американских стоматологических клиник. Мы можем предложить вам полный спектр всех диагностических процедур в одном месте. Наши врачи прошли обучение в ведущих мировых центрах стоматологии и владеют новейшими методиками лечения и протезирования. Мы поможем даже в самых сложных случаях. Мы разрабатываем индивидуальный курс лечения с учетом всех особенностей больного. Мы используем только проверенные методики лечения и материалы самого высокого качества. Наша клиника сделала доступными самые высококачественные стоматологические услуги. С полным спектром наших возможностей по лечению и диагностике вы можете ознакомиться на нашем сайте.
Имплантация с костной пластикой
Установить имплант сразу после удаления зуба – это идеальный вариант для врача и пациента, однако такие случаи бывают крайне редко. Гораздо чаще пациент обращается в клинику через какое-то время после потери зуба, когда костная ткань без нагрузки уже истончилась и стала непригодной для установки импланта. Поэтому в большинстве случаев пациента ожидает имплантация с костной пластикой. Это две различные процедуры, которые в некоторых случаях могут проводиться одновременно, но чаще идут одна за другой через определенный промежуток времени.
Костная пластика при имплантации нужна, чтобы подготовить надежный «фундамент» для установки искусственного зуба. Чтобы титановый корень крепко держался в челюсти, она должна быть не менее 8 мм в высоту и 5,5 мм в толщину, и, если у пациента диагностирована атрофия костной ткани, его, скорее всего, ожидает наращивание кости челюсти под зубной имплант. Это самая настоящая хирургическая операция, и, конечно, пациентов беспокоит вопрос: как скоро можно поставить имплант после костной пластики?
Все зависит от состояния костей челюсти и выбранного метода наращивания. Например, имплантацию после костной пластики методом закрытого синус-лифтинга можно проводить сразу же, а аутогенная трансплантация потребует нескольких месяцев на заживление. В любом случае врач обязательно расскажет обо всех нюансах костной пластики при имплантации зубов.
Симптомы перфорации пазухи верхней челюсти
Как проявляется перфорирование гайморовой пазухи. Существуют специфические симптомы, когда это происходит.
Признаки перфорации:
- Кровотечение из лунки зуба с включением пузырьков воздуха. При выдохе через нос численность пузырьков возрастёт.
- При перфорации, кровотечение бывает не только из зубной лунки. Оно может быть из носового хода, который близок к пазухе.
- Больной говорит «в нос» или гнусавит.
- Затем возникает ощущение свободного прохождения воздуха через зубную лунку.
- Больной иногда отмечает распирание и чувство тяжести в области средней трети лица со стороны поражения.
Если прободение не было распознано сразу, и лечение не проводилось, то к предыдущей клинике присоединяются симптомы гайморита.
Гайморит проявляется:
- Повышается температура тела.
- Усиливается ощущение распирания в проекции гайморовой пазухи.
- Носовое дыхание затруднено.
- Слизистая носа на стороне поражения отёчна.
- Нарастает общая слабость.
- Ломящая боль в носовой области.
- Гнойное отделяемое из носового хода на той стороне, где была манипуляция.
Способы лечения
Степень распространения и место, где сосредоточена проблема, влияют на выбор методики лечения. Самая простая терапия осуществляется в верхней части зуба. Чем глубже локализация, тем получить доступ сложнее. Увеличивается шанс ошибок со стороны врача, хотя опытный стоматолог их не должен допускать.
Первый, простой и эффективный способ лечения – это пломбирование. Лунку можно закрыть с помощью пломбировочного материала, который наносится в пустое отверстие после должной обработки.
Для устранения загрязнений используются специальные инструменты, применяется конусный бур. Буром проводится подготовка лунок любого уровня сложности, заглубления. В качестве материала берется цементная пломба. Лунку она должна покрыть полностью, чтобы трещин, сколов и выемок не было.
Следующий этап – ожидание, пока цементный состав станет твердым. Проводится повторная очистка и подготовка поверхностей. Врач проверяет, нет ли нарушений, недостатков, отклонений от норм.
При этом рецидивы все равно возможны. Специалист порекомендует делать рентген раз в полгода в первые пару лет, чтобы исключить вероятность отторжения или разрушения пломбировочного материала. В редких случаях это возможно из-за давления на проблемную зону, травм и прочих негативных факторов.
В лечении важное место занимает остановка крови. При работе часто начинаются кровотечения, особенно когда точка работы находится глубоко или диаметр лунки большой.
Назначение препаратов, которые снимут боль и помогут выздороветь, назначает специалист индивидуально. Часто предлагают пропить курс обезболивающего, после пломбирования проблем не должно возникать.
На что жалуется человек при травме гайморовой пазухи
Среди жалоб, предъявляемых пациентом при травме, можно выделить:
- Характерный симптом , пузырьки в крови. Резкий выдох носом , их становится больше.
- Кровь начинает идти носом и на поврежденной стороне.
- Больной начинает говорить “гнусаво”, меняется тембр его голоса.
Это происходит при экстракции зуба. Если была имплантация или эндодонтическое лечение, у стоматолога возникнет подозрение на проблему при обстоятельствах:
- после приложения усилия на инструмент, последний проваливается в полость,
- инструмент меняет положение в ране,
- в крови появляются мелкие пузырьки.
Если патологию вовремя не пролечить, можно заработать осложнения в виде синусита, острого гайморита. Жалобы будут другими , сильнейшие болевые ощущения, гной из носа и отек слизистой оболочки.
При перфорации может быть проявление общего нездоровья организма: слабость, озноб, головная боль, высокая температура.
Показания и противопоказания к наращиванию кости челюсти
К костной пластике челюсти абсолютным показанием является недостаток собственных тканей при имплантации. Нужна ли вам подсадка кости или нет, вы можете определить самостоятельно. Надавите пальцем на место, где отсутствует зуб. Если вы почувствовали что-то вроде провала, то вам требуется костная пластика альвеолярного отростка для восстановления челюстной кости. Однако, не стоит забывать, что, как и любая хирургическая операция, остеопластика в стоматологии имеет и свои противопоказания. К ним относятся:
- иммунные заболевания;
- нарушение свертываемости крови;
- онкологические заболевания;
- невосприимчивость к анестезии или аллергия на нее.
Если у пациента наблюдаются заболевания ЛОР-органов (например, гайморит или даже простой насморк), то такой вид костной пластики, как синус-лифтинг, следует отложить до полного выздоровления.
Особенности верхнечелюстной пазухи носа
Верхнечелюстная пазуха (ее другое название — гайморова пазуха) располагается в толще костной ткани верхней челюсти. От ротовой полости ее отделяет альвеолярный отросток верхней челюсти, который и образует ее дно. Объем такой пазухи достаточно велик, и у взрослых людей он может достигать 10 сантиметров кубических.
Такая пазуха, или синус, не является герметичной. Она имеет сообщение с полостью носа посредством узкой щели.
Обычно перфорация верхнечелюстной пазухи происходит в области ее дна. Этому способствуют некоторые ее особенности:
- Близкое расположение корней моляров и премоляров. В некоторых случаях толщина костного слоя между зубными корнями и дном гайморовой пазухи может быть сравнительно большой — до 1 см, но у некоторых людей костная граница между этими образованиями совсем тонкая — не более 1 мм.
- Иногда корни первого и второго моляров располагаются в самой полости пазухи, отделяясь от нее всего лишь слоем слизистой оболочки.
- Быстрое истончение слоя кости при наличии острых или хронических воспалительных заболеваний: периодонтитах, пародонтитах, кистах.
- Относительно тонкие костные трабекулы в ткани верхней челюсти.
Все это предрасполагает к возникновению перфорации при проведении стоматологических манипуляций, даже если техника лечения не была нарушена, а врач не прилагал значительной травмирующей силы.
Особенности костной пластики на нижней челюсти
Костная пластика нижней челюсти нужна, когда объема собственной кости недостаточно, чтобы надежно закрепить имплант. Такое случается, когда кость на длительное время остается без нагрузки после потери зуба, а также это может быть следствием особенностей анатомического строения челюсти пациента. В этом случае врач предложит наращивание кости на нижней челюсти как проверенный и надежный способ подготовить ее к имплантации.
