Периодонт – это комплекс тканей, которые находятся между корнем зуба и альвеолой (зубная лунка). Одним из распространенных осложнений кариеса (35-50% от общего числа) является периодонтит.
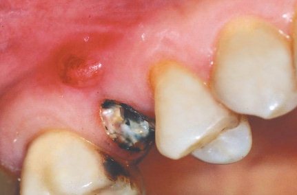
Периодонтит – острое и хроническое воспаление периодонта, при котором возникает нарушение целостности связок удерживающих зуб в альвеоле, резорбция костной ткани вплоть до возникновения кист. Резорбция кости альвеолы приводит к патологической подвижности зуба.
Классификация периодонтита
Приведенная ниже классификация периодонтита, принятая в России, имеет небольшие расхождения с его классификацией за рубежом. Российские стоматологи выделяют:
Врачи отмечают, что периодонтит является одной из самых распространенных стоматологических проблем, требующих внимательного подхода. Это воспалительное заболевание тканей, окружающих зуб, может привести к потере зуба, если не будет своевременно диагностировано и лечено. Специалисты подчеркивают важность регулярных профилактических осмотров и профессиональной гигиены полости рта, которые помогают выявить заболевание на ранних стадиях. Кроме того, врачи рекомендуют пациентам обращать внимание на симптомы, такие как кровоточивость десен и неприятный запах изо рта. Эффективное лечение периодонтита включает в себя как консервативные методы, так и хирургические вмешательства в запущенных случаях. Важно помнить, что своевременное обращение к стоматологу может значительно улучшить прогноз и сохранить здоровье зубов.
https://youtube.com/watch?v=XC-PEuL7O2A
Причины (этиология) периодонтита
К важнейшим этиологическим факторам периодонтита относится: микрофлора полости рта, окклюзия (привкус), аномальные положения зубов, зубные отложения. Немаловажное значение имеет общее состояние желудочно-кишечного тракта, заболевания нервной и эндокринной систем, нарушения обмена веществ в организме, витаминный дисбаланс.
Периодонтит у детей, как правило, возникает по инфекционной и травматической причине.
Характерные симптомы периодонтита
Возникающий периодонтит, симптомы которого характерны и легко диагностируются, необходимо стараться предотвратить в самом начале. Для этого настоятельно рекомендуется своевременное обращение к врачу. Особенно данная рекомендация касается родителей, у которых маленькие дети – именно от вас зависит систематический контроль состояния зубов своего ребенка.
Первыми признаками возникновения периодонтита является неприятные ощущения «ноющих» десен при приёме пищи с разными температурными режимами, кровоточивость десны при чистке зубов и неприятный запах изо рта.
Острый периодонтит, как правило, характеризуется возникновением на начальном этапе внезапных сильных болей без внешнего раздражителя в области заболевшего зуба. Ощущение «выросшего» зуба, боль может утихать при воздействии на воспаленный участок холодным. На последующей стадии развития воспаления боль приобретает пульсирующий характер, возможно появление отека лица. На этой стадии характерно увеличение лимфатических узлов и повышение температуры у больного до 38C. В случае, если не обращаться к стоматологу, то через 1,5-2 недели острый периодонтит переходит в хронический.
Хронический периодонтит сопровождается заметным повышением подвижности зубов, изменяется их положение, образуются межзубные щели. Кровоточивость десен может возникать даже без механического воздействия на них. Наблюдается систематическое выделение гноя, абсцессы и острая боль.
Хронический периодонтит характерен своей периодичностью – обострение периодонтита сменяется затиханием процесса, и больной в эти периоды может успокаиваться, в очередной раз, откладывая посещение врача. В периоды, когда происходит обострение периодонтита, десна краснеет и опухает, зубная боль постоянна и усиливается от прикосновения к зубу. Наблюдается повышение температуры тела.
Обострение периодонтита требует хирургических методов с целью удаления гнойного содержимого. Это препятствует некрозу тканей, распространению воспаления, ликвидирует или ослабляет боль. После удаления гноя врач начинает лечение периодонтита.
Периодонтит — это заболевание, которое вызывает множество обсуждений среди людей, сталкивающихся с этой проблемой. Многие отмечают, что симптомы, такие как кровоточивость десен и неприятный запах изо рта, становятся настоящей преградой в повседневной жизни. Некоторые делятся своим опытом лечения, подчеркивая важность регулярных визитов к стоматологу и соблюдения гигиенических норм. В социальных сетях можно встретить советы по народным методам, однако специалисты предупреждают, что самолечение может усугубить ситуацию. Люди также говорят о том, как периодонтит влияет на общее состояние здоровья, связывая его с сердечно-сосудистыми заболеваниями. Обсуждения часто касаются и психологических аспектов, ведь проблемы с зубами могут снижать самооценку и вызывать комплекс неполноценности. В целом, периодонтит — это не только стоматологическая проблема, но и важный аспект, требующий внимания и комплексного подхода.
https://youtube.com/watch?v=1D_xb07Ntxc
Способы диагностики периодонтита
Диагностика периодонтита проводится традиционными клиническими методами, которые позволяют выявить очаг заболевания и степень развития воспалительного процесса. Диагностируя периодонтит у детей, врач сталкивается с трудностями сбора анамнеза на первом этапе – опросе, так как ребенок воспринимает боль эмоционально и не всегда может четко передать свои ощущения.
Клиническая диагностика периодонтита включает в себя:
Лечение периодонтита
Диагностировав периодонтит, лечение врач назначает, как правило, комплексное и поэтапное. Лечение острого периодонтита, как правило, требует незамедлительного вмешательства и включает в себя:
При неэффективности лечения происходит удаление зуба.
Если у больного уже произошел переход из острого в хронический периодонтит, лечение проводится в зависимости от сложности и развития заболевания. И именно от того, на какой стадии заболевания больной попадает в руки профессионала, зависит эффективность всех последующих процедур.
Периодонтит у детей сопряжен с некоторыми особенностями применения вышеперечисленных методов лечения. Консервативная терапия не во всех случаях позволяет добиться ликвидации очага инфекции. Для лечения периодонтита у ребенка, врач должен провести тщательную и полную диагностику, чтобы быть уверенным, что воспалительный процесс не распространился на зачаток постоянного зуба
https://youtube.com/watch?v=L4q6cOPKzWo
Вопрос-ответ
Что такое периодонтит и каковы его основные симптомы?
Периодонтит — это воспалительное заболевание, которое поражает ткани, окружающие зуб, включая десны, связки и костную ткань. Основные симптомы включают боль в области зуба, отек и покраснение десен, появление гноя, неприятный запах изо рта и подвижность зубов.
Каковы основные причины развития периодонтита?
Основными причинами периодонтита являются накопление зубного налета и бактерий, недостаточная гигиена полости рта, курение, генетическая предрасположенность, а также системные заболевания, такие как диабет. Эти факторы могут способствовать воспалению и разрушению тканей, поддерживающих зуб.
Какие методы лечения периодонтита существуют?
Лечение периодонтита может включать профессиональную чистку зубов, применение антибиотиков, а также хирургические вмешательства в более тяжелых случаях. Важно также соблюдать гигиену полости рта и регулярно посещать стоматолога для профилактики и контроля заболевания.
Советы
СОВЕТ №1
Регулярно посещайте стоматолога для профилактических осмотров. Периодонтит может развиваться незаметно, и ранняя диагностика поможет предотвратить серьезные последствия.
СОВЕТ №2
Обратите внимание на гигиену полости рта. Чистите зубы дважды в день и используйте зубную нить, чтобы удалить налет и остатки пищи из межзубных пространств, что поможет снизить риск развития периодонтита.
СОВЕТ №3
Следите за своим питанием. Употребление продуктов, богатых витаминами и минералами, особенно витаминами C и D, способствует укреплению десен и снижает риск воспалительных заболеваний.
СОВЕТ №4
Избегайте курения и чрезмерного употребления алкоголя. Эти факторы могут ухудшить состояние десен и способствовать развитию периодонтита, поэтому отказ от вредных привычек поможет сохранить здоровье зубов.

