Виды и вызываемые заболевания
Современной науке известно около 27 видов этой группы, они обитают в желудочно-кишечном тракте, мочеполовой системе и на коже. Находящиеся в горле стрептококки классифицируются по своей способности разрушать (гемолизировать) эритроциты.
Различают следующие группы:
- Альфа-гемолитические – вызывают частичное разрушение.
- Бета-гемолитические – полностью уничтожают эритроциты.
- Гамма-гемолитические – не способствуют гемолизу (негемолитические).
В первую группу входят зеленящие стрептококки или Streptococcus viridans, названные так из-за своей способности окрашивать питательную среду зелёным цветом (вириданс на латыни зелёный). Они составляют нормальную микрофлору, обитая в зубном налёте. Клинически важными видами становятся Streptococcus salivarius (саливариус) и Streptococcus mitis (митис). В случае активизации они проникают в кровь, способствуя развитию воспаления внутренних оболочек сердца – эндокардита. Зеленящий стрептококк легко передаётся от человека к человеку, при выявлении требует обязательного лечения.
К альфа-гемолитическим также относится Streptococcus pneumoniae (пневмония), другое его название пневмококк. Являясь высоко патогенным возбудителем, часто становится причиной воспаления лёгких (пневмония) с тяжёлым течением и случаями смертности до 5% пациентов. Развивается как осложнение после стрептококковой инфекции ЛОР-органов, способен вызывать риниты, синуситы, отиты и воспаления горла. Без лечения микроорганизмы быстро размножаются, воспалительный процесс переходит в сепсис.
Стрептококковая инфекция горла чаще обусловлена группой бета-гемолитических штаммов. Основной её представитель Streptococcus pyogenes (пиогенный), относится к серогруппе А, является основной причиной воспаления носоглотки у детей.
Пиогенный стрептококк провоцирует следующие заболевания:
- фарингит;
- тонзиллит;
- ангина;
- скарлатина.
Последствиями инфицирования бета-гемолитическим стрептококком становятся тяжёлые осложнения сердца и почек, в случае сепсиса возможен токсический шок.
Негемолитические виды относятся к непатогенной сапрофитной флоре – не вызывают заболеваний, сопровождая человека в течение жизни.
Врачи отмечают, что стрептококковая инфекция является распространенной проблемой, особенно среди детей и подростков. Эта инфекция может вызывать различные заболевания, включая ангину, скарлатину и даже более серьезные осложнения, такие как ревматизм. Специалисты подчеркивают важность своевременной диагностики и лечения, так как игнорирование симптомов может привести к серьезным последствиям для здоровья. Они рекомендуют родителям обращать внимание на такие признаки, как боль в горле, высокая температура и общее недомогание. Врачам важно проводить дифференциальную диагностику, чтобы исключить другие инфекции и назначить адекватное лечение. Профилактика также играет ключевую роль, включая соблюдение гигиенических норм и вакцинацию, что может значительно снизить риск распространения инфекции.
https://youtube.com/watch?v=nwZO4rN2Shw
Что такое стрептококк
Что же такое стрептококк, вызывающий гангрену и некротизирующий фасциит? Само название этого микроорганизма переводится с греческого как “шарики-цепочки”. Это кокки (круглые клетки), образующие колонии-цепочки. Обычно стрептококки мирно “сидят” у нас в миндалинах, и их размножение сдерживают иммунные клетки организма.
Но вот что-то произошло. Допустим, малыш застудил горло — съел мороженое, выпил холодный напиток или попал под дождь, промочил ноги, озяб, — и микроорганизм вышел из-под контроля, вызывая боль в горле, покраснение — скарлатину (от английского слова “скарлет”, означающего интенсивный красный цвет). Затем набухли “железки”, то есть увеличились в размерах шейные лимфатические узлы, в них пошло размножение лимфоцитов, борющихся с разбушевавшимся микробом.
В нынешних условиях, когда под рукой много лекарств, за несколько дней все проходит. Однако в прошлом веке скарлатина была бичом маленьких детей, унося сотни жизней. Не была сюрпризом для врачей прошлого и гангрена: в Европе постоянно велись войны, большое число людей занималось тяжелым сельским трудом, ремеслами. Словом, травм и нагноений различного происхождения было достаточно… Да и позже жертв хватало. Вспомним хотя бы отца В. Маяковского, погибшего от заражения крови после незначительного укола пальца, или сына американского президента Кулиджа, погибшего от нагноения мозоли. Что и говорить, гангрена свирепствовала вовсю.
Кстати, само слово “гангрена” пришло к нам из греческого, где оно означало “поедание”, “пожирание”: недаром стрептококк, вызывающий гангрену, английские врачи образно назвали “мясоедом”.
Но вот что интересно. В 20-е годы нашего столетия стрептококковые инфекции “ушли” как-то сами собой. Причем без всяких антибиотиков, которые появились в широкой медицинской практике лишь спустя четверть века.
Флегмона гнойное воспаление клетчатки
При гнойном воспалении клетчатки, большое количество которой располагается под кожей, в межмышечном и забрюшинном пространстве или стенок полых органов (аппендикс, желудок, желчный пузырь, кишки и пр.), развивается флегмона.
При гнойном воспалении околоногтевой клетчатки развивается паронихий, подкожной клетчатки пальцев — панариций. Панариций может осложниться тендовагинитом, остеомиелитом, флегмоной кисти, лимфаденитом и сепсисом.
При распространении инфекции на клетчатку шеи из пораженных гноеродными бактериями миндали или воспалительных очагов челюстно-лицевой системы развивается флегмона шеи. При флегмоне шеи стрептококковая инфекция может распространиться на перикард, плевру и клетчатку средостения. При проникновении бактерий в кровь развивается сепсис.
При развитии острого гнойного воспаления в клетчатке средостения развивается медиастинит, в околопочечной клетчатке — паранефрит, околоматочной клетчатке — параметрит, в клетчатке вокруг прямой кишки — парапроктит. Интоксикация, свищи, перитонит и сепсис — самые грозные осложнения флегмоны.
Рис. 28. На фото сочетание флегмонозной и фиброзной ангины. Виден переход воспалительного процесса из лимфоидной ткани в околоминдальную клетчатку.
Рис. 29. На фото паронихия. Заболевание часто вызывается стрептококками.
Рис. 30. На фото панариций.
Стрептококковая инфекция вызывает много обсуждений среди людей, особенно в контексте ее симптомов и лечения. Многие отмечают, что заболевание может проявляться в виде боли в горле, высокой температуры и общего недомогания. Некоторые делятся личным опытом, рассказывая о том, как быстро обратились к врачу и получили антибиотики, что значительно облегчило их состояние. Другие выражают опасения по поводу возможных осложнений, таких как ревматизм или гломерулонефрит, что подчеркивает важность своевременной диагностики. В социальных сетях часто можно встретить советы по профилактике, включая укрепление иммунной системы и соблюдение гигиенических норм. В целом, люди стремятся делиться информацией и поддерживать друг друга в борьбе с этой инфекцией, что создает атмосферу взаимопомощи и осведомленности.
https://youtube.com/watch?v=aQcA0s-301Y
Причины возникновения
Стрептококки постоянно находятся в организме человека, при этом не всегда приводят к развитию болезни. Здоровая иммунная система контролирует количество бактерий, не давая им размножаться. При ослаблении защитных барьеров инфекция начинает быстрое распространение, вызывая заболевания.
У детей инфекция верхних дыхательных путей, вызванная стрептококком, как правило, начинается после первичного заражения воздушно-капельным или бытовым путём от больного человека. Пневмония развивается после перенесённых простудных заболеваний, на фоне ослабления иммунитета. Новорожденные часто инфицируются в родах – стрептококк входит в состав микрофлоры половых путей у 25% женщин.
У взрослых микроорганизмы активизируются после переохлаждения в осенне-весенний период. Факторы, способствующие прогрессированию инфекционного процесса:
- курение;
- травмы гортани или слизистой рта;
- присутствие герпетической инфекции;
- гормональная терапия;
- нарушения иммунного статуса.
Кроме того, возможно самоинфицирование. Такой путь заражения возможен после стоматологического лечения или в результате хронических воспалений носовых пазух. В этом случае носитель стрептококка заражает сам себя, а инфекция перемещается из одних органов в другие.
Классификация стрептококковой инфекции
Стрептококки дифференцируют по характерным зонам гемолиза при выращивании на агаре с бараньей кровью. Различают три типа стрептококков. Бета-гемолитические стрептококки вызывают полный лизис эритроцитов с просветлением кровяного агара вокруг каждой колонии, α-гемолитические стрептококки (включая группу стрептококков вириданс) вызывают частичный лизис эритроцитов, приводящий к зеленовато-серому окрашиванию кровяного агара, и γ-гемолитические стрептококки не являются гемолитическими.
Последующая классификация, основанная на углеводах клеточной стенки, подразделяет стрептококки на группы по классификации Лэнсфилда от А до Н и от К до Т. Стрептококки группы вириданс формируют отдельную группу, которая трудно поддается классификации. В классификации Лэнсфилда энтерококки были первоначально включены в группу стрептококков D. Позже энтерококки были классифицированы как отдельный род
Факторы вирулентности. Многие стрептококки вырабатывают факторы вирулентности, включая стрептолизины, ДНКазы и гиалуронидазу, которые способствуют разрушению ткани и распространению инфекции. Отдельные штаммы продуцируют экзотоксины, которые активизируют определенные Т-клетки, вызывая выделение цитокинов, включая фактор α-некроза опухоли, интерлейкины и другие иммуномодуляторы. Эти цитокины активизируют комплемент, коагуляцию и фибринолитические системы, что ведет к шоку, полиорганной недостаточности и смерти.
https://youtube.com/watch?v=ef60EexFL2g
Особенности антибиотикотерапии стрептококковых заболеваний
Важно, чтобы курс антибиотикотерапии назначал именно лечащий врач. Отмечено формирование высокого уровня устойчивости к антибактериальным препаратам у бактерий семейства Streptococcaceae
Поэтому самостоятельный выбор медикаментозной терапии и бесконтрольное применение антибиотиков недопустимо.
Как правило, на первом этапе лечения врач назначает антибиотик широкого спектра действия, так как необходимо быстро купировать тяжёлое состояние пациента и устранить симптомы заболевания. После проведения лабораторной диагностики курс лечения может корректироваться (при необходимости назначаются препараты с узким спектром действия, активные в отношении конкретных видов и штаммов бактерий).
Лечение стрептококка
Лечением стрептококков занимается тот врач, профилю которого соответствует форма заболевания. Например, рожу лечит дерматолог, абсцессы, флегмоны и остеомиелит — хирург, цистит курирует уролог и так далее.
Этиотропная терапия (устранение причины заболевания) заключается в назначении антибиотиков пенициллинового ряда:
- ампициллин;
- оксациллин;
- бензилпенциллин;
- амоксициллин;
- бициллин-5;
- и другие.
Это единственные антибиотики, к которым стрептококки не способны приобрести устойчивость.
В зависимости от тяжести и формы заболевания антибиотики назначаются перорально или внутримышечно 4 раза в сутки, длительность курса 5-10 дней.
В случае наличия аллергии к пенициллинам назначаются антибиотики из группы макролидов (эритромицин, олеандомицин).
С целью дезинтоксикации показано обильное питье до трех литров в сутки. Параллельно назначается аскорбиновая кислота для укрепления стенок сосудов. Симптоматические препараты для снижения температуры (парацетамол, аспирин) принимаются не более трех дней.
При стрептококковой инфекции в ротоглотке назначаются полоскания рта и горла раствором фурациллина (с гигиенической, но не с лечебной целью).
Диагноз стрептококковой инфекции
Стрептококки быстро идентифицируются посевом в питательной среде с бараньей кровью.
Доступны методы быстрого выявления антигена, которые могут обнаружить β-гемолитические стрептококки группы А непосредственно по мазку из ротоглотки. Многие анализы основаны на иммуноферментном анализе, но в последнее время шли применяться анализы с использованием оптического иммунологического исследования. Эти быстрые тесты имеют высокую специфичность (>95%), но варьируют в значительной степени по чувствительности (от 55 до 80-90% у более современных оптических иммунологических анализов). При отрицательных результатах должны проводиться бактериологические посевы (особенно если для лечения используют макролиды ввиду возможной индуцибельной резистентности).
Во время выздоровления подтверждение о перенесенной инфекции может быть получено косвенно, путем обнаружения антистрептококковых антител в сыворотке. Обнаружение антител является основным при диагностике постстрептококковых заболеваний,таких как ревматизм и гломерулонефрит. Для подтверждения диагноза необходимы парные сыворотки крови с нарастающим титром антител во втором и последующих образцах, т.к. в одном образце сыворотки может быть высокий титр антител из-за длительной предшествующей инфекции. Образцы сыворотки должны отбираться каждые две недели в течение 2 мес. Чтобы считать диагностическим повышение (или снижение) титра антител, оно должно охватить не менее 2 серийных разведений. Титр антистрептолизина О повышается только в 75-80% инфекций. Для окончательного подтверждения диагноза в трудных случаях может также использоваться любой из других анализов (антигиалуронидаза, антидезоксирибонуклеаза В, антиникотинамид аденин динуклеотидаза, антистрептокиназа). Пенициллин, который назначают в течение первых 5 дней при симптоматическом стрептококковом фарингите, может задержать появление и уменьшить интенсивность иммуного ответа на антистрептолизин.
Стрептококк в организме человека
Стрептококк – это патогенный микроорганизм, который находится в нормальной микрофлоре человека. Под воздействием определенных факторов происходит его перерождение. Этот процесс влечет за собой поражение многих органов и систем организма.
При обнаружении в крови стрептококка стоит полагать о его интенсивном распространении. В большинстве случаев бактерия оседает на слизистых оболочках носоглотки, дыхательных и мочеполовых путей.
Активное размножение микроорганизмов происходит в кишечнике. На протяжении длительного времени микробы никак себя не проявляют. Как только организм ослабнет, появятся первые симптомы.

Существует несколько разновидностей бактерии, и не все из них являются опасными для человека. Многие несут пользу и помогают иммунной системе противостоять вирусам и инфекционным заболеваниям.
Наличие бактерий в организме это нормальный процесс, его не стоит пугаться. Если у человека крепкий иммунитет, и он тщательно соблюдает все правила гигиены, риск развития неблагоприятных последствий, минимальный.
Специалисты выделяют три основных группы стрептококков;
- альфа-гемолитические;
- бета-гемолитические;
- негемолитические.
Самыми опасными бактериями считаются бета-гемолитические стрептококки. Они являются возбудителями многих заболевания в организме человека. Основными путями передачи являются: воздушно-капельный, половой, вертикальный.
Человек может заразиться через общение с больным, использование одних бытовых предметов, употребление грязной продукции и половой акт.
Риск проникновения бактерии в организм, возрастает при резком ослаблении защитных функций. Спровоцировать это может наличие ВИЧ-инфекции, переохлаждение и наличие заболеваний хронической формы течения.
Самыми распространенными болезнями, вызываемыми стрептококком являются:
- рожистое высыпание;
- фарингит;
- ларингит;
- воспаление легких;
- мочеполовые инфекции;
- абсцесс;
- менингит.
Стрептококк – агрессивная бактерия, способная привести к тяжелым осложнениям, особенно в детском возрасте.
Streptococcus spp. это
Стрептококк (лат. Streptococcus ) — род шаровидных или овоидных аспорогенных грамположительных хемоорганотрофных факультативно-анаэробных бактерий из семейства лат. Streptococcaceae .
Отношение суммы гуанина и цитозина к общему весу оснований в молекуле ДНК равен 33—42 мол%. Типичные клетки менее 1 мкм в диаметре, располагаются попарно или цепочками, неподвижны, кроме штаммов группы D. Образуют капсулу, легко превращаются в L-форму. Питательные потребности сложные. Обычно растут на средах с добавлением крови, сыворотки крови, асцитической жидкости, углеводов. Температурный оптимум — 37°, pH 7,2-7,4. На плотных средах формируют мелкие плоские сероватые колонии, на жидких средах дают крошковатый пристеночный и придонный рост, на кровяном агаре — зоны альфа- или бетагемолиза. Встречаются и негемолитические штаммы. Ферментируют углеводы с образованием кислоты, расщепляют аминокислоты (аргинин, серин). Представители групп В и D продуцируют пигменты красного и желтого цвета. На питательных средах и в организме хозяина синтезируют внеклеточные стрептодорназу. стрептолизины. стрептокиназу. лейкоцидин. бактериоцины. Генетический обмен происходит трансформацией и трансдукцией, но не конъюгацией. Стрептококки погибают при пастеризации и действии рабочих растворов многих дезинфектантов, антисептиков, они чувствительны к пенициллину, тетрациклинам, аминогликозидам и др. препаратам. Устойчивость вырабатывается медленно. Паразиты животных, в том числе человека. Обитают в дыхательных и пищеварительных путях, особенно в полости рта, носа, в толстом кишечнике.
Принята классификация рода на основании специфического полисахарида С и поверхностных антигенов белковой природы (по Лендсфилду). По С-полисахариду выделяют серогруппы A, В, С, D … О. Экстракты С-полисахарида получают автоклавированием культуры при 1,1 атм 15 мин, обработкой её горячей соляной кислотой, азотной кислотой, формамидом, пепсином, трипсином. Серологическая специфичность связана с аминосахарами. У S. группы А, дающих матовые или слизистые колонии, на поверхности находится М-белок, который детерминирует типовую специфичность. В группе А по этому признаку выделяют 55 варов, определяемых с помощью реакции агглютинации или реакции преципитации с типоспецифическими сыворотками. М-белок обладает актифагоцитарной активностью, выраженными протективными свойствами. Вспомогательную роль в дифференциации играют также поверхностные Т и R антигены. Т-антиген термолабилен, устойчив к пепсину. трипсину и кислотам.
Виды стрептококков
- S. pyogenes (прежнее название S. haemolyticus ) — бета-гемолитические S. группы А. Диаметр клеток— 0,6—1 мкм. многие штаммы образуют капсулу. Капсульные штаммы растут в виде слизистых колоний, при стоянии переходящих в матовые; бескапсульные штаммы формируют блестящие глянцевидные колонии. Не растут при 10 и 45°. в бульоне с 6,5 % хлорида натрия, при рН 9,6, в молоке с 0,1 % метиленового синего. Ферментируют глюкозу, лактозу, сахарозу, салицин, трегалозу, не ферментируют инулин. сорбит. глицерин. гиппурат натрия. Большинство штаммов продуцируют стрептолизины. стрептокиназу, стрептодорназу, некоторые — эритрогенный токсин. Обитают у человека в глотке в норме и могут вызывать различные заболевания;
- 2) S. рneumoniае — объединяют в группу пневмококковых инфекций. Возбудитель представляет собой кокки с вытянутым полюсом, располагаются попарно или короткими цепочками, неподвижны, спор не формируют, при обитании в организме образуют капсулу, хемоорганотрофы, факультативные анаэробы. Паразит дыхательных путей человека. Встречается в норме при различных заболеваниях. Вызывает острые пневмонии и бронхит у детей и взрослых ;
- 3—4) S. faecalis, S. faecies — S. группы D, которые обычно объединяются в группу энтерококков, вызывают септические процессы ;
- 5—8) S. sanguis. S. salivarius. S. mitis. S. mutans — гемолитические и негемолитические S. различных серогрупп, продуцирующие полисахариды и принимающие участие в образовании зубных бляшек, предполагается их этиологическая роль при кариесе .
- 9) S. lactis (переведен в род Lactococcus ) — молочнокислый стрептококк, наиболее часто встречающаяся молочнокислая бактерия
Литература
Красильников А.П. Микробиологический словарь-справочник. — Мн: «Беларусь», 1986. — С. 288-289.
Wikimedia Foundation. 2010 .
Диагностика
При подозрении на наличие стрептококковой инфекции обязательно посещение врача. 
Диагностирование проводится на основании выявленных симптомов и обязательно подтверждается лабораторным способом. Дополнительно назначают клинические анализы крови и мочи для оценки общего состояния организма.
В зависимости от локализации воспаления на анализ берут:
- мазок со слизистой зева;
- отделяемое из носа;
- мокроту.
Материал направляют в лабораторию, где проводят бактериологическое исследование и пробы на чувствительность к антибиотикам. Результаты готовы через 3 – 5 дней, но острота протекания болезни требует немедленной терапии.
Заболевания, вызванные стрептококками
Основные заболевания, вызванные стрептококковыми инфекциями у пациента:
- скарлатина– инфекционный процесс, характерный преимущественно для пациентов детского возраста. Сопровождается высокой температурой, интоксикационной симптоматикой, мелкоточечными высыпаниями, появлением зернистого «малинового» языка (за счет гиперплазии сосочков). Заболевание развивается в результате попадания в организм гемолитического стрептококка, терапия заключается в лечении антибиотиками;
- острая форма тонзиллита(ангина) – воспаление поверхности миндалин, вызванное стрептококковой или стафилококковой инфекцией, реже – другими патогенными микроорганизмами. Для патологии характерно повышение температуры тела, белый плотный налёт на поверхности миндалин, головные боли, боли в горле, гиперемия задней стенки глотки и увеличение шейных и подчелюстных лимфатических узлов. Для купирования ангины применяются антибиотики от стрептококка в горле, обладающие узким спектром активности. Отдаленные осложнения стрептококковой инфекции могут проявляться поражениям сердца, суставов и т.д.;
- средний отит – заболевание, сопровождающееся развитием воспалительного процесса в полости среднего уха. Основными симптомами отита являются боли в ухе, гноетечение из уха, ощущение заложенности уха, снижение слуха, повышение температуры тела.
- остеомиелит– гнойно-некротическое воспаление кости, костного мозга и окружающих мягких тканях. При отсутствии адекватного и своевременного лечения развивается сепсис, который может привести к летальному исходу.
Кокки
Staphylococcusaureus (золотистый стафилококк ) относится к факультативным анаэробам, выделяет эндотоксины. Инфекционные заболевания, вызываемые этим видом стафилококков, разнообразны и включают более 100 нозологических форм, из которых наиболее часто встречаются гнойные поражения кожи и слизистых оболочек — ангины, гидрадениты (от греч. hydros- пот, aden — железа — гнойное воспаление потовых желез, как правило, расположенных в подмышечных ямках; син. «сучье вымя»); панариции (от лат. panaricium — «ногтеед» — гнойное воспаление ткани пальца), пиодермии, фурункулы, циститы; остеомиелиты, артриты, пневмонии, менингиты, абсцессы, флегмоны, пищевые токсикоинфекции. Распространяясь из локальных очагов, золотистые стафилококки могут вызвать сепсис (от греч. sepsis- гниение; син. заражение крови; патологическое состояние, характеризующееся попаданием в кровь микробов из очага воспаления и последующим образованием новых, метастатических очагов гнойного воспаления в различных органах и тканях организма);
Staphylococcusepidermidis-факультативный анаэроб. выделяющий эндотоксины. Вызывает бактериемии, эндокардиты, инфекционное поражение суставов, мочевыводящей системы. Отличительной особенностью бактерии является способность инфицировать дренажи, катетеры. На долю этого возбудителя приходится до 50 % инфекций имплантированных сосудистых и суставных протезов.
Streptococcus spp. — стрептококки
Streptococcuspyogenes(Streptococcushaemolyticus) относятся к β-гемолитическим стрептококкам и являются факультативными анаэробами, выделяющими эндотоксины. Стрептококки этой группы вызывают скарлатину, ревматизм, эндокардит (от греч. endo- внутри, kardia — сердце, itis- воспалительный процесс — воспаление внутренней оболочки сердца, как правило, с поражением клапанов, приводящее к развитию пороков сердца), остеомиелит, рожистое воспаление, ангину, хронический тонзиллит, фарингит.
Streptococcuspneumoniae (син. пневмококки ) — диплококки (син. ланцетовидные диплококки) — относятся к β-гемолитическим стрептококкам и являются факультативными анаэробами, эндотоксины не выделяют. Стрептококки этой группы вызывают пневмонии, чаще при аспирации (от лат. aspiratio — дыхание — проникновение инородных веществ в дыхательные пути с потоком вдыхаемого воздуха) слюны, содержащей Streptococcuspneumoniae, а также бронхит, отит, ринит, ползущую язву роговицы, менингит, сепсис.
Streptococcusanginosus (син. зеленеющие стрептококки ) и Streptococcusmutans относятся преимущественно к негемолитическим стрептококкам и являются факультативными анаэробами. Зеленеющие стрептококки вызывают абсцессы (головного мозга, печени), артриты и сепсис новорожденных, a Streptococcusmutans — эндокардит и кариес.
Enterococcus spp. — энтерококки (син. фекальные стрептококки)
Enterococcusfaecalis и Enterococcusfaecium являются факультативными анаэробами. Вызывают поражение мочеполового тракта у лиц с длительно функционирующими катетерами. У наркоманов и лиц пожилого возраста энтерококки вызывают эндокардиты, как правило, вялотекущие. Помимо этого энтерококки могут вызвать различные госпитальные (внутрибольничные) инфекции, преимущественно в хирургических, гинекологических, проктологических и урологических отделениях.
Neisseria spp. — Нейссерии. Neissehagonorrhoeae (син. гонококки)
Морфологически представляют собой диплококки бочкообразной формы. Гонококки являются аэробами, вырабатывающими эндотоксины. Гонококки вызывают инфекции мужских и женских половых органов — гонорею, проявляющуюся цервицитом (от лат. cervicis- шейка, греч. itis- воспаление — воспаление шейки матки), уретритом, эндометритом, эпидидимитом (от греч. epi- над, didymoi — яичко, itis- воспаление — воспаление придатков яичка), а также проктиты, фарингиты, тазовые перитониты, бленнорею (от греч. blennos- слизь, rhoia- истечение — острое гнойное воспаление конъюнктивы глаза).
Морфологически представляют собой диплококки овальной формы. Менингококки являются аэробами, вырабатывающими эндотоксины. Менингококки вызывают менингит или менигококкемию (клиническая форма менингококковой инфекции, характеризующаяся тяжелой интоксикацией, кровоизлияниями и геморрагической сыпью).
Симптомы стрептококковых инфекций
Часто встречающиеся формы:
1. Скарлатина
Заболевание начинается резко, с подъема температуры до высоких цифр и выраженной интоксикации (слабость, отсутствие аппетита, тошнота, головная боль, боль в горле при глотании). Через несколько часов (примерно через 6-12) появляется сыпь. Сначала она становится заметной на кистях, стопах и верхней части туловища, затем распространяется по всему телу (на 2-3 день болезни). Исчезает сыпь на второй неделе.
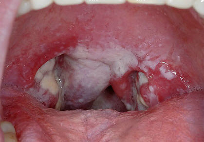
2. Ангина (острый тонзиллит)
Об остром тонзиллите говорят, когда воспаляются небные миндалины. Стрептококк, проникнув в миндалины, вызывает в них воспалительный процесс, характер которого может быть различным (катаральная, фолликулярная, лакунарная, некротическая ангина).
Если барьерная функция тканей, которые окружают миндалины, снижена, то они тоже вовлекаются в воспалительный процесс, в результате чего возникает паратонзиллит (паратонзиллярный абсцесс – острое воспаление в мягких тканях миндалин).
Инкубационный период составляет от нескольких часов до 2-5 суток. Заболевание начинается остро и внезапно. Возникает озноб, выраженная слабость, головная боль, ощущается невозможность глотания, появляется чувство ломоты в суставах.
При тяжелом течении ангины озноб продолжается в течение нескольких суток. Головные боли носят тупой характер и держатся 2-3 суток. Чувство ломоты в суставах, тянущих болей в пояснице сохраняется 1-2 дня. Боль в горле сначала слабовыраженная, затем усиливается и достигает пика на вторые сутки.
Ангина отличается от скарлатины отсутствием сыпи.
При осмотре миндалин отмечается их значительное увеличение и наличие желто-белого гнойного налета или беловатых пузырьков (фолликулов).
3. Рожистое воспаление
Рожистое воспаление протекает остро и, как правило, тяжело. Отмечается значительное повышение температуры (39-40°C), сильная головная боль, выраженная слабость, озноб, боли в мышцах. На фоне интоксикации сознание становится спутанным, больной начинает бредить.
Характерный признак рожи – это локальное воспаление участков кожи. Место воспаления возвышается над уровнем здоровой кожи, отличается ярко-красным цветом, повышенной температурой и четкими границами. В случае тяжелого течения заболевания на пораженном участке появляются пузыри и кровоизлияния.
4. Остеомиелит
Воспаление костного мозга, которое проникает во все слои кости, называется остеомиелитом. Развивается гнойное воспаление, в результате чего костный мозг некротизируется, и на этом месте возникает гнойник, который имеет тенденцию к прорыву наружу.
5. Сепсис
У людей с резко сниженными защитными силами организма возможно развитие сепсиса. Из первичного очага стрептококк проникает в кровь и разносится по всему организму (септицемия). При этом в разных местах образуются новые очаги инфекции – абсцессы в легких, печени, почках, головном мозге и прочее (септикопиемия).
Вопрос-ответ
Что такое стрептококковая инфекция и какие ее основные виды?
Стрептококковая инфекция – это инфекционное заболевание, вызванное бактериями рода Streptococcus. Основные виды включают стрептококковую ангину, скарлатину, пневмонию и инфекцию мягких тканей. Эти инфекции могут проявляться различными симптомами, включая боль в горле, сыпь, лихорадку и общую слабость.
Как происходит передача стрептококковой инфекции?
Передача стрептококковой инфекции происходит преимущественно воздушно-капельным путем, когда инфицированный человек кашляет или чихает. Также возможно заражение через контакт с предметами, на которых находятся бактерии, или через прямой контакт с кожными поражениями.
Какие методы лечения применяются при стрептококковой инфекции?
Лечение стрептококковой инфекции обычно включает антибиотики, такие как пенициллин или амоксициллин, которые помогают устранить бактерии. Важно также соблюдать постельный режим, пить много жидкости и использовать жаропонижающие средства при необходимости. В случае тяжелых форм инфекции может потребоваться госпитализация.
Советы
СОВЕТ №1
Регулярно мойте руки с мылом, особенно после посещения общественных мест и перед едой. Это поможет предотвратить распространение стрептококков и других инфекций.
СОВЕТ №2
При появлении симптомов, таких как боль в горле, высокая температура или сыпь, не откладывайте визит к врачу. Раннее обращение за медицинской помощью может предотвратить осложнения.
СОВЕТ №3
Избегайте тесного контакта с людьми, у которых диагностирована стрептококковая инфекция. Используйте индивидуальные предметы гигиены, такие как полотенца и столовые приборы, чтобы снизить риск заражения.
СОВЕТ №4
Следите за состоянием своего иммунитета: правильно питайтесь, занимайтесь физической активностью и достаточно отдыхайте. Сильная иммунная система поможет вашему организму бороться с инфекциями.




