Общее описание
Аспергиллез легких — это патология бронхолегочной системы инфекционной природы, вызываемая грибками aspergillus рода плесневых.
Аспергиллез легких обычно представлен аспергилломой (скоплением грибковых друз размером до нескольких десятков миллиметров), а также бронхитом, пневмонией, воспалением плевры и бронхолегочным аспергиллезом аллергической природы. Как правило, аспергиллез развивается на фоне ослабления иммунитета, бронхоэктатической болезни, различных форм туберкулеза или рака легкого и заболеваний системы кроветворения.
https://youtube.com/watch?v=o_AcM9ZJtbs
От бронхолегочного аспергиллеза умирает около 30% больных (из пациентов, инфицированных вирусом иммунодефицита, умирает каждый второй).
Непосредственная причина данной патологии — попадание в организм человека грибка аспергиллы. На его наростах образуются так называемые конидии (споры). Они вдыхаются человеком из окружающего воздуха. После истечения инкубационного периода аспергиллы начинают непосредственно воздействовать на те органы и ткани, в которых зафиксировались. Конидии могут попасть внутрь человека вместе с пищей ненадлежащего качества или через открытую рану.
Врачи отмечают, что аспергилл чёрный представляет собой серьёзную угрозу для здоровья человека, особенно для людей с ослабленной иммунной системой. Этот грибок может вызывать различные заболевания, включая аспергиллез, который поражает легкие и может привести к тяжёлым осложнениям. Специалисты подчеркивают важность ранней диагностики и своевременного лечения, так как запущенные случаи могут быть фатальными. Кроме того, врачи рекомендуют соблюдать меры профилактики, такие как поддержание чистоты в помещениях и избегание контакта с потенциальными источниками инфекции. Важно также проводить регулярные проверки здоровья для выявления возможных рисков, связанных с этим патогенным грибком.
Симптомы код
Лёгочная аспергиллома представляет собой шаровидное образование из плотного сплетения мицелия, формирующееся в полостях на фоне хронической лёгочной патологии (туберкулёза, саркоидоза, бронхоэктатической болезни и др.). Может протекать бессимптомно и выявляться лишь при рентгенологическом исследовании; возможен повторный кашель с кровохарканьем, иногда вплоть до летального кровотечения.
Инвазивный аспергиллёз лёгких обычно протекает остро и быстро прогрессирует, вызывает одышку, кашель, лихорадку, боли в грудной клетке. Возможно распространение инфекционного процесса как в соседние структуры, так и гематогенно в другие органы.
Аспергиллёз с поражением внутренних органов имеет тяжёлое течение, протекая с лихорадкой, ознобом, возможно развитие шока, делирия, тромбозов. Имеется риск развития почечной и печёночной недостаточности, нарушений дыхания.
Аспергиллёз наружного слухового прохода (отомикоз) вызывает зуд и, иногда, болевые ощущения. Жидкость, вытекающая из уха ночью, может оставлять влажные пятна на подушке. Аспергиллома околоносовых пазух вызывает чувство заложенности и тупые боли, при инвазивной форме развиваются лихорадка, изъязвление и некроз слизистой с носовыми кровотечениями.
В дополнение к клинической картине, рентгенография или КТ области интереса могут подсказать верный диагноз. Окончательно диагноз подтверждается лабораторным исследованием инфицированного материала.
Факторы, предрасполагающие к заражению аспергиллёзом
- бронхиальную астму,
- туберкулёз,
- эмфизему лёгкого,
- саркоидоз,
- гистоплазмоз,
- абсцесс лёгкого,
- ожоги и травмы лёгких,
- опухоли,
- бронхоэктатическую болезнь.
Также вероятность заражения аспергиллёзом лёгких повышается при системных патологиях, снижающих иммунитет, таких как СПИД, сахарный диабет, апластическая анемия, муковисцидоз. Сопротивляемость организма падает при курении, длительном приёме антибиотиков, цитостатиков и гормональных препаратов, частом употреблении алкоголя, после хирургических операций. Заболевание может развиться у людей с врождёнными нарушениями иммунной системы.
На улице микроорганизмы встречаются в земле, гниющей траве, водоемах. В помещениях колоний больше. Они живут в мебели и под обоями. Их легко активизировать во время ремонта или при перестановке старой мебели.
Среди предметов обихода повышенную опасность представляют ветхие книги, одежда и постельные принадлежности, а также кондиционеры и увлажнители воздуха. В этот список попадают и горшки с комнатными растениями. Изредка грибки обнаруживаются в продуктах питания. Особенно это касается несвежих овощей и сыпучих продуктов: круп, муки, чая и др.
Аспергилл чёрный, или Aspergillus niger, вызывает множество обсуждений среди ученых и медицинских работников. Многие отмечают его важность в промышленности, где он используется для производства ферментов и органических кислот, таких как лимонная кислота. Однако, несмотря на его полезные свойства, этот гриб также вызывает беспокойство из-за своей способности производить афлатоксины, токсичные вещества, которые могут негативно влиять на здоровье человека и животных. Люди, работающие в сельском хозяйстве, выражают опасения по поводу заражения культур, что может привести к значительным экономическим потерям. В то же время, в научных кругах активно исследуются методы борьбы с этим грибом и его токсинами, что подчеркивает важность баланса между его полезными и вредными свойствами.
Как выявить заболевание
Точная диагностика заболевания осуществляется только врачом в медицинском учреждении
Для постановки диагноза важное значение имеет клиническая картина заболевания, его анамнез (то есть род деятельности человека, наличие факторов, способствующих снижению иммунитета, продолжительность заболевания). Потребуются лабораторные мероприятия, в первую очередь, это исследование мокроты, отделяемой при кашке (анализ на выявление возбудителя)
Необходимо сделать анализ крови на содержание антител к грибку – возбудителя, общий анализ для выявления воспалительного процесса (при наличии воспаления возрастает СОЭ). Потребуется ряд инструментальных исследований, таких как КТ, рентген внутренних органов для определения степени их поражения.
Классификация
В зависимости от места локализации патологического процесса, выделяют несколько форм патологии:
- Бронхолегочный аспергиллез характеризуется поражением органов дыхания (бронхи, легкие), характеризуется интенсивным развитием, возможностью возникновения вторичных патологий (таких как воспаление легких);
- Некротический бронхопульмональный аспергиллез – форма, при которой поражаются не только органы дыхания, но и весь организм в целом. Возбудитель локализуется в лимфатических узлах организма, нарушая их функциональность, и, тем самым, еще более снижая иммунитет;
- Септическая форма. Возбудитель, попадая в кровоток, распространяется по всему организму, поражая все его органы и ткани. Данная форма считается наиболее опасной, плохо поддающейся лечению. Наиболее неблагоприятная ситуация возникает в том случае, если имеет место поражение головного мозга;
- Аспергиллез, поражающий ЛОР – органы. НА начальном этапе патологический процесс охватывает область среднего уха, носоглотку. С течением времени возбудитель проникает и в другие органы и системы. Развивается генерализированная форма патологии;
- Аллергический аспергиллез наблюдается, в основном, у рабочих вредных производств, у людей, склонных к развитию аллергических реакций, вынужденных по долгу службы контактировать с веществами – раздражителями. Возбудитель поражает дыхательную систему, провоцируя развитие дыхательной аллергии, возникновение сопутствующих заболеваний (например, астмы);
- Фиброзная гранулема – редкая форма заболевания. Встречается в жарких и влажных тропических регионах. Считается весьма опасной, так как при тяжелом течении возможно поражение костей черепа, когда костная ткань замещается фиброзной.
Симптомы острого инвазивного аспергиллеза
Острый инвазивный (септицемический) аспергиллез возникает у больных с первичными иммуодефицитными заболеваниями, либо с заболеваниями, обуславливающими вторичный иммунодефицит (вторичная иммунологическая недостаточность), возникший на фоне таких заболеваний, как саркоидоз, лейкемия, при лечении иммунодепрессантами и др. Лихорадка, повторные ознобы, кашель с вязкой мокротой, содержащей зеленовато-серые комочки, одышка, боли в груди, потеря аппетита и истощение — основные признаки и симптомы инвазивного (септицемического) аспергиллеза. Заболевание протекает тяжело и быстро. Инфекционный процесс часто распространяется на соседние структуры, аспергиллы с кровью разносятся по всему организму, поражая органы и ткани, что заканчивается гибелью больного.
Рис. 6. Этапы развития инвазивного аспергиллеза легких. В течение 7 дней формируется полостное образование.
Рис. 7. На фото скопления спор и гиф гриба Аспергилл в исследуемом материале.
Рис. 8. Гифы гриба в мокроте больного.
Рис. 9. Культура аспергилл выделяется из отделяемого из носа, мокроты, крови, бронхоальвеолярной жидкости и др. На фото слева культура гриба Aspergillus fumigatus, справа Aspergillus niger.
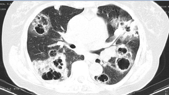
Рис. 10. КТ. Инвазивный острый аспергиллез легких. Множественные участки инфильтрации и полосные образования в легком.
Pathogenicity
Plant disease

Aspergillus niger causes black mold of onions and ornamental plants. Infection of onion seedlings by A. niger can become systemic, manifesting only when conditions are conducive. A. niger causes a common postharvest disease of onions, in which the black conidia can be observed between the scales of the bulb. The fungus also causes disease in peanuts and in grapes.
Human and animal disease
Aspergillus niger is less likely to cause human disease than some other Aspergillus species. In extremely rare instances, humans may become ill, but this is due to a serious lung disease, , that can occur. Aspergillosis is, in particular, frequent among workers who inhale dust, which can be rich in Aspergillus spores. It has been found in the mummies of ancient Egyptian tombs and can be inhaled when they are disturbed.
Aspergillus niger is one of the most common causes of (fungal ear infections), which can cause pain, temporary hearing loss, and, only in severe cases, damage to the and .

Причины и факторы риска
https://youtube.com/watch?v=GX0XrhJip1Y
Существует несколько разновидностей аспергилл. Заболевание вызывает чаще всего А. fumigates, реже А. niger, A. flavus, A. nidulans, A. terreus, A. clavatus. Все эти грибки могут быть устойчивы к амфотерицину В, чувствительность к вориконазолу чаще сохраняется. Кроме того, А. niger и A. clavatus провоцируют развитие аллергии.
При попадании спор грибка в бронхи здорового человека заболевание не развивается.
Причины развития аспергиллеза:
- Бронхиальная астма и муковисцидоз, при которых мокрота становится вязкой, в сочетании с аллергической реакцией на аспергиллы.
- Генетическая предрасположенность, обусловленная наличием HLA-DR2.
- ХОБЛ, альвеолит и перенесенная операция на грудной клетке в сочетании со сниженным иммунитетом, что вызвано длительным приемом глюкокортикостероидов, алкоголизмом, системными заболеваниями соединительной ткани или гранулематозом Вегенера.
- Ослабленный иммунитет, связанный со снижением числа нейтрофильных лейкоцитов в крови и лечением глюкокортикостероидами. Это пациенты, перенесшие трансплантацию органов, получавшие химиотерапию по поводу злокачественных болезней крови (лейкозов, лимфом), дети с хроническим гранулематозом, а также пациенты с ВИЧ-инфекцией на поздней стадии.
- Поражаются лица, страдающие атопической бронхиальной астмой или муковисцидозом (аллергический бронхолегочный аспергиллез встречается у 10% больных муковисцидозом и у 1-2% больных бронхиальной астмой).
- Наиболее частый бронхолегочный микоз у человека
- Симптомы аллергического бронхолегочного аспергиллеза — это аллергическая реакция на споры грибов Aspergillus, сопровождающаяся закупоркой бронхов слизью.
- Болеют лица молодого возраста (20—40 лет), женщины несколько чаще мужчин
- Аллергическая реакция I или III типа с гиперреактивностью бронхов и окружающей их легочной паренхимы при аллергическом бронхолегочном аспергиллезе
- Образование кистовидных и мешотчатых бронхоэктазов.
Классификация заболевания
Аспергиллёз лёгких подразделяется на следующие виды:
- острый инвазивный аспергиллёз,
- хронический некротический аспергиллёз,
- аллергический бронхолёгочный аспергиллёз,
- инвазивный аспергиллёзный трахеобронхит,
- язвенный аспергиллёзный трахеобронхит,
- псевдомембранный аспергиллёзный трахеобронхит.
Разделение патологии на аспергиллёз лёгких и трахеобронхиального дерева является условным, потому что обычно заболевание затрагивает всю дыхательную систему. Возбудитель чаще поражает периферические участки лёгких. Трахеобронхиальное дерево является входными воротами для грибковой инфекции.
Особое положение занимает диссеминированный аспергиллёз, развивающийся при иммунодефицитах. Острая и хроническая формы болезни требуют различных методов диагностики и лечения.
Выделяют четыре клинические формы болезни. Они отличаются симптоматикой и особенностями развития. Каждая требует особой диагностики и лечения и несет определенную опасность для организма.
Возникает при проникновении грибков через эпителиальные ткани дыхательных путей. Распространен среди больных с пониженным иммунитетом. В последнее время отмечаются случаи заболеваемости среди лиц, не входящих в группу риска: пациентов и персонала больниц. На ранних этапах очаги представляют собой небольшие уплотнения на плевре, связанные с сосудами. Постепенно они превращаются в полости, наполненные гноем. Процесс вызывает отмирание тканей.
Аспергиллома
Иначе называется «грибной шар». Представляет собой массу из аспергилл. Колонии разрастаются в полостях, сформированных другими заболеваниями: туберкулезом, раком, пневмонией и др. Болезнь не зависит от иммунного статуса пациента. В 10% случаев все симптомы пропадают бесследно даже при отсутствии лечения.
Диагностируется у больных с предрасположенностью к аллергии. Нередко выявляется аллергический аспергиллез легких у детей с нарушениями иммунной системы. Реакция возникает на грибы и продукты их жизнедеятельности. Разрушение тканей не отмечается. Болезнь протекает хронически, периоды ремиссии сменяются обострениями.
Методы лечения
Противогрибковые триазолы – это большая группа лекарств в которую входят Вориконазол, Итраконазол, Равуконазол, Позаконазол и др. Выбор препарата должен проводить лечащий врач, ориентируясь на тяжесть заболевания, его форму и наличие сопутствующих патологий. Триазолы подавляют синтез эргостерола – структурного элемента клеточной мембраны аспергилл, что приводит к гибели клеток.
Амфотерицин В – макролидный антибиотик, который воздействует на грибы, связываясь с эргостеролом. Также препарат вызывает каскад оксидативных реакций, разрушающих клетки возбудителя. Амфотерицин В применяется в виде внутривенных инъекций. Основным недостатком препарата являются тяжелые побочные реакции, такие как бронхоспазм, головная боль, тошнота, рвота.
Также при аспергиллёзе применяются эхинокандины – Каспофунгин, Микафунгин и Анидулафунгин. Эти препараты ингибируют синтез полисахаридов клеточной стенки возбудителя, отвечающих за поддержание формы и прочности клетки. Вводятся лекарства только внутривенно и могут использоваться в сочетании с другими противогрибковыми средствами.
Хирургическое лечение проводится при локальных инвазивных формах аспергиллёза лёгких. Выделяют три основных показания для вмешательства:
- угроза нарушения целостности стенок лёгочной артерии,
- необходимость снижения объёма грибных масс перед трансплантацией костного мозга или химиотерапией,
- проведение открытой биопсии лёгкого для подтверждения диагноза.
Лёгочные кровотечения выступают причиной смерти больных с нейтропенией в 10-15% случаев. В период, когда иммунитет снижен аспергиллы разрастаются в бронхах и проникают в мелкие сосуды, вызывая локальные кровоизлияния. Когда функция костного мозга восстанавливается, возрастает содержание фагоцитов в тканях. Лейкоциты атакуют клетки возбудителя с помощью протеолитических ферментов. При этом разрушаются участки лёгочной ткани.
Для больных аспергиллёзом наиболее опасен период восстановления количества и активности гранулоцитов. Хирургическое вмешательство снижает риск осложнений после трансплантации костного мозга, особенно если удаётся ограничиться удалением одной или двух долей лёгкого.
Аллергический аспергиллёз часто путают с резистентной к терапии бронхиальной астмой или туберкулёзом. Отсутствие правильного лечения приводит к развитию тяжёлых форм заболевания. У больного развивается множество бронхоэктазов, пневмофиброз, нарушается функция внешнего дыхания.
На втором этапе лечения вводятся противогрибковые препараты. Целью их назначения является удаление возбудителя из дыхательных путей больного, где аспергиллы выступают постоянным источником антигенов. При аллергическом аспергиллёзе чаще всего используется Итраконазол. Другие лекарственные средства применяются в единичных случаях.
Длительность лечения варьирует от 1 до 8 месяцев. Правильно подобранная терапия помогает добиться стойкой ремиссии. После выздоровления пациентам рекомендуется периодически проходить обследование, включающее определение содержания IgE в крови и диагностику состояния дыхательной системы. Это поможет своевременно выявить рецидив болезни.
https://youtube.com/watch?v=hIEYcKmXTAc
Industrial uses
Aspergillus niger is cultured for the industrial production of many substances. Various strains of A. niger are used in the industrial preparation of (E330) and (E574), and have been assessed as acceptable for daily intake by the .A. niger fermentation is «generally recognized as safe» () by the United States under the .
Many useful are produced using industrial fermentation of A. niger. For example, A. niger () is used in the production of , and () are used in cider and . (), an enzyme that breaks down certain complex sugars, is a component of and other products that decrease . Another use for A. niger within the biotechnology industry is in the production of magnetic isotope-containing variants of biological for analysis.Aspergillus niger is also cultured for the extraction of the enzyme, (), used in the design of glucose , due to its high affinity for .
Aspergillus niger growing from gold-mining solution contained cyano-metal complexes, such as gold, silver, copper, iron, and zinc. The fungus also plays a role in the solubilization of heavy-metal sulfides. Alkali-treated A. niger binds to silver to 10% of dry weight. Silver biosorbtion occurs by stoichiometric exchange with Ca(II) and Mg(II) of the sorbent.
Вопрос-ответ
Что такое аспергилл чёрный и где он встречается?
Аспергилл чёрный (Aspergillus niger) — это гриб, который часто встречается в природе, особенно в почве, на растительных остатках и в продуктах питания. Он известен своим характерным черным цветом и может вызывать порчу продуктов, таких как фрукты и овощи.
Как аспергилл чёрный влияет на здоровье человека?
Аспергилл чёрный может вызывать аллергические реакции и инфекции, особенно у людей с ослабленной иммунной системой. Вдыхание спор этого гриба может привести к респираторным заболеваниям, таким как аспергиллез, который требует медицинского вмешательства.
Какие меры предосторожности можно предпринять для предотвращения заражения аспергиллом чёрным?
Для предотвращения заражения аспергиллом чёрным рекомендуется хранить продукты в сухом и прохладном месте, избегать повреждения упаковки и следить за сроками годности. Также важно поддерживать чистоту в помещениях, особенно в местах, где могут скапливаться органические остатки.
Советы
СОВЕТ №1
Изучите информацию о аспергилле чёрном и его потенциальных рисках для здоровья. Понимание того, как этот гриб может влиять на организм, поможет вам принимать более обоснованные решения о профилактике и лечении.
СОВЕТ №2
Обеспечьте правильную вентиляцию в помещениях, особенно в сырых и тёплых местах, чтобы предотвратить рост плесени, включая аспергилл чёрный. Регулярно проветривайте комнаты и используйте осушители воздуха при необходимости.
СОВЕТ №3
Если вы заметили признаки плесени в вашем доме, не откладывайте её удаление. Используйте специальные средства для удаления плесени или обратитесь к профессионалам, чтобы минимизировать риски для здоровья.
СОВЕТ №4
Если у вас есть ослабленная иммунная система или хронические заболевания, проконсультируйтесь с врачом о возможных рисках, связанных с аспергиллом чёрным. Это поможет вам принять необходимые меры предосторожности.










