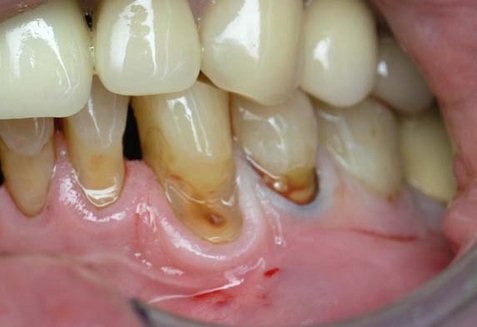
Клиновидный дефект – это V-образное поражение твёрдых зубных тканей с наружной стороны, которое чаще всего встречается у пациентов пожилого и среднего возраста. Патология этого заболевания встречается как в единичном, так и во множественном проявлении, как правило, на фронтальных симметричных зубах (клыки), либо на премолярах (малый коренной зуб). Локализируется клиновидный дефект на щёчных и губных поверхностях зубов в пришеечной области, а по форме он похож на треугольник, направленный своей вершиной в сторону полости зуба.
Диагностирование клиновидного дефекта
Клиновидный дефект возможно диагностировать двумя способами:
Клиновидный дефект необходимо дифференцировать не только от кариеса, но и от эрозии зуба.
Клиновидный дефект зубов вызывает значительное беспокойство у стоматологов. Врачи отмечают, что это заболевание чаще всего связано с неправильной техникой чистки зубов, а также с воздействием неблагоприятных факторов, таких как стресс и неправильное питание. Специалисты подчеркивают, что ранняя диагностика и профилактика играют ключевую роль в предотвращении дальнейшего разрушения зубной эмали. Врачи рекомендуют регулярные профилактические осмотры и использование средств, укрепляющих эмаль. Кроме того, важно обучать пациентов правильной гигиене полости рта, чтобы минимизировать риск возникновения клиновидных дефектов. Своевременное обращение к стоматологу поможет избежать серьезных осложнений и сохранить здоровье зубов на долгие годы.
https://youtube.com/watch?v=DOkIrggwqtw
Этиология возникновения клиновидного дефекта
Ученые мужи от стоматологии до сих пор «ломают копья» об истинной причине, которая провоцирует клиновидный дефект зубов. Постараемся рассмотреть три основные теории возникновения V – образного изменения. В любом случае, каждая из этих теорий имеет право на существование и, самое интересное – каждая из них может привести к развитию дефекта.
Клиническая картина
Клиновидный дефект характеризуется блестящими, гладкими стенками. Сквозь ткани может просвечиваться пульпа, которая никогда не вскрывается. На ранних стадиях он выглядит в виде трещины или ссадины, которая расширяется и начинает походить на клин. Твердое дно, ровное дно и полированные стенки – одна из характеристик этого заболевания. При этом наблюдается обнажение шейки зуба. Клиновидный дефект, как правило, не сопровождается болями, т.к. процесс течет достаточно медленно и отложения заместительного дентина успевают предотвратить возникновение болевого эффекта. При запущенных формах заболевания возникает риск отлома зубной коронки. Пациенты чаще всего обращаются к врачу из-за эстетической проблемы, которая видна при улыбке.
Для исправления прикуса выберите брекеты на брекеты.рф
Клиновидный дефект зубов — это проблема, с которой сталкиваются многие люди, и мнения о ней весьма разнообразны. Некоторые пациенты отмечают, что этот дефект вызывает не только эстетические, но и функциональные неудобства. Они жалуются на повышенную чувствительность зубов к холодному и горячему, что делает употребление пищи менее комфортным. В то же время, другие считают, что клиновидный дефект не является серьезной проблемой, если он не вызывает боли. Многие обращаются к стоматологам за советом, как предотвратить дальнейшее развитие дефекта. Врачи рекомендуют регулярные осмотры и соблюдение гигиенических норм, чтобы избежать осложнений. В целом, общественное мнение о клиновидном дефекте зубов варьируется от легкомысленного отношения до серьезной озабоченности, что подчеркивает важность информированности и профилактики.
https://youtube.com/watch?v=NWdbSqVNA4U
Лечение клиновидного дефекта
Лечение клиновидного дефекта на ранних стадиях сопряжено с устранением травмирующих факторов. Для этого производится исключение абразивных паст и порошков и жестких щёток. Опытные врачи-стоматологи, в большей своей массе, уже определились с точкой зрения на то, что прежде чем начинать лечение клиновидного дефекта, необходим полный анализ окклюзии. Врач-гнатолог после обнаружения травмирующих факторов проведет оптимизацию прикуса, тем самым устранив основной фактор возникновения заболевания.
Способы лечения клиновидного дефекта
В заключении необходимо обратить внимание на то, что все способы и методы лечения клиновидного дефекта, перечисленные выше, применяются в каждом отдельном случае после тщательного изучения проблемы вашим стоматологом. Лечение клиновидного дефекта – достаточно индивидуальный, долговременный и трудоемкий процесс. В этом случае необходимо понимание со стороны пациента, а уж профессиональный стоматолог сделает все возможное, чтобы вернуть вам радость открытой и светлой улыбки.
Вопрос-ответ
https://youtube.com/watch?v=rHtwEh3KFJY
Что такое клиновидный дефект зубов?
Клиновидный дефект зубов — это форма повреждения эмали и дентина, характеризующаяся образованием углублений или выемок в области шейки зуба. Обычно он возникает из-за механического воздействия, неправильной гигиены полости рта или кислотного воздействия, что приводит к истончению тканей зуба.
Какие причины могут привести к образованию клиновидного дефекта?
Основными причинами клиновидного дефекта являются неправильная техника чистки зубов, использование жесткой зубной щетки, а также воздействие кислот, содержащихся в некоторых продуктах питания и напитках. Также на развитие дефекта могут влиять генетические факторы и бруксизм (скрежетание зубами).
Как лечится клиновидный дефект зубов?
Лечение клиновидного дефекта зависит от его степени. В легких случаях может быть достаточно применения фторсодержащих препаратов и реминерализующей терапии. В более серьезных ситуациях может потребоваться пломбирование или использование коронок для восстановления формы зуба и защиты его от дальнейшего разрушения.
Советы
СОВЕТ №1
Регулярно посещайте стоматолога для профилактических осмотров. Это поможет выявить клиновидные дефекты на ранних стадиях и предотвратить их дальнейшее развитие.
СОВЕТ №2
Обратите внимание на свою гигиену полости рта. Используйте зубную пасту с фтором и чистите зубы не менее двух раз в день, чтобы укрепить эмаль и снизить риск возникновения дефектов.
СОВЕТ №3
Избегайте чрезмерного употребления кислых и сладких продуктов, которые могут способствовать эрозии зубной эмали. Если вы не можете отказаться от таких продуктов, старайтесь полоскать рот водой после их употребления.
СОВЕТ №4
Если вы замечаете изменения в состоянии зубов, такие как чувствительность или изменение цвета, не откладывайте визит к стоматологу. Чем раньше будет начато лечение, тем легче будет справиться с проблемой.

