Завершающим этапом коррекции зубного ряда и прикуса является ретенционный период. Функция ретейнеров — закрепить достигнутый результат и не позволить зубам принять привычное искривленное положение. В этой статье мы рассмотрим вопросы: что такое ретейнеры, какие разновидности бывают, как долго нужно носить корректирующий аппарат и многое другое.
Зачем ставят эти конструкции?
Брекеты смещают зубы в желаемом направлении, однако это воздействие не ограничивается простой коррекцией. Данная процедура сопровождается переустройством сосудов, связок.
На том участке, куда перемещается зуб, рассасывается костная ткань, на противоположном – совершается процесс её образования.
И если мышцы быстро приспосабливаются и меняют принцип своей работы, то формирование костей происходит долго. Поэтому уровень подвижности зубов сохраняется, и требуется вспомогательная фиксация, пока не образуется слой новой ткани.
Ретейнеры устанавливают, чтобы удерживать зубы от смещения, когда организм привыкает к непривычной позиции. Для этого требуется немало усилий, следовательно, закрепляющее устройство должно быть максимально жёстким.
Отказ от использования специальных аппаратов приводит к тому, что природа берёт своё, и зубы быстро возвращаются на прежние места. Таким образом, сводится к нулю результат длительного лечения.
Что может влиять на стоимость?
Есть несколько составляющих стоимости, которые необходимо учитывать в каждом случае.
- Разновидность конструкции.
- Себестоимость материалов для изготовления.
- Использование на одной или двух челюстях.
- Дополнительные услуги (лечение, подготовка, санация и прочее).
- Статус и ценовая политика клиники.
- Регион, в котором осуществляется лечение.
Виды
Ретейнеры подразделяют на съёмные и несъёмные.
Съёмные
Съёмные системы бывают двухчелюстные и одночелюстные.
Одночелюстные
Представляют собой проволочные дуги на жёсткой основе, повторяющие форму дёсен, зубов, или эластичный чехол, изготавливающийся из биополимера, иногда оснащающийся металлической дугой.
Аппараты устанавливаются на весь зубной ряд, только на одну челюсть. Носят их постоянно или периодически.
Некоторые рекомендованы для детей и способны скорректировать форму челюстей, ускорить или замедлить их рост, изменить расположение резцов, сузить либо расширить форму нёба.
Другие предпочтительней использовать только взрослым людям, с уже сформировавшейся костно-мышечной системой. Жёсткие устройства благоприятствуют оптимальному размещению ряда зубов.
Двухчелюстные
В основном, это силиконовые изделия, соединяющие между собой две капы. Их удобнее надевать только на период ночного сна.
Конструкции одновременно фиксируют верхний и нижний ряды, улучшают смыкание челюстей, снижают нагрузки с челюстно-височного сустава, благоприятствуют наилучшему действию жевательных мышц.
Задача устройства – устранить причины возникновения несовершенств прикуса: исключить дыхание ртом, придать верное положение языку, натренировать мышцы, скорректировать челюстные аномалии и речевые.
Изделия могут быть универсальными либо изготовленными на основе слепков с челюстей пациента. Применяется также компьютерное моделирование.
У съёмных ретейнеров имеются свои преимущества:
- их легко закрепить и удалить самостоятельно;
- уход не составляет трудностей;
- они не мешают выполнять гигиенические процедуры;
- фиксируют весь зубной ряд (или оба).
Однако устройства не лишены недостатков:
- длительный период привыкания;
- в первое время – обильное слюноотделение;
- кратковременное нарушение дикции;
- раздражение пародонта;
- возможна аллергическая реакция;
- недостаточно эстетичный вид (видны на зубах).
Несъёмные
Металлическое устройство имеет размер меньший, чем брекеты. Крепится на внутренней части зубов клеем либо размещается в ранее образованной бороздке, прикрывается стоматологическим материалом. Таким образом, повышается надёжность системы, края закругляются.
Несъемные ретейнеры тоже разнообразны:
- Стальные проволочные изделия представляют собой отрезок проволоки (диаметр – 0,6 мм.), к обоим концам которого приварена сетчатая подложка, повторяющая форму зуба, помогающая зафиксировать ретейнер на лингвальной стороне.
- Витые приспособления выполнены из туго скрученной стальной проволоки (диаметр – 0,81 мм). Такая спираль способствует фиксации без применения петель. При разрезании или разрыве ретейнер не расплетается.
- Стандартные фиксаторы – это лингвальные аппараты. Для нижней челюсти — имеют площадки для клыков, для верхней — оснащены площадками для всех зубов.
- Ретейнеры изготавливают также из волоконного материала. В композит встраиваются армирующие дуги из волокон: стекловолокна, углеродного, полиамидного, полиэтиленового. Система прочна, эксплуатируется долго. Для установки надлежит выполнить препарирование эмали.
Преимущества несъёмных аппаратов:
- быстрое привыкание (неделя);
- безопасность;
- сохранение дикции;
- круглосуточное корректирующее воздействие;
- эстетичность (аппарат незаметен окружающим).
Недостатки:
- более высокая стоимость;
- сложности в уходе;
- необходимость постоянного контроля;
- риск отклеивания.
Комбинированные устройства
Порой возникает необходимость в комбинированных устройствах, сочетающих разные типы ретейнеров. Зависит это от особенностей патологии, эффективности лечения брекетами.
На верхнюю и нижнюю челюсти устанавливаются разные типы приспособлений. Также результативна поочерёдная смена: в начале ретенционного периода корректировка производится при помощи системы длительного срока ношения, затем надеваются капы.
Преимущества комбинирования устройств:
- комплексное воздействие, увеличивающее эффективность лечения;
- абсолютное устранение подвижности зубов;
- возможность сокращения срока эксплуатации несъёмных фиксаторов;
Существенное несовершенство системы – это неудобства, создающиеся при одновременном ношении разных типов аппаратов. Кроме того, на гигиенические процедуры тратится больше времени.
Какие есть плюсы и минусы
| Достоинства | Недостатки |
| Несъемные ретейнеры | |
|
|
| Съемные системы | |
|
|
Что выбрать?
При выборе между капами и ретейнерами следует учитывать многие особенности. Установка ретейнера осуществляется не только с учётом пожеланий пациента.
Это обусловлено множеством факторов:
- своеобразием устройства челюстного аппарата;
- спецификой возраста;
- видами аномалий;
- первоначальным расположением зубов;
- ходом предварительной терапии.
При глубоких нарушениях ношение капы неэффективно и требуется использование несъёмных ретейнеров.
Однако применение проволочных фиксаторов не предотвращает микроперемещения. Если пациент стремится закрыть межзубные щели, только капа позволит избежать рецидива.
Все конструкции способствуют стабилизации формы зубного ряда. Но при лечении аномалии прикуса наиболее эффективна эксплуатация двухчелюстной капы.
В каждом конкретном случае выбирать тип ретейнера должен врач.
Изготовление
Ортодонтические конструкции изготавливаются по индивидуальным слепкам, снятым с пациентов. Процесс создания модели занимает от 2 до 7 дней.
Этапы изготовления ортодонтического изделия:
- снятие оттиска;
- изготовление и 3d сканирование модели;
- 3d печать челюсти;
- создание на пресс формере прозрачной каппы.
Есть и стандартные ретейнеры в виде пластин, которые при фиксации подгоняют под челюсть пациента. Но такой метод уступает по эффективности индивидуальному подходу.
Принцип действия
В отличие от брекет-системы, позволяющей двигать зубы в заданном направлении, ретейнеры – это пассивные фиксаторы, они, напротив, предотвращают микропередвижения, обеспечивая неподвижность.
Ретейнеры изменяют нагрузку на зубочелюстные мышцы и височный нижнечелюстной сустав, которые приспосабливаются к непривычным условиям гораздо медленнее.
Несъёмные системы стабилизируют ту часть зубов, которая требует особого внимания, но появляется риск смещения остальных. Капы воздействуют на челюсть целиком, они не позволяют сдвигаться всему ряду.
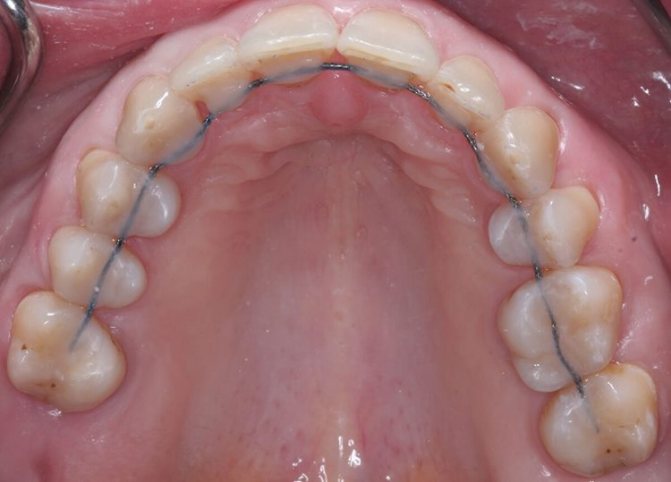
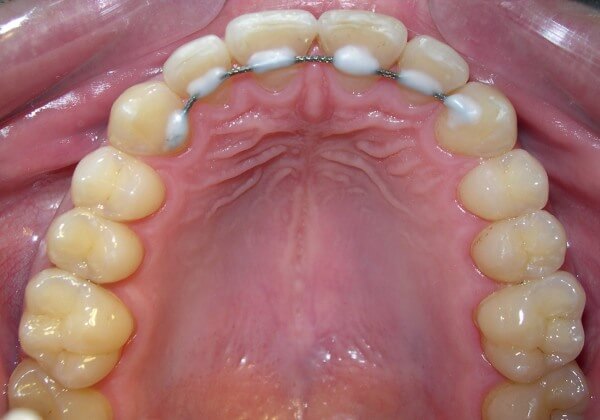
Несъемные ретейнеры
Несъемный ретейнер — это проволочная дуга из медицинской стали, которая крепится к внутренней стороне зубов специальным составом. Этот вид ретейнеров используется чаще всего, так как они абсолютно незаметны, не ощущаются во рту и не окисляются. Несъемные ретейнеры могут отклеиваться из-за механического воздействия, например, пережевывания твердой пищи. В этом случае нужно сразу посетить ортодонта и вернуть ретейнер на место, чтобы не допустить смещения зубов.
Установка
Установку устройства следует доверить исключительно специалисту, который подберёт подходящий тип ортодонтической системы. Процедура безопасна, производится она тотчас после снятия брекетов. Место крепления выбирается путём анализа эффекта, полученного от лечения, и определения идеального расположения зубов.
Установка несъемных систем
Помещают несъёмную систему чаще всего на 6 передних зубов, только на нижнюю челюсть.
Недопустима фиксация проволокой фронтальных верхних зубов.
Это сказывается на здоровье, так как происходит блокировка микродвижений черепа, что затрудняет осуществление первичного дыхательного механизма.
Именно микродвижения костей черепа, необходимые для полноценного функционирования ЦНС, – причина разрыва проволочных плетений.
Установка ретейнеров предваряется тщательной подготовкой: устранением воспалений дёсен, кариеса, удалением налёта, камня, клеящего состава, оставшегося после брекетов.
Возможны реставрация, отбеливание, однако эти процедуры необязательны, их можно без ограничений осуществить позже.
Существенное требование для полноценной фиксации системы – абсолютно чистая поверхность эмали, иначе слишком высок риск отклеивания проволочного устройства.
Прямая установка материала производится на поверхность, предварительно обработанную сцепляющей массой. Проволока крепится с помощью клея.
Для непрямого способа делается слепок челюсти. Конструкция изгибается по форме рабочей модели, устанавливается на неё с использованием воска. Чтобы перенести заготовку в ротовую полость клиента, делают силиконовый ключ, впоследствии удаляющийся.
Заключительный этап – шлифовка, полировка фиксирующего материала.
Съемные конструкции
Если предполагалось удаление зуба, рекомендуются съёмные конструкции, препятствующие смещению всего ряда, образованию щелей.
Установка их проста: они надеваются на челюсть (либо на обе) незначительным нажатием, первоначально под контролем врача и с учётом его рекомендаций. Далее пациент выполняет все действия самостоятельно.
Можно ли убрать проволоку самому
Еще один популярный вопрос по поводу ретенционного периода связан с тем, как снимают проволочную конструкцию и можно ли это делать самостоятельно. Сразу нужно оговориться, что сделать это может только специалист в условиях клиники, и он же определяет длительность ношения конструкции, а также целесообразность ее замены на другой тип корректирующего устройства. Процедура снятия занимает 10-15 минут. Сначала врач аккуратно обрезает проволоку с помощью специального инструмента, после чего отклеивает фиксирующие элементы. С эмали удаляют остатки полимерного состава и полируют очищенную поверхность. Самостоятельно снимать фиксаторы нельзя, поскольку можно серьезно травмировать эмаль.
Какие проблемы возникают?
Сразу после установки несъёмной конструкции возникает ощущение неудобства, которое с течением времени проходит.
Когда дискомфорт продолжается длительный срок или появляется в процессе ношения, это свидетельствует о деформации ретейнера либо о нарушении его фиксации, поэтому надо сразу обратиться к ортодонту.
Если поломка незначительна, полностью менять систему не придётся, а в период ремонта врач порекомендует носить пластинку или капу. Игнорировать поход к врачу не следует, возможно, перемещение зубного ряда.
Раскрываем завесу тайны: сколько нужно носить ретейнер и какой лучше выбрать
Ношение брекет-системы – это не последняя стадия ортодонтического лечения. После снятия корректирующего аппарата наступает так называемый ретенционный период. Это значит, что врач назначает ретейнеры, которые необходимы для закрепления достигнутых результатов. Для этого может быть установлена особая несъемная конструкция или, к примеру, прописаны специальные каппы. Подробнее о том, что такое ретейнеры, зачем они нужны, для чего их ставят после брекетов и сколько по времени их нужно носить, читайте далее в статье.
Сколько времени носить?
Период лечения определяет ортодонт, чаще всего – это удвоенное время ношения брекетов. Встречаются случаи непродолжительного применения фиксирующих систем или пожизненного.
Длительность определяется несколькими факторами:
- видом дефектов;
- возрастом;
- положением зубов до фиксации;
- продолжительностью лечения брекетами;
- фактом удаления зубов;
- имеющимися вредными привычками;
- силой смещения ряда;
- своеобразием пародонта;
- болезнями ротовой полости.
Отвыкание от ретейнеров должно быть постепенным. Ношение в ночное и дневное время сменяется закреплением их только в период сна, затем – через ночь.
Как долго придется носить конструкцию
Чаще всего пациентов волнует вопрос касательно того, как долго обычно носят подобные конструкции. Дать однозначный ответ по этому поводу довольно сложно. Длительность ретенционного периода определяется только после снятия предыдущей конструкции. Так, к примеру, каппу или пластинку придется носить не меньше двух сроков ношения брекетов. Несъемные проволочные ретейнеры часто фиксируют и вовсе пожизненно. Здесь все очень индивидуально, и определить продолжительность завершающего этапа лечения может только врач-ортодонт.
Уход и гигиена полости рта
Разные типы ретейнеров требуют своеобразного ухода.
Для несъёмных устройств — особые условия:
- очистка зубов дважды в день мягкой щёткой, чтобы избежать повреждений, нарушения фиксации (нельзя пользоваться зубочистками);
- применение суперфлосса (нити зубной);
- ополаскивание полости рта фторсодержащей жидкостью для удаления остатков пищи;
- проверка целостности аппарата, прочности фиксации;
- употребление мягких продуктов: так снизится нагрузка, уменьшится риск повреждений.
Для съемных устройств, иные рекомендации:
- приспособление следует промывать водой с мылом, а дважды в день помещать в дезинфицирующий раствор;
- перед едой устройство необходимо снимать, иначе возможны поломки, быстрое изнашивание;
- употребление напитков с красителями, курение, приводят к изменению цвета материала;
- вреден контакт конструкции с горячей водой, так как возможна деформация;
- перед использованием ретейнер нужно ополоснуть водой;
- после эксплуатации ночью система должна быть обработана раствором хлоргексидина (0,05%), противопоказано применение агрессивных средств, например, перекиси водорода;
- чистка зубной пастой исключается, рекомендуются для этого порошки: для протезов или Retainer Brite;
- перегибы могут стать причиной возникновения трещин;
- приобретение специального футляра позволит сохранять приспособление в чистоте.
Кроме вышеназванных рекомендаций, использование любого типа ретейнеров предполагает постоянное наблюдение у специалиста, регулярную (дважды в год) чистку от камней, налёта.
Игнорирование правил гигиены приводит к возникновению воспалений, кровоточивости дёсен, неприятного запаха, образованию твёрдых отложений.
Модели
Конструкция несъёмных ретенционных аппаратов классическая в виде дуги, что может меняться, так это материал, из которого производится изготовление.
Съёмные же изделия представлены в ассортименте:
- Трейнеры представляют собой цельнолитое изделие, фиксируемое в полость рта сразу на обе челюсти. Конструкция предназначена для применения в ночные часы (во время сна). В качестве материала используется гипоаллергенный силикон. Изготавливаются ретенционные аппараты по стандартным шаблонам в нескольких размерах.
- Ретенционные капы бывают стандартными, термопластичными и индивидуальными. Изготавливаются из медицинских полимерных материалов. Отличаются быстрой адаптацией и простым уходом. Снимать нужно только во время приёма пищи и для выполнения гигиены. Капы рекомендованы для ношения на этапе отвыкания от ретейнеров и при незначительных проблемах с прикусом после снятия брекетов.
- Ретенционные пластины применяются для фиксации только верхней челюсти. Конструкция изделия включает: пластину из акрила, ортодонтическую дугу и фиксирующие элементы.
- Охватывающие ретейнеры – это изогнутые в анатомической форме ортодонтические дуги, сделанные из металла. Защитное покрытие минимизирует проявление аллергии. Изгиб дуги выполнен таким образом, что нуждающиеся в коррекции зубы получают жёсткую опору, фиксируя правильное положение, вне зависимости от зоны воздействия (внутренняя или наружная часть зубной поверхности).
- Лента Риббон устанавливается сложнее, включая процесс препарирования. С внутренней стороны зубной поверхности формируют горизонтальные каналы, по которым закрепляется конструкция. Процедура установки ленты длится дольше, нежели классических ретейнеров, от специалиста требуется высокая точность исполнения. Данный вид рекомендован после извлечения из полости рта несъёмных ретейнеров.
Сколько стоят?
В сравнении с установкой брекет-системы, стоимость лечения ретейнерами незначительна. Зависит она от уровня клиники, наличия зуботехнической мастерской, квалификации ортодонта, используемого материала, региона.
Зачастую в установленную цену входят курс терапии с использованием брекетов, последующая замена их ретейнерами.
Иногда оплата осуществляется отдельно.
Несъёмные устройства более дорогие их цена составляет 6000 рублей и более (на один зубной ряд), стоимость пластинок, кап – от 2000 рублей и выше. К общей сумме добавляется оплата услуг врача.
Советы
Часто во время ношения ортодонтических изделий происходят непредвиденные вещи. Рассмотрим самые важные моменты.
Если ортодонтический механизм отклеился или сломался, самостоятельно ремонтировать изделие нельзя. Это чревато повреждением эмалевого покрытия. Механизм может отклеиться из-за некачественной обработки эмали перед установкой или наличия в полости рта реставрированных зубов (пломбы, коронки и другие импланты). При несущественной поломке изделие подклеивают или заменяют новым. Во время изготовления замены пациент носит капы либо пластинку.
Если пациенту нужно сделать МРТ, не повлияет ли шина на результаты сканирования? Переживать не следует, так как материал конструкций слабо реагирует на магнитное поле.
Что дает лучший результат — ретейнер или капа? Специалисты уверяют, что оба изделия приносят одинаково хороший результат. Выбор базируется на диагностике полости рта пациента. Ортодонт принимает решение о выборе конструкции, учитывая возраст пациента и особенности строения челюсти. Также на выбор влияет степень искривления зубов и аномалия прикуса.
Как долго длится период адаптации к конструкции и что делать, если ретейнеры мешают? Адаптационный период может продлиться несколько недель, затем происходит привыкание к постороннему предмету в полости рта. Однако если ортодонтическая конструкция продолжает мешать и причиняет сильные неудобства, нужно посетить ортодонта. Возможно, причина — в поломке изделия.
Можно ли снять конструкцию самостоятельно?
Что касается таких ретейнеров для зубов, которые являются съемными, то тут все просто – их можно самостоятельно извлекать изо рта. А вот с несъемными так поступать ни в коем случае нельзя, т.к. это чревато повреждением не только самой конструкции, но и эмали ваших зубов. Сминать такие системы должен только ортодонт, который занимался их фиксацией. Как происходит этот процесс? На приеме специалист специальным инструментом аккуратно отсекает проволоку и отклеивает промежуточные элементы системы (обычно, они аккуратно спиливаются бором). Далее специалист очищает вашу эмаль, накладывает композитный материал, чтобы закрыть бороздки и полирует поверхность зубов.
Как функционируют
Исправление положения зубов подразумевает их сдвиг в альвеолярной лунке. В итоге между корнем и лункой появляется периодонтальная щель. Она постепенно зарастает и формирует новое место для зубной единицы.
Особенность этого процесса состоит в том, что формирование костной ткани идет медленно и снятие брекет-системы позволит зубам за это время вернуться в свое исходное положение.
Чтобы избежать подобных проблем, ортодонты рекомендуют установить ретейнеры, мягко удерживающие зубы и препятствующие их смещению.
Узнайте больше об особенностях лингвальных брекетов, о ценах на системы и их установку. Жмите здесь, если интересны отзывы об отбеливании зубов маслом чайного дерева.
Можно ли проходить МРТ при ношении ретейнеров?
Период коррекции прикуса – дело не одного дня, поэтому вполне естественно, что в вашей жизни могут возникать ситуации, требующие проведения диагностических мероприятий и исследований, например, МРТ. Некоторые специалисты считают, что при наличии во рту брекетов или металлических ретейнеров, а также систем с металлическими элементами крепления вовсе не нужно опасаться делать подобных исследований, т.к. современные материалы не вызывают искажений и никак не влияют на результат. Однако, если вы делаете МРТ головы, головного мозга, то предварительно нужно будет получить консультацию специалиста по этому вопросу. Если же требуется провести МРТ других органов, то можно идти на процедуры спокойно, т.к. присутствие металла во рту никак на это не повлияет.
Как правильно ухаживать за аппаратами
Съемные изделия нужно регулярно промывать теплой проточной водой, чистить зубной щеткой и пастой. Раз или два в неделю их нужно замачивать в специальном растворе. Чтобы его приготовить, необходимо растворить таблетку для протезов в заданном объеме жидкости и поместить в полученный состав аппарат. Затем промыть его водой.
Если установлены несъемные ретейнеры после брекетов, то зубы чистятся как обычно. Дополнительно следует использовать ирригаторы, специальные ершики, флосс. Эти приспособления позволяют избежать быстрого отложения налета и камня. Зубочистки применять, чтобы извлекать остатки пищи из-под металлической проволоки, нельзя — это приведет к ее отклеиванию.
Стоимость снятия
Говорить о стоимости снятия ретейнеров можно только, если имеются в виду аппараты несъемного типа. В общее понятие «снятие» здесь входит не только удаление самой конструкции с поверхности зубов, но также соответствующая обработка эмали. Конечно, это в конечном итоге увеличивает стоимость.
В обработку включена чистка поверхности от остатков клеящего состава, шлифовка, а также полировка абсолютно всех участков, которые могли затрагивать ретейнеры. Именно поэтому цена снятия довольно высока – около 10–12 тысяч рублей.
Иногда озвучивается также цена снятия с одного зуба, если используется не металлическая дуга, а специальная лента. Она может составлять от 3500 до 5000 тысяч.
Определение
Ретейнеры (от английского слова to retain, обозначающего в переводе «удерживать») — особая ортодонтическая система, предназначенная для закрепления результата выравнивания брекетами зубов.
Изготавливаются двух видов — стандартного и индивидуального. Первые производятся только несколькими определенными размерами и формами, их можно уже готовыми купить самостоятельно. Индивидуальные выполняются по слепку челюсти пациента.
Изделия имеют небольшой размер и при ношении не вызывают дискомфорта. Находясь в полости рта, не раздражают его слизистую, визуально почти незаметны. При правильном ношении и уходе не вредят эмали.
При изготовлении используется материал, не причиняющий вреда здоровью.
Цена вопроса
Как правило, ретейнеры, их установка и снятие, а также наблюдение у специалиста входят в стоимость всего курса лечения брекетами. Это выгодно и удобно.
Если эти услуги оплачиваются отдельно, то цены в среднем таковы:
- несъемный ретейнер обойдется в сумму от 6 000 руб. (на одну челюсть),
- съемный – от 2 000 руб.,
- фиксация в среднем стоит от 3 000 руб.
Обязательное условие успешного исправления прикуса – выполнение рекомендаций врача-ортодонта. Выбирайте лучших ортодонтов с помощью нашего сервиса!
Какой уход нужно обеспечить конструкциям?
За ними важно качественно ухаживать. Если у вас съемные системы, то дополнительно придется приобрести контейнер для их хранения. Перед едой их необходимо извлекать изо рта, после трапезы не забудьте почистить зубы и тщательно прополоскать полость рта, прежде, чем вернуть конструкции на место. Также несколько раз в день их нужно очищать при помощи мягкой щетки и безабразивной пасты или дезинфицирующего раствора, прополаскивать под струей воды. Еще один немаловажный момент – важно осматривать системы на предмет повреждений и, если таковые будут обнаружены, необходимо сразу обратиться к врачу для решения проблемы.
С несъемными аппаратами придется особенно тщательно подойти к вопросу гигиенического ухода, необходимо будет приобрести ершики и ирригатор.
В обоих случаях нельзя пропускать плановые приемы у врача, профгигиену полости рта.
Общее представление
Ретейнер Osamu – это съемное ортодонтическое приспособление, которое было изобретено Osamu Yoshii в Японии в 1980 г. Представляет невидимую и абсолютно прозрачную дугообразную каппу.
Изготовление Osamu – это всегда индивидуальный процесс, т.е. ретейнеры создаются не только под конкретного пациента, но и для каждой челюсти отдельно.
Изделия рекомендуются к использованию при следующих показаниях:
- Фиксирование элементов челюстных дуг после активной коррекции прикуса брекетами с удалением одиночных единиц.
- Наличие межзубных промежутков (диастем и трем).
- Снижение риска возникновения мини-щелей между зубами, т.е. для предупреждения повторного расхождения отдельных зубов.
- Закрепление результата выравнивания.
- Исправление положения отдельных элементов или несложных дефектов прикуса.
- Удержание параметров челюстной дуги после ее растягивания. Каппа помогает зафиксировать нужное состояние мышц полости рта.
Ретейнер создается только путем штампования термовакуумом. Длительность этого процесса индивидуальная, всегда зависит от особенностей клинического случая, предпочтений самого пациента.
Насколько идеальны элайнеры Invisalign teen для исправления дефектов прикуса у подростков.
Ретенционная пластинка.
Пластинка, в качестве ретейнера, имеет один минус. Поскольку, изготавливает пластинку техник в лаборатории, то лишний «человеческий фактор» добавляет риск рецидива. И это не потому что техник плохой. Просто, чем длиннее «цепочка исполнителей» — тем больше погрешностей может «накопиться». И в совокупности – рецидив. А даже небольшой «возврат» зубов – это всегда неприятно. И доктору. И пациенту. Последнему всегда горше. Поэтому, лично я, предпочитаю в качестве съемных ретейнеров – каппу, «отштампованную» на вакуумформере.
Как поступить, если пластинка отклеилась?
Прежде чем устанавливать ретейнеры, которые можно посмотреть на фото, как они выглядят, врач наносит на эмаль состав, который увеличивает степень сцепления поверхности и материала. Но случается, что конструкция постепенно отклеивается.
Нередко подобное происходит в тех местах, где на зубах имеются пломбы, либо перед процедурой установки челюсть подлежала некачественной обработке. Также возможно отклеивание и в связи с раскусыванием твёрдой еды. Как быть в данной ситуации?
Главное, чего не нужно делать – не обращать внимания на проблему. Среагировав на ситуацию своевременно, вы исключите появление нежелательных проблем с зубами. Конечно, не нужно в полночь звонить стоматологу, если случилась неприятность, однако в течении нескольких дней непременно сходите к доктору, который быстро устранит проблему.
Характеристики устройства
В конструкции представляет двухрядную пластину, надежно закрепляющую положение зубных элементов и предупреждающую их дальнейшее смещение.
В устройстве предполагает наличие двух слоев (жесткий внешний Imprelon 5 — толщиной 0,75 мм, и Bioplast – внутренний, более мягкий 1,5 мм. толщиной).
Внутренний слой защищает эмалевое покрытие, а внешний – точки соприкасания челюстных дуг и жевательных поверхностей.
Важно! Мягкий слой значительно повышает комфорт ношения каппы, а жесткий – прикрывает эмаль и частично слизистую десенных тканей от повреждения, и позволяет удерживать зубы в нужном положении.
Эти характеристики являются основными достоинствами данного ортодонтического приспособления над аналоговыми изделиями, что высоко ценится ортодонтами всего мира.
Ретенционная назубная каппа.
Такая каппа, практически, сводит «на нет» человеческий фактор. А главное «держит» зубы «по объему». Очень точно и плотно. Минус только один. И тот – относительный. Каппа (впрочем, как и пластинка) – конструкция съемная. И если Вы ее сняли, то нужно постараться не забыть ее надеть. Как правильно носить капы для исправления прикуса вам объяснят специалисты в нашей клинике.
Проблемы случаются, когда пациенты с такими каппами, куда то уезжают (в отпуск или командировку), оставляя (забывая) каппы дома. Поэтому, любая съемная конструкция требует определенной собранности и дисциплины.
Какие факторы влияют?
На стоимость каждой конкретной модели ретейнеров могут влиять следующие факторы:
- материал, используемый для изготовления конструкции;
- конструктивные особенности модели;
- показание: на одну или две челюсти.
Общая стоимость услуги по закреплению результатов с помощью ортодонтических ретейнеров, кроме цены самого аппарата, будет дополнительно включать оплату за подготовительные процедуры, диагностику, лечение, установку, снятие и др.
Также, стоит учитывать, что сумма может варьироваться в зависимости от статуса и территориального положения стоматологической клиники.
Отзывы
Анастасия, 38 лет
Мне поставили ретейнеры еще, когда брекеты находились на зубах. Теперь у меня во рту стоит тонкая проволочка и шинирующая лента. Вообще были сложные проблемы с прикусом, и врач сказал, что мне придется носить ретейнеры до конца жизни. Правда, через пару лет несъемные ретейнеры заменят капами. В принципе я уже привыкла к ретейнерам. Они однозначно удобнее брекетов. Однако речь все еще немного изменена.
Валерий, 21 год
Для меня стало сюрпризом, когда при установке брекетов врач сказал, что после их снятия нужно будет еще носить ретейнеры. Носил брекеты год. Теперь назначили капы. В принципе они удобные. Уже привык к ним. Но вот носить, сказали, около двух лет придется.
Наталья, 26 лет
Я уже год хожу с несъемными ретейнерами. Совсем не стала замечать их на зубах. Выполняю все правила ухода, хожу на профчистку к врачу. Довольна результатом от брекетов и готова еще немного потерпеть ретейнеры.
Продолжительность ношения
Фиксированного срока ношения ретейнеров не существует. Этот срок всегда индивидуален и зависит от следующих показателей:
- Степень передвижения зубов, т.е. чем сильнее их положение расходилось с нормой, тем длительнее будет проходить их привыкание к новому положению.
- Возраст пациента. С возрастом пластичность связок ухудшается, а значит, длительность ретенции существенно возрастает.
- Сложность дефекта прикуса. Чем сложнее степень выраженности дефекта, тем тяжелее и длительнее проходит основной курс лечения, соответственно увеличивается и ретенционный период.
- Состояние пародонтальных тканей и всего организма. Удовлетворительное состояние пародонта и организма также снижают время ношения каппы.
- Время активной фазы коррекции брекетами, а значит, чем дольше они использовались, тем длительнее носятся ретейнеры.
Обычно продолжительность ретенции равняется удвоенному сроку пользования брекетной системой, а это примерно 2-4 года. В отдельных случаях по ряду показаний ортодонтическое приспособление может носиться пожизненно, либо наоборот, всего около года.






