Боль после лечения чаще всего является нормальной физиологической реакцией живых тканей на врачебные манипуляции: сверление, нагрев, вибрацию, обработку кислотами, антисептиками.
К сожалению, иногда причина — осложнения, ошибки в диагностике, небрежности или недостаточный опыт врача.
Возможные причины
- При недостаточно тщательной зачистке поврежденного кариесом участка или при установке негерметичной пломбы может развиться повторный кариозный процесс, который из-за благоприятных условий будет прогрессировать гораздо быстрее. Обычно таких оплошностей не случается при обращении к хорошему специалисту из проверенной клиники. Так что если после лечения вас в течение продолжительного времени беспокоит сильная боль, особенно если это пломба на переднем зубе, следует незамедлительно записаться на повторный прием. В запущенных случаях зуб придется удалять. Пломба на передние зубы должна устанавливаться с особой тщательностью и аккуратностью!
- Иногда бывает так, что глубокий кариес уже успел повредить слой дентина под эмалью, и инфекция пошла дальше, на мягкие ткани, однако, сильные болевые ощущения еще не начались. Врач устраняет поврежденный участок эмали, пломбирует полость. Вы возвращаетесь домой, анестезия прекращает свое действие и, возможно сразу, а возможно и через несколько дней, понимаете, что у вас под пломбой очень сильно болит зуб. Это значит, что воспалительный процесс в пульпе уже успел дойти до нервных окончаний, т.е. у вас начался пульпит.
- Бывает и другая ситуация. Допустим, врач вылечил запущенную форму пульпита, но воспалительный процесс уже перешел на более глубокий уровень и попал через апикальное отверстие в корне в область периодонта. Таким образом, если у вас болит зуб под пломбой, а нерв удален, есть вероятность наличия периодонтита.
- Еще одно очень неприятное последствие запущенных форм воспаления — киста. Чаще всего она месяцами, а то и годами, растет совершенно безболезненно, при этом разрушая костные ткани челюсти на столько, что их уже невозможно восстановить, не прибегая к оперативному вмешательству. Так что если у вас после пломбы болит зуб, не откладывайте на потом поход к стоматологу, ведь это может обернуться очень плачевными последствиями.
- Аллергическая реакция на компоненты пломбирующего вещества — не редкость в наши дни. Сейчас все чаще появляются новые препараты, позволяющие сократить срок лечения пациента до минимума, однако часть из них содержит сильнодействующие компоненты, которые могут вызвать, в том числе, и раздражение. Если вдруг, спустя один-два дня после лечения, под пломбой заболел зуб, возможно виной всему именно непереносимость какого-либо вещества. Зачастую такая боль сопровождается и другими симптомами, позволяющими диагностировать аллергическую реакцию.
- Зуб под пломбой реагирует на холодное, горячее и надавливание ноющей болью? Возможные причины: усадка из-за использования некачественного материала или оставленных незапломбированных полостей, а также выход пломбировочного материала в периодонт через апикальное отверстие. Во избежание такой ситуации рекомендуется обращаться только в проверенные стоматологии, в распоряжении которых имеется рентгеновский аппарат.
- Никто не застрахован от ошибок, так что даже у самого хорошего стоматолога может случиться неприятность. Зачастую очищать каналы зуба от остатков пульпы приходится очень тонкими инструментами. Если зуб ноет после пломбирования, возможной причиной может быть небольшой обломок кончика иглы или сверла, оставшегося внутри. Рентгеновский снимок позволит вам исключить такую вероятность.
- Ну и, разумеется, несоблюдение рекомендаций врача, а также правил гигиены, могут привести к болезненным ощущениям.
Решение проблемы
Если после проведения процедуры пломбирования диагностируются болевые ощущения, то необходимо подождать 2-3 дня, возможно, они пройдут.
В этот период рекомендуется принимать обезболивающие препараты, обладающие противовоспалительными свойствами.
Боль не отступает по истечении 72 часов – следует обратиться к стоматологу.
При повторном приеме стоматолог выполняет следующий ряд действий при кариесе:
- Производит местную анестезию.
- Снятие пломбы.
- Удаление области, пораженной кариесом.
- Повторная установка пломбы.
Этапы лечения пульпита (первичного или повторного) выглядят следующим образом:
- Введение обезболивающего препарата.
- Снятие пломбы и обеспечение доступа к каналам зуба.
- Обработка каналосодержащих участков при помощи стоматологических инструментов с параллельным воздействием антисептического средства.
- Установка пломбы на зубной канал.
- Пломбирование зуба постоянной или временной пломбой (это решает стоматолог).
Если врач установил вам временную пломбу, то это означает одно – вы должны будете обязательно посетить его в назначенный день. Если этого не сделать, то последствия могут быть негативными.
Профилактика повышения чувствительности зубов
После пломбирования многие пациенты сталкиваются с проблемой высокой чувствительности зубов. Пломбированная зубная единица начинает заходиться болью при попадании на нее горячего или холодного. Так реагировать на температурные перепады может только живой зуб, если нерв при установке пломбы был сохранен.
Существует две основных причины, из-за которых может появиться гиперчувствительность после проведения лечения:
- Кариес. Заболевание, связанное с разрушением и отмиранием твердых тканей зуба.
- Пульпит. Воспалительный процесс, затрагивающий пучок тканей пульпы, состоящей из нервных окончаний и кровеносных сосудов.
В первом случае болевой синдром характеризуется как кратковременный, возникающий в качестве ответной реакции на внешний раздражитель в виде холодного или сладкого. При пульпите болевые ощущения длятся еще долго после прекращения действия раздражителя, спровоцировавшего их появление.
Кариозные поражения классифицируются по глубине и форме течения. В соответствии с глубиной кариес бывает:
- на стадии пятна;
- начальный;
- средний;
- глубокий.
Кариозный зуб пломбируют всегда, кроме стадии пятна. Если он после этого болит или болезненно реагирует на внешние раздражители, то это свидетельствует, что была оставлена инфицированная ткань. Как следствие развивается вторичный кариес.
Боли после лечения пульпита могут быть связаны с:
- неполным удалением пульпы;
- проникновением инфекции в корневую систему;
- оттягиванием проведения дальнейшей терапии при установке временной пломбы.
Если после того, как поставили пломбу, реакция зуба на внешние раздражители усиливается, о том, почему это происходит, стоит спросить стоматолога. Может оказаться, что причина кроется в нарушениях в лечении кариеса на глубокой стадии или недостаточном воздушно-водяном охлаждении в процессе препарирования полости.
Случается и так, что лечение кариеса или пульпита было проведено качественно, без ошибок, но зуб все равно болит. Это означает, что у пациента наблюдается гиперестезия – повышенная чувствительность зубов к раздражителям, проявления которой усиливаются при наличии микротрещин эмали или расширении зубных каналов.
Существует ряд профилактических мероприятий, которые позволяют предупредить слишком чувствительную реакцию зубов после пломбирования на горячее или, наоборот, холодное. Для этого просто необходимо соблюдать определенные рекомендации:
- не пропускать плановые осмотры у стоматолога раз в полгода и, если потребуется, посещать специалиста дополнительно;
- следить за гигиеной ротовой полости, осуществляя чистку зубов правильно, не травмируя эмаль;
- не использовать зубную щетку со слишком жесткой щетиной, так как это может повредить десны;
- уменьшить количество сладких и кислых блюд в рационе;
- не отбеливать поверхность зубных единиц составами, в которых содержаться агрессивные химические компоненты;
- избегать стрессовых ситуаций.
Однако есть первостепенные правила, соблюдая которые, пациент сможет снизить вероятность появления чувствительности зубных тканей непосредственно после установления пломбировочного материала:
- не употреблять слишком горячие или холодные блюда, особенно одновременно;
- не курить, при наличии данной вредной привычки
- исключить чрезмерное механическое воздействие на зубы;
- тщательно следить за гигиеной полости рта, включая в число проводимых процедур регулярную чистку и периодическое ополаскивание в течение дня при помощи готовых аптечных препаратов или приготовленных самостоятельно растворов, отваров, настоев.
Профилактические методы эффективны и позволяют пережить пломбировку без особых осложнений и дискомфорта. Однако если в процессе пломбирования допущена врачебная ошибка, то, увы, они не дадут должного эффекта. В этом случае терпеть неприятные ощущения стоит не дольше 3 суток, после чего единственно правильным решением проблемы является обращение к специалисту.
Источником боли является зуб и ткани, его окружающие (десна, кость). Она может быть:
- самопроизвольная или провоцироваться разными температурными или химическими воздействиями;
- острая, мучительная или слабая, ноющая;
- при нажатии только на пломбу, на весь зуб или на десну вокруг зуба.
Современные техники требуют создания особого соединения между тканями зуба и композитным материалом пломбы. Для этого используются специальные адгезивы.
Есть несколько поколений адгезивных систем. Некоторые из них, особенно содержащие ацетон, очень требовательны к влажности полости.
Даже незначительное пересушивание часто приводит к болезненности после лечения. Причина этого — нарушение нормального тока жидкости в канальцах, из которых состоит дентин.
Пациенты при этом жалуются на резкую боль при нажатии на пломбу или только её часть.
Важно! Риск пересушивания полости хорошо известен стоматологам и производителям пломбировочных материалов. Полностью исключить пересушивание невозможно, особенно в полостях со сложным контуром, где широкие участки высыхают быстрее и сильнее узких и глубоких.
Решением является применение специальных десенситайзеров (кондиционеров). Решение хорошее, но несколько удлиняющее время работы и удорожающее его.
Пытаясь избежать пересушивания, врач может недосушить полость. Это также происходит, если есть узости и углубления — зоны риска для скопления влаги, которая будет мешать работе адгезива. Какое-то время склеивающий слой будет держаться, но затем произойдёт «дебондинг» (отрыв пломбы от дна полости). Возникают внезапные, резкие, неприятные ощущения при нажатии на пломбу.
Страховкой от «дебондинга» является применение десенситайзеров под слой адгезива. Или же врач может отказаться от минимально-инвазивной обработки полости (так называется обработка, когда стараются сохранить как можно больше тканей зуба).
Обработка полости по классическим методикам исключает узости и неровности. Всё «спиливается» до ровного, плавного контура. Результат: нет узостей, риска недосушивания и пересушивания, но ради ровного рельефа потеряно много здоровых зубных тканей.
Рецидив кариеса
Боли, связанные с рецидивом кариозного процесса, возникают иногда спустя год и более после постановки пломбы.
Причиной их является недостаточная обработка полости. Врач или недоглядел, или осознанно пожалел относительно нормальный дентин и оставил его, надеясь на реминерализацию.
При рецидиве кариеса постепенно начнут ощущаться не сильные, но со временем нарастающие боли при жевании.
Позже присоединяется реакция зуба от холодного и горячего. Решит ситуацию только перелечивание зуба, теперь уже с более радикальной обработкой.
Осложнения кариеса
Самое частое осложнение кариеса — пульпит (воспаление зубного нерва). Причиной являются микробы, попадающие в пульпу из очага кариеса. Чем глубже этот очаг, ближе к нерву и дольше там находится — тем больше микробов проникает к пульпе.
Зуб не является монолитной структурой. Эмаль и дентин имеют трубчатую структуру. По этим «трубочкам» (канальцам) инфекция достигает пульпы. Даже полное высверливание кариеса не гарантирует того, что в нерве уже не начались воспалительные процессы, то есть пульпит.
- При вялотекущем хроническом пульпите имеются обычно только неприятные ощущения, особенно от холодного и горячего, при этом быстро проходящие. Есть хорошие шансы на излечение без удаления нерва.
- При остром, необратимом пульпите зуб болит ночью, сильно, самопроизвольно. Шансов на сохранение нерва нет, принимать меры нужно срочно.
Если нерв своевременно не удалить, инфекция проникнет глубже и возникнет периодонтит — воспаление в костной ткани вокруг корня. Зуб при этом сильно болит при малейшем нажатии, может развиться отёк десны, ухудшиться общее состояние, подняться температура.
Осложнения кариеса (пульпит, периодонтит) требуют срочного лечения корневых каналов. Проводится в два, иногда в три посещения. Врач специальными инструментами чистит стенки каналов от инфекции, промывает их растворами антисептиков и запечатывает гуттаперчей.
Боль при неправильном удалении нерва может возникнуть, если:
- не найдены все корни и каналы;
- не пройдены каналы на всю длину из-за их кривизны, узости;
- если произошла травма окружающих тканей, перфорация, выведение раствора для промывания за корень.
При этом будет чувствоваться ноющая боль, которая усиливается при нажатии на зуб. Может болеть десна. Если не были найдены все каналы, и в зубе осталась часть больного нерва — сохранится реакция на холодное и горячее.
Бывает, что долгое время нелеченое воспаление разрушает верхушку корня и вызывает резорбцию.
Или врач при обработке инструментами широко раскрывает отверстие на конце корня.
Это приводит к продавливанию пломбировочного материала за корень.
Так как все современные материалы для лечения и пломбирования корней полностью биосовместимые и инертные, данная ситуация обычно не является серьёзной проблемой, но какое-то время после этого зуб будет беспокоить при нажатии на него.
Пустоты в пломбе
- Поры (пустоты) образуются обычно ещё на стадии, когда пломбировочный материал заливают в тубы. При взятии оттуда материала и заполнении полости, микропоры могут быть не замечены. После засыхания они запечатываются внутри пломбы.
- Другой причиной возникновения пустот является нарушение технологии хранения материала. При высокой температуре в кабинете (летом) некоторые материалы становятся вязкими, тянущимися. Уплотнить их в зубе при этом невозможно, а возникновение пор в пломбе в таких условиях неизбежно.
- Использование слишком больших порций материала (спешка) тоже приводит к образованию пор.
Поры обычно безболезненны. Но они провоцируют расколы пломб, тогда возможны боли при жевании.
Справка! Если в пломбе есть пора, то зубная боль часто возникает при перепаде атмосферного давления. Например, во время полёта на самолёте или при занятии дайвингом. При нормализации давления боли проходят.
Поломка инструмента
Чтобы качественно убрать заражённый инфекцией слой дентина со стенок каналов, приходится применять усилие.
Мягкое «поглаживание» стенок — не эффективно, оставляет микробы в канале и приводит к повторному воспалению.
Корни зубов и каналы часто имеют искривления, узости. В этих зонах повышенной сложности всегда есть риск поломки инструмента.
Особенности удаления нерва
Опытные врачи проводят депульпирование только в крайнем случае. Но иногда без этого обойтись невозможно. В чём заключается процедура? Сначала делают рентген, по которому стоматолог делает выводы о состоянии пульпы (нервной ткани), областей вокруг корня и получает представление, насколько глубоко распространилось воспаление. Специалист оценивает длину нерва и особенности его расположения, потом приступает к работе и действует в несколько этапов:
- анестезия: местное обезболивание для избавления пациента от неизбежных неприятных ощущений. Современные препараты позволяют провести все манипуляции абсолютно безболезненно,
- удаление кариеса: стоматолог высверливает поражённые области эмали и дентина при помощи бормашины,
- удаление нерва: с помощью особого инструмента под названием пульпоэкстрактор, который вкручивается в канал, стоматолог в несколько этапов удаляет нервно-сосудистый пучок,
- расширение и чистка каналов: проводится для того, чтобы врач мог качественно вычистить каналы от остатков нервной ткани и подготовить их для пломбирования. Каналы расширяют тонкими борами, которые помогают выровнять и сгладить внутреннюю поверхность стенок,
- пломбирование: материал, специально предназначенный для пломбировки (например, гуттаперчу), вводят на всю глубину корня. Консистенция этого вещества позволяет заполнить полость целиком, чтобы там не осталось пустых областей. Верхнюю часть покрывают композитным материалом. В некоторых случаях ставят крупную вкладку или устанавливают поверх пломбы коронку.
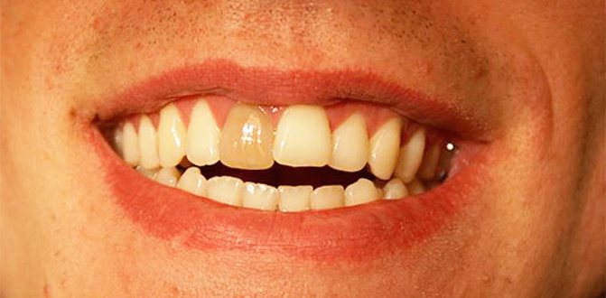
Зуб, оставшийся без нерва, называют «мёртвым». Он становится нечувствительным к раздражителям, останавливается минерализация эмали. Она теряет белизну и приобретает тёмный оттенок. Чтобы восстановить эстетичный вид, стоматолог может предложить сделать внутриканальное отбеливание, поставить винир или эстетичную керамическую (или металлокерамическую) коронку.
На заметку! По завершении манипуляций врач должен обязательно оценить результат. Для контроля снова проводят рентгеновский снимок, по которому стоматолог делает вывод о качестве лечения. После грамотно проведённой операции депульпированный зуб прослужит хозяину долгие годы и даже может стать опорой для протеза.
Лечение в условиях клиники
Без помощи стоматолога не удастся устранить проблему, если зуб начал разрушаться, или человек чувствует боль по всей челюсти (генерализованная гиперестезия). Также необходимо лечение, если вылеченный и запломбированный недавно зуб ломит или реагирует на холодное. Это может случиться по следующим причинам:
- неправильно поставили пломбировочный материал;
- пломбирование осуществлено без лечения кариеса, устранения воспаления под коронкой, чистки каналов, или же заражение произошло под пломбой во время процедуры по ее установке;
- запломбированный зуб подвергся физическому воздействию в первые часы после того, как поставили пломбу.
В стоматологии предусмотрены специальные процедуры, направленные на укрепление эмали проблемных или сильно обточенных зубов и профилактику гиперестезии:
- фторирование эмали с нанесением фторсодержащего лака или методом электрофореза;
- перекрытие эмали особым пломбировочным материалом: его можно применять при полном отсутствии кариеса или при незначительном кариозном поражении;
- назначение специальных аппликаций на основе глицерофосфата кальция или минеральных растворов;
- назначение консультации ортодонта для исправления прикуса.
Профилактика возникновения гиперестезии
Наилучшим способом профилактики гиперестезии является регулярное посещение стоматолога. Квалифицированный специалист идентифицирует существующие проблемы и даст рекомендации по применению лечебных паст. При регулярной чистке и своевременном лечении зубов значительно снижается риск проявления болезненной реакции на температурные изменения.
Существует ряд эффективных мероприятий, направленных на предотвращение развития болезней зубов и десен. Нужно:
- Скорректировать диету. Необходимо употреблять продукты с высокой концентрацией витаминов (фрукты и овощи без термической обработки), кальция (молочные продукты) и фтора (рыба, прежде всего морская).
- Исключить из употребления холодные и чрезмерно горячие продукты, которые негативно воздействуют на эмаль чувствительных зубов. Также нужно отказаться от газированных напитков с кофеином, которые способствуют интенсивному удалению кальция из организма.
- Не пренебрегать полосканием травяными отварами и противовоспалительными настоями.
- Предохранять зубы (особенно пломбированные) от физического воздействия. При гиперестезии не рекомендуют щелкать семечки и орехи.
Такую проблему, как повышенная реакция зубов на холод и тепло, нужно решать сразу после ее возникновения. В противном случае возможен переход легкой гиперестезии в более тяжелую форму, что чревато развитием осложнений. Квалифицированное лечение может назначить стоматолог, и данных им рекомендаций необходимо придерживаться. Современные методы профилактики и лечения чрезмерной чувствительности зубов позволяют быстро восстановить эмаль и предотвратить возникновение болезненных ощущений.
В каких случаях реакция на перепады температур – норма?
Случаи, когда зуб после пломбирования становится чувствительным и болезненно реагирует на сладкое, холодное или горячее, не так уж редки. Однако далеко не всегда это говорит о том, что в зубных тканях развивается какая-либо патология, или начался воспалительный процесс из-за неграмотно выполненной процедуры и нарушения требуемых правил. Зачастую это вполне нормальная реакция организма.
Считается нормой, если запломбированный зуб чувствует перепады температур по следующим причинам:
- Естественная реакция на вмешательство. В результате процедуры пломбировки осуществляется вторжение в живые ткани. Они травмируются, и жевательная поверхность на время становиться восприимчива к внешнему воздействию. Проблема решается сама по себе в течение нескольких дней.
- Изменение зубной поверхности, которая выполняет защитные функции. Состояние эмали зуба может пострадать в процессе очищения жевательной поверхности от разрушений, вызванных кариесом. Чаще всего в таких ситуациях нервные окончания не затрагиваются.
- Негативная реакция на материал, которым был запломбирован зуб, ввиду индивидуальной непереносимости. Многое зависит от интенсивности и выраженности дискомфорта. При резкой реакции на холодное необходимо обратиться к стоматологу, чтобы он заменил пломбу.
Нужно понимать, что возникновение боли или появление чрезмерной чувствительности может быть как нормальной реакцией, так и признаком каких-либо осложнений. Однако в первом случае болевые ощущения проявляются слабо и постепенно сами затухают. Если подобного не происходит, то лучше не ждать и не заниматься самолечением, а отправляться сразу в стоматологический кабинет для выяснения источника проблемы и ее решения.
Анестезия, сверление бормашиной, постановка специальных матриц, обработка кислотами и адгезивами, полимеризация материала — манипуляции необходимые, но вызывающие раздражение и микротравмы тканей зуба и десны. Любая травма требует некоторого времени для заживления.
- Если зуб ноет после лечения, это допустимо, но только когда ощущения эти не сильные, длятся не дольше 1—2 недель и постепенно уменьшаются. Причина — послеоперационная повышенная чувствительность.
- Несильная боль от нажатия на пломбу является нормой, но только в первые дни после лечения. Происходит адаптация тканей к материалу, привыкание к новой высоте зуба. Редко проблема сохраняется до полугода.
- Кратковременная, не дольше нескольких секунд, реакция на холодное и горячее возникает после лечения очень глубокого кариеса или при лечении обширной полости сразу на нескольких поверхностях зуба. Обычно стихает через 1—2 недели.
- Болезненность десны вызывается анестезией, постановкой специальных матриц, ретракционных нитей, клиньев. Травма тканей при этом неизбежна, но без этих манипуляций невозможно качественно восстановить зуб. Заживает десна за несколько дней.
- Если ноющие боли после лечения не стихают, длятся дольше двух недель, нарастают, тогда ждать заживления не имеет смысла. Необходимо повторное и более серьёзное лечение, возможно, с удалением нерва.
- Боли при нажатии на зуб могут быть признаком дебондинга (отрыв пломбы от стенок), развития воспаления, следствием завышения пломбы. Если уменьшение высоты пломбы не приносит облегчения, зуб необходимо вылечить заново.
- Сильная, длительная боль от холодного и горячего — признак пульпита. Тянуть с удалением нерва нельзя, так как воспаление с нерва может перейти на окружающую кость.
- Боль, покраснение, припухлость десны — всегда очень тревожный признак. Это или аллергическая реакция на материал, некачественная постановка пломбы (с нависающим краем), или же симптом воспаления вокруг корня. В таком случае необходимо заменить пломбу, возможно, потребуется серьёзное лечение каналов, иногда зуб удаляют.
Диагностирование патологии
В домашних условиях проверить правильность установки пломбы можно простым способом – набрать в рот холодной или горячей воды.
Если болевые ощущения возникают сразу и так же быстро проходят – недостаточно проведена процедура очистки от ткани, пораженной кариесом.
С учетом того, что не все процедуры были выполнены правильно при лечении пульпита – болевые ощущения будут постепенно нарастать и так же медленно уходить.
В некоторых случаях появляется пульсация внутри зуба – это результат перегрева зубной ткани в процессе препарирования.
Если симптомы не проходят в течение нескольких суток – обратитесь к врачу.
Стоматологи диагностируют причину возникновения болевых ощущений путем осмотра ротовой полости. Осматривается плотность прилегания пломбы и оказывается воздействие холодным воздухом и водой. После снятия пломбы врач выполняет зондирование путем постукивания по зубу. При появлении болезненных ощущений в различных участках определяется имеющаяся патология.
Болевые ощущения в стенках – признак кариеса средней формы, в дне зуба – его глубокая форма, а глубоко в устье канала – пульпит.
Применение медицинских препаратов
При использовании специальных гелей можно значительно уменьшить чувствительность зубов. Они купируют боль, содержат необходимые для укрепления эмали вещества и создают временную защитную пленку. Помогают в первый период после лечения, когда запломбированный зуб только начинает реагировать на холодное и горячее. Кроме устранения болезненной реакции на термические изменения, современные гели хорошо способствуют профилактике кариеса и пародонтита.
Наиболее популярны и распространены в аптеках следующие гели:
- Emofluor используют при воспалении десны.
- O.C.S. способствует осветлению эмали.
- Fluoridex можно применять детям, нанося его на зубки с помощью щетки.
Популярностью пользуются следующие пасты:
- Lacalut Sensitive с аминофторидом и фторидом натрия в качестве активных компонентов.
- Sensodyne, содержащая хлорид калия и убирающая со временем проблему открытых дентинных каналов.
- Glister, обладающая хорошим отбеливающим свойством.
- President, содержащая гидроксиапатит кальция, который укрепляет костную ткань и решает проблему открытых дентинных каналов.
Что еще может вызвать боль от температурных раздражителей?
Отвечая на поставленный вопрос, резонно отметить, что ситуации, когда правильно поставили пломбу, а зуб все равно реагирует на горячее и холодное крайне болезненно, являются далеко не самыми редкими. В таких случаях специалисты рекомендуют провести обследование на предмет наличия либо отсутствия гиперестезии – болезненного состояния, проявляющегося в том числе и дискомфортом вследствие температурных воздействий. Говоря более точно, ситуации, при которых зубы реагируют подобным образом, относят к гиперестезии I степени. Касаемо более тяжелых стадий данной патологии, то для них характерно добавление других болезненных реакций – на сладкое, кислое, соленое, а также различного рода тактильных воздействий.
Если же выделить главный фактор, способствующий повышению выраженности симптомов зубной гиперестезии, то таковым является появление микроскопических трещин в эмалевой ткани. Заметить их в состоянии любой стоматолог, «вооруженный» необходимым оборудованием, а потому классифицировать данную проблему в клинике не составляет особого труда. Также к частым признакам гиперестезии относят расширения нервных канальцев зуба.
Как избавиться от неприятного симптома?
Самый главный вопрос, который волнует большинство людей, связан с тем, что же делать, когда зуб все-таки стал слишком чувствителен. Решение проблемы имеет два пути: поход в стоматологический кабинет или устранение болезненности в домашних условиях.
При повторном посещении специалиста лечение, направленное на избавление от чрезмерной чувствительности и неприятной симптоматики, включает в себя ряд манипуляций:
- установления диагноза, то есть выяснения причин подобной реакции зубов;
- проведение местного обезболивания;
- извлечение старой пломбы;
- обработка антисептиками;
- осуществление повторного пломбирования каналов и полости.
Повторный визит к специалисту нужен, если боль долго не проходит или имеются другие симптомы, говорящие об отклонениях в процессе адаптации к поставленной пломбе. В первые же дни после лечения справиться с болезненными ощущениями можно и самостоятельно.
Самым эффективным и действенным решением является прием анальгетиков. Популярными обезболивающими препаратами для внутреннего применения считаются:
- Кеторол,
- Кетанов,
- Нурофен,
- Солпадеин и их аналоги.
Также можно проводить местные аппликации. Для этого подойдут: Дикаин, Ультракаин, Новокаин, Лидокаин и другие препараты. Важно не употреблять медикаменты длительный период без предварительной консультации с врачом. Это чревато привыканием и появлением побочных эффектов.
Чтобы попытаться решить проблему чувствительности своими силами в домашних условиях, можно пить в малых количествах теплое молоко в течение дня, полоскать рот травяными отварами или настоями, например корой дуба, душицей, чайным деревом, или раствором соды и соли. Также можно попробовать аппликации с прополисом.
Профилактические мероприятия
Для того чтобы запломбированный зуб не беспокоил в течение первых дней после посещения профильного специалиста, пациенту желательно придерживаться нескольких несложных правил, а именно:
- избегать употребления чересчур горячей и холодной пищи;
- постараться отказаться от курения (конечно же, если данная вредная привычка имеет место);
- минимизировать сильные механические воздействия на пролеченный зуб;
- помнить о соблюдении правил гигиены полости рта (не только регулярной чистки, но и ополаскивания).
Принятие во внимание перечисленных выше рекомендаций позволяет запломбированному зубу пройти адаптацию с наименьшим количеством трудностей. Однако же, если повышенная термочувствительность является следствием допущенной стоматологом оплошности, такие меры едва ли помогут. В подобных ситуациях терпеть следует не более 72-х часов, по истечении которых повторное обращение к врачу является единственно верным решением.
Народные средства при реакции зубов на холодное и горячее
Если зубы болят от холодного и горячего несильно и нечасто, то можно воспользоваться проверенными народными средствами. Для устранения незначительной, но раздражающей боли, могут применяться следующие методы:
- полоскание ротовой полости раствором соды, приготовленным из одной столовой ложки продукта и стандартного стакана воды;
- аппликация маслом гвоздики или чайного дерева, которую можно сделать с применением ватного тампона;
- полоскание рта отваром, приготовленным на основе коры дуба: одна столовая ложка сырья на стакан воды.
Дезинфекция десны около проблемного зуба помогает убрать воспаление слизистой, которое и приводит к оголению шейки зуба. Для этого используют следующие методы:
- полоскание рта несколько раз в день отваром репейника, приготовленным из расчета 250 миллиграмм воды на 1 столовую ложку сырья;
- если зуб чувствует холодное и горячее, можно делать аппликации на основе облепихового масла и прополиса, которые прикладывают к проблемному месту утром и вечером после еды.
Профилактика и предупреждение
Для того чтобы патология не возникла, необходимо беречь свою эмаль от различных повреждений. Для этого соблюдайте ряд простых правил:
- Посещайте стоматолога не менее двух раз в год для проведения профилактического осмотра.
- Сбалансируйте свой рацион таким образом, чтобы кислые и сладкие продукты встречались в минимальных количествах.
- Не используйте зубные щетки с жесткой щетиной. Они способны не только повреждать десневую ткань, но также наносить микроскопические царапины на эмаль.
- Не употребляйте чрезмерно горячую пищу вместе с холодной (например, горячий кофе с мороженым). Из-за резкого перепада температур зубная эмаль может потрескаться.
- Отказаться от процедуры отбеливания зубов при помощи агрессивных химических средств. Если хотите, чтобы зубы были белоснежными – используйте отбеливающие пасты. Процесс более долгий, но безопасный для эмали.
- Соблюдайте личную гигиену: чистите зубы 2 раза в день зубной пастой, не содержащей в своем составе агрессивных элементов.
Очень эффективной профилактикой будет применение ополаскивателей для полости рта. Они могут быть произведены фармацевтическими компаниями и продаваться в готовом виде. Или же можно изготовить специальный отвар в домашних условиях, на основе различных трав и растений.
При возникновении болей во время чистки зубов или в процессе приема холодной пищи немедленно обратитесь к стоматологу. Промедление приведет к разрушению целостности зуба и нервных окончаний.
Когда реакция будет нормой
Такое бывает, когда очищалась жевательная поверхность от кариесного разрушения, и не затрагивался нервный аппарат. В тех случаях, когда после пломбы зуб реагирует на холодное не стоит упускать из виду состояние эмали. Повышенное реагирование может быть вызвано изменением защитной поверхности.
Также причиной может быть индивидуальная непереносимость состава, установленного в полость для замещения жевательной поверхности. Тогда нужно следить за ответным локальным сигналом, чтобы процесс не вызвал резкого дискомфорта. Если реакция будет сильной, когда запломбированный зуб реагирует на холодное, необходимо его вскрытие для удаления нанесенного состава.
Даже, если вам депульпировали сосудисто-нервный пучок, то может возникать дискомфорт. Ведь во время операции проводилось внедрение в канал, а точнее в полость. Удаление пучка и воздействие прибором на внутреннее пространство вызывает нормальную реакцию в виде не интенсивных болей. Они будут иметь не сильное проявление боли, постепенно исчезающее.
Депульпирование с пломбированием зуба
Удаление нерва представляет собой серьезную стоматологическую операцию, грамотное выполнение которой под силу опытному специалисту. Определенный алгоритм, по которому действует много зубных врачей при этом, и при нестандартном строении зуба или внезапном возникновении осложнений от этого алгоритма допустимы отклонения.
Первым делом выполняется анестезия , два укола в десну в области оперируемого зуба. С момента начала действия наркоза человек не ощущает боли 45-50 минут. За это время стоматолог должен выполнить:
- оградить “рабочее пространство” от выделяющейся слюны. Это будет сделано либо с использованием специального аппарата или ватными шариками,
- показана обработка пораженных тканей, если в процессе осмотра диагностировано воспаление нерва как следствие кариеса. Стоматолог для удобного доступа к нерву расширяет зубной канал,
- используя иглу малого размера с зубчиками врач удаляет пульпу. Нерв может быть срезан гибким инструментом,
- на предпоследнем этапе врач обрабатывает зубной канал антисептиком, накладывает временную пломбу,
- важно , контрольный снимок. Стоматолог может допустить ошибку по любым причинам. Если по результатам рентгенографии определяется неполная пломбировка зуба, он сверлится и алгоритм повторяется сначала.
Поправка: всё сказанное выполняется по шагам при условии хорошего самочувствия пациента. При возникновении нештатной ситуации , плохое самочувствие, потеря сознания, внезапная боль , врач должен сначала исправить ситуацию, а затем, основываясь на состоянии здоровья, решить, можно ли продолжать лечение.
Что делать, если ноет зуб и болит десна при нажатии и надкусывании?
- При болезненности от нажатия — ограничьте нагрузку на зуб на пару дней, в большинстве случаев этого достаточно для заживления.
- Даже слабую боль нельзя лечить самостоятельно, так как это приводит к потере драгоценного времени. При малейших сомнениях обращайтесь к врачу, лучше к тому, кто работал с проблемным зубом, ведь он видел ситуацию «изнутри». Часто достаточно беседы по телефону, чтобы специалист понял проблему и дал рекомендации.
- При сильной боли допустим приём обезболивающих препаратов (Кетанов, Найз, Нурофен и др.) Не принимайте никаких лекарств перед визитом к стоматологу — это мешает диагностике и вызывает нежелательные реакции организма при анестезии.
- Не стесняйтесь задавать вопросы врачу до и после лечения. Опытный стоматолог ещё до начала работы предупредит о возможных болях от зуба и о способах их устранения.
Диагностика
Возникновение дискомфорта после холодной либо горячей пищи – это один из признаков того, что пломбирование выполнено неправильно. Если есть сомнение, достаточно выпить стакан холодной воды. При кариесе боль возникнет сразу же, при пульпите проявится через время. Если возникли любые болезненные симптомы, нужно немедленно записаться к врачу на повторный приём. Больше информации о выявлении скрытого кариеса читайте в статье.
Не стоит рассчитывать, что проблема пройдет со временем. Осложненный кариес и пульпит со временем прогрессируют, что приводит к разрушению зуба.
Для выявления поврежденных участков применяется специальный препарат под названием “Кариес-контроль”. После нанесения в полости зуба мертвые участки окрашиваются в контрастный цвет. После этого их проще удалить полностью.
Гиперестезия при пародонтите
Почему воспалилась десна, болят зубы от сладкого, холодного и горячего? Дискомфорт может быть вызван пародонтитом. Это воспалительное заболевание десен, которое характеризуется кровоточивостью, отеком слизистых оболочек, образованием глубоких пародонтальных карманов. При прогрессировании недуга происходит обнажение шеек, корней зубов, десна проседают, из-под них выделяется гной, появляется патологическая подвижность зубов. В пришеечной области эмаль очень тонкая, поэтому при воздействии термических раздражителей реагирует острой болью.
Если опустились слизистые оболочки, болят, ноют зубы от холода, нужно посетить врача-пародонтолога. Лечение начинают с удаления твердых бактериальных отложений. На запущенных стадиях выполняют кюретаж десневых карманов, лоскутные операции по удалению поддесневых отложений. Пациентам назначают щадящую диету, аппликации лечебных гелей на пораженные участки, антисептические полоскания, массаж десен.
Как влияет сладкое на состояние зубного ряда
Нужно знать, что сахар не оказывает агрессивного влияния на здоровую эмаль единиц зубного ряда. Попадая в полость рта во время еды, глюкоза, фруктоза и сахароза остаются в составе слюны и создают благоприятные условия для активного размножения микроорганизмов.
Питаясь остатками сладкой пищи, бактерии усиленно выделяют различные кислоты и другие продукты метаболизма. Они-то и скапливаются на зубах, приводя к постепенному истончению эмалевого слоя. В результате плотность эмали снижается, она становится рыхлой, подверженной образованию трещин при механическом воздействии.
Микротрещины и истончение эмали, в свою очередь, приводят к беспрепятственному проникновению микробов и органических молекул в более глубокие слои зуба, способствуя размножению патогенной микрофлоры в дентине и пульпе. И чем глубже они проникают, тем ближе нервные окончания пульпы, и тем сильнее будет болеть зуб при попадании сладкого – его чувствительность повышается. Более того, молекулы сахаров через «пустоты» в поврежденном эмалевом слое способны проникать напрямую к нервному пучку, что сопровождается острыми болевыми ощущениями, проходящими лишь во время полоскания.
Еще одно негативное влияние на зубы сахара оказывают, если в организме не хватает кальция и витаминов B. Они необходимы для лучшего усвоения простых сахаров, например, глюкозы. Поэтому при употреблении сладкого их дефицит восполняется путем взятия из костей и зубов, провоцируя разрушительные процессы.
Сахар и кариес
Провокаторами кариеса являются бактерии, которые разрушают поверхность эмали, проникают глубоко внутрь, после чего поверхностей кариес постепенно поражает пульпу. Эти бактерии содержатся в зубном налете, который образуется после приема пищи.
Однако далеко не любая пища вызывает образование зубного налета: напротив, некоторые продукты способствует самостоятельному очищению эмали: например, яблоки, морковь. Однако сладкие углеводные продукты, в составе которых есть сахар, практически всегда приводят к тому, что на поверхности зубов скапливается мягкий налет, а после – камень.
Именно поэтому для того, чтобы избежать развития кариеса, необходимо ограничить количество употребляемой сладкой пищи (конфет, ирисок, кремов), а после употребления ее в пищу полоскать рот специальными составами или чистить зубы.
Беспокоит зуб без нерва
Подскажите, может у кого было так. Около четырех месяцев назад удалили нерв из верхней шестерки. Так вот, этот зуб реагирует на горячую еду и горячие напитки довольно сильно, как будто распирает. Неприятные ощущения проходят в принципе быстро. На холодное, сладкое и т.д. не реагирует никак. Что это может быть? Плохо зуб сделали? Может ли соседний так отдавать? (есть дырка в седьмом). Хотя по ощущениям прям четко этот.
- если нерв удален, то скорее всего это соседний, к стоматологу не судьба сходить?
- у меня так было, успокоитесь, потом пройдет, у меня так пол года или даже больше было( врач сказал, что так как лечение глубокое так сказываются остаточные реакции десны и корня зуба, потом все восстановится внутри и хорошо заживет и исчезнет, потом пройдет, ждите, несколько месяцев ждите
- у меня так же, на холодное горячее уже не реагирует, а вот на твердое например сухарики больно(
Скорее всего отдает другой, обычно так издевается зуб мудрости, может обманчиво отдавать в любой зуб.
Поход к врачу
В зависимости от провоцирующих причин, может быть проведены следующие виды терапии:
- Лечение кариеса. Проводится коррекция поврежденных зубов, после которой симптоматика гиперестезии полностью исчезает. На данном этапе проводится препарирование зуба, очищается его полость от пораженных тканей, при необходимости проводится депульпирование с последующим пломбированием. Также часто в целях профилактики после лечения всех кариозных очагов дополнительно рекомендуется провести профессиональную чистку ротовой полости.
- Лечение десен. Проводится врачом пародонтологом. В этих целях, в зависимости от вида заболевания могут быть назначены медикаментозная либо физиотерапевтическая терапия.
- Восстановление эмали проводится после устранения основной причины, спровоцировавшей развитие гиперестезии. Чаще всего в этих целях проводятся: естественное восстановление эмали, фторирование, герметизация, реминерализация, имплантация новой эмали, установка виниров,
- Физиотерапия. Проводится при тяжелой степени развития патологии. Чаще всего специалисты назначают процедуры гальванического тока с растворами глюконата кальция, Флюокаля либо Белак-F.
Эффективность лечения зависит от правильного установления этиологии гиперестезии. На ее основании и подбирается соответствующий терапевтический курс.
Что делать, чтобы убрать симптом?
При нормальном процессе восстановления зуб заходится болью недолго. В противном случае следует проконсультироваться у лечащего стоматолога.
Обезболивающее
Первое и самое надежное средство, которое поможет справиться с зубной болью – обезболивающее. Самыми эффективными являются:
- Препараты, в составе которых присутствует ибупрофен, например Нурофен, Ибупром, Ибуфен. и считаются безопасными, поэтому разрешены даже при беременности. Принимаются после еды. Актуальны, если зуб болит при надавливании (рекомендуем прочитать: что делать, если болит зуб при надавливании?).
- Цитрамон. Справляется с легкой и средней болью. Можно употреблять максимум 5 дней.
- Найз. Эффективен при острой боли, но имеет ряд противопоказаний, в том числе беременность.
- Темпалгин. Принимается после еды. Начинает действовать уже через полчаса после приема.
- Кетанов. Этот анальгетик эффективно снимает даже самую сильную боль. Действует в течение 6 часов. Противопоказан беременным.
Холодный компресс
Сильная зубная боль требует методов, которые могут быстро и эффективно снять болевые ощущения. При появлении ярко выраженной боли стоит избегать горизонтального положения. В первую очередь можно сделать холодный компресс или просто приложить кусочек льда к той щеке, где находится источник боли. Компресс можно сделать из марли или чистой тряпочки, завернув в него несколько кусочков льда. Холод моментально снимает резкую боль. После этого можно сделать себе теплое полоскание из различных сборов трав.
Полоскания содой и травами
Еще один распространенный способ снять болевые ощущения – полоскание ротовой полости. Для этого можно использовать такие рецепты:
- Содово-солевой раствор. В половине стакана теплой воды следует развести пол столовой ложки соды и соли. Помогает снять отечность.
- Настойка аптечной ромашки. Хорошо дезинфицирует и удаляет боль. Сухое сырье 10 грамм заливается стаканом кипящей воды и настаивается около 40 минут.
- Отвар коры дуба. Этот природный антисептик понижает чувствительность зубов. На две столовые ложки сырья нужно взять пол литра кипятка. Залитую кору дуба необходимо продержать на медленном огне, пока вода не испарится наполовину. Полученный отвар следует держать во рту по несколько секунд. Повторить процедуру пару раз.
- Настойка змеиного горца, который борется с вредоносными бактериями. Залить полулитром кипятка 10 грамм сухого сбора настаивать в течение 15 минут.
- Настойка травы репейника. Столовая ложка сухого сбора заливается стаканом воды, кипятится 2-3 минуты. Потом настаивается 40 минут.
Гомеопатическое лечение
Гомеопатическое лечение при болезненной реакции зубов на температуру исключительно эффективно. Оно укрепляет организм, воздействуя на его обменные процессы, гормональный фон, иммунный статус.
Хамомилла (Chamomilla)
Зубная боль, которая связана с общими простудными заболеваниями. Повышенная реакция зубов на холодное больше, чем на горячее. Боль от попадания еды с усилением в ночное время.
Нукс мошата (Nux moschata)
Препарат для людей с повышенной чувствительностью во всем – слух, зрение, обоняние. Зубная боль не только от холодного воздуха или теплой еды, но и от прикосновений, кислого или сладкого. Боль носит пронизывающий характер, отдает в шею и уши.
Антимониум крудум (Antimonium crudum)
Зубная боль от холодной воды, еды, воздуха.
Пульсатилла (Pulsatilla)
Назначается детям и женщинам при боли в зубах от теплой и горячей еды. От холодного питья боль приобретает дергающий характер. Стихает от пребывания на свежем воздухе.
Меркуриус (Mercurius)
При зубной боли воспалительного характера, которая резко усиливается от попадания холодной воды. Многочисленные кариозные полости, оскомина на зубах от кислых яблок. Воспалительные процессы в деснах.
Стафизагрия (Staphysagria)
Назначают при зубной боли пульсирующего характера, которая отдает в ухо. Боль усиливается от холодного воздуха или питья.
Натриум сульфурикум (Natrium sulphuricum)
Применяется при острой чувствительности зубов на горячее. От холодного боль притупляется.
Пульпит как причина возникновения болей после пломбирования
При этой патологии происходит воспаление нервов и сосудов, которые находятся в зубной ткани. Его возникновение может спровоцировать нервное перенапряжение, инфекция и перегрев пульповой ткани.
Болевые ощущения после пломбирования опять же говорят о том, что процедура была выполнена с нарушениями.
Из-за частых ночных болей производят ампутацию зуба, так как из коронки инфекция проникает в область корня.
Еще одна причина болевых ощущений – это неполное удаление сосудисто-нервного пучка. Есть вероятность, что не все каналы были найдены и пройдены стоматологом.
Процесс лечения пульпита чаще всего растягивается на несколько посещений врача. В этом случае стоматолог будет ставить временную пломбу от посещения к посещению, пока процесс лечения не закончится и не будет установлена постоянная пломба. Если лечение затягивается, через некоторое время между временной пломбой и зубной тканью возникают микроскопические щели, через которые в зубную полость проникают раздражители (в том числе и холодовые), вызывающие болевые ощущения.
Болит зуб от горячего — что делать до посещения врача?
Иногда боль бывает настолько сильной, что терпеть ее становится невыносимо.
Если немедленное обращение к врачу невозможно, избавиться от неприятных ощущений можно с помощью одного из перечисленных ниже препаратов:
Также купировать боль можно с помощью полосканий специальным раствором (при острой боли – 2 ч.л. соли и 1 ч.л. соды на 0,5 л теплой кипяченой воды, а при терпимой боли – по 1 ч.л. соды и соли на 0,5 л воды). Полоскать рот такими растворами нужно дважды в день.
При желании можно воспользоваться другим способом: приложить к больному зубу ватный тампон с лидокаином или прополоскать рот раствором лидокаина. Прежде чем использовать данное средство, убедитесь в отсутствии противопоказаний к его применению. Осторожности требует применение лидокаина у лиц с эпилепсией, детей, ослабленных и пожилых людей. Также препарат может вызывать аллергические реакции.
Читать также: Как быстро снять опухоль от флюса Многие пациенты беспокоятся: можно ли делать МРТ с металлокерамическими коронками? В следующей статье мы подробно ответили на этот вопрос.
Гиперестезия после отбеливания
Отбеливающие процедуры способствуют значительному истончению эмали, поэтому могут повышать чувствительность тканей. Если такие процедуры проводятся в домашних условиях необходимо предварительно проконсультироваться со стоматологом. При наличии противопоказаний от осветления придется воздержаться.
Отбеливать эмаль рекомендуется только у врача. В клиниках используют современные щадящие методы, покрывают зубы защитным фторлаком.
Если здоровый зуб ноет, болит от холодного и горячего после отбеливания, необходимо некоторое время воздержаться от употребления сладостей, кислых, соленых продуктов, пить только теплые напитки. В свой рацион следует добавить продукты, способствующие реминерализации эмали: творог, молоко, рыба, свежая зелень, овощи, фрукты.
Почему запломбированный зуб становится чувствительным?
Основная причина повышенной чувствительности запломбированного зуба – повреждение нервных окончаний или целостности тканей в процессе лечения. Однако есть ряд других факторов, почему вылеченный зуб чувствует и болезненно реагирует на внешние раздражители:
- Неправильный диагноз. Если пульпит был принят за хронический кариес, то пломбу могут установить не на тот зуб.
- Разгерметизация. Материал пломбы отходит от дна полости и вызывает раздражение.
- Негативное воздействие на пульпу зуботехнических полимеризаторов.
- Некачественно встроенная пломба. Например, если полость предварительно была пересушена, не полностью заполнена или материал вышел за ее пределы.
- Аллергическая реакция на композитный материал или лекарства. При этом происходит отечность мягких тканей, появляется болезненность десен.
Когда есть повод обеспокоиться?
Иногда врачи рекомендуют своим пациентам принимать обезболивающие после лечения, поскольку объективно оценивают сложность и предполагают временные побочные эффекты. Но купирование симптома не затягивается дольше 3-4 дней даже после удаления зуба. Вы должны понимать, что боль – это вовсе не враг, а благо, сигнализирующее о проблеме. И если она проявляется на постоянной основе в течение недели и более – это веская причина для визита к специалисту.
Обратите пристальное внимание на наличие сопутствующих симптомов:
- Жар или незначительное, но постоянное повышение температуры;
- Кровоточивость десны вокруг вылеченного зуба;
- Острые приступы, возникающие в ночное время;
- Существенное повышение чувствительности, побуждающее вас полностью отказаться от потенциальных раздражителей в виде мороженого или горячего чая;
- Онемение мягких тканей челюсти в месте проведения процедур;
- Потемнение или посинение десны;
- Общее недомогание и слабость без объективных причин.






