Пациенты жалуются, что после удаления зуба у них появился неприятный запах изо рта, да еще и десна болит. Такие ощущения ничего хорошего не сулят. Во-первых, беспокоит боль, во-вторых, когда еще и щека распухла, стает сложно кушать и разговаривать, в-третьих, резкий гнилостный запах создает психологический барьер относительно взаимоотношения с окружающими и не дает спокойно жить.
Присутствие такой проблемы после удаления зуба – прямое свидетельство развивающегося инфекционного процесса. Справиться с заражением своими силами не получится. Единственное, что можно сделать в домашних условиях – снизить болевые ощущения до обращения к врачу. Далее мы расскажем о том, почему появляется неприятный запах изо рта после хирургического вмешательства и какими способами можно от него избавиться.
Причины появления неприятного запаха изо рта после удаления зуба
Удаление зуба не должно сопровождаться какими-то осложнениями, если эта процедура была проведена правильно. Но если уже появился неприятный запах, то это говорит о том, что пошел воспалительный процесс. Если заражение лунки возникло из-за удаления зуба, то аромат появится уже на 2-3 сутки. Стоит отнестись к этому дефекту очень внимательно, ведь последствия могут быть не самыми приятными. Поэтому если появился не свойственный вам аромат, то срочно посетите стоматолога.
Предшественниками появления запаха при воспалении десны могут стать:
- ноющая или режущая боль в лунке;
- повышение температуры тела;
- озноб;
- головная боль;
- ощущение слабости, головокружения;
- тошнота;
- сонливость.
Чаще всего появляется запах изо рта после удаления зуба мудрости, но это совсем не значит, что он не может появиться после того, как вырвут другой зуб.
Симптомы для безотлагательного визита к врачу
Удаление зуба считается небольшой операцией и после нее возможно развитие осложнений. Они чаще всего наблюдаются у пациентов, страдающих патологиями сердечно-сосудистой системы.
При появлении беспокоящих симптомов после вмешательства нужно показаться врачу. Даже если тревожных признаков не наблюдается, к стоматологу необходимо явиться на 3-4 день после вмешательства, чтобы он оценил состояние лунки и при необходимости провел контрольный рентгенологический снимок челюсти.
Признаки для срочного обращения в стоматологическую клинику:
- неутихающий, даже после приема обезболивающих средств, дискомфорт;
- повышение интенсивности боли проблемного участка;
- возникновение аллергических реакций на антибиотики, назначенные после удаления зуба;
- появление температуры;
- обильное кровотечение спустя 4 часа после экстракции.
Чем быстрее будут предприняты необходимые меры, тем скорее заживут мягкие ткани десны. И в этом случае у человека имеется возможность скорее установить протез для восполнения недостающего элемент ряда.
Что провоцирует воспаление и нагноение
Основные причины возникновения плохого аромата после хирургического удаления зуба.
Несоблюдения рекомендаций стоматолога
После того как зуб удалили, врач рассказывает, что делать. Первое, и самое важное правило, это на протяжении двух часов ничего не употреблять. Второе, что нельзя делать не в коем случаи, это чистить зубы в первые сутки. Врач назначает специальное средство, с помощью которого необходимо регулярно полоскать рот. Этот препарат позволяет продезинфицировать рану и помогает быстро заживить ее. Если не выполнять назначения врача, то можно занести инфекцию, которая может спровоцировать воспаление.
Сухость кожи десны
После удаления зуба мудрости может еще появляться запах из-за того, что лунка пересохла (альвеолит). Через некоторое время в ней образуется кровяной шарик, который не даст инфекции попасть внутрь. Трогать и удалять этот шарик нельзя. Но бывают такие ситуации, когда сгусток самостоятельно выпадает и именно из-за этого лунка пересыхает. Такая проблема может быть у людей, которые имеют проблемы с кровью или принимают гормональные средства.
Если возникла такая проблема, то стоит обратиться к своему стоматологу, он вам выпишет лекарства, которые не позволят инфекции попасть внутрь.
Нагноение лунки из-за альвеолита
Остаток зуба в десне
Неприятный запах может появиться у того человека, который имеет проблемы с тканями зубов.
Если после того как вам вырвали зуб появился неприятный запах, внимательно осмотрите десну. Бывает такое, что при удалении зуба остался кусочек, и он тревожит рану. Из-за этого появляется сильная боль и плохой запах. Для того чтобы его устранить нужно обратиться к стоматологу. После удаления кусочка пройдет болезненное ощущение и запах.
Запомните, если зуб мудрости был удален, и изо рта пахнет тухлятиной, это первый признак воспаления.
Боль может пропасть на какое-то время, но со временем вернуться. Поэтому если запах не прошел самостоятельно в течение суток, то стоит срочно посетить врача. Но что делать, если такой возможности нет.
Появилась горечь и кислый привкус лекарства, выделяется жидкость, гной
Процедура извлечения больного зуба – одна из самых неприятных и болезненных. Кроме того, после нее существует риск развития осложнений. Довольно распространены жалобы на то, что после процедуры удаления зуба (часто – мудрости) пахнет изо рта. Он появляется из-за инфицирования лунки. Развитие инфекции вызывает сильную боль в области десны, высокую температуру и отечность тканей.
Запах изо рта, возникающий после удаления зуба – признак начинающегося воспаления в десне, спровоцированного занесением и развитием инфекции. Чаще всего этот симптом появляется после удаления зуба мудрости. Без надлежащей медицинской помощи патологический процесс будет развиваться, приводя к серьезным заболеваниям.
Существует несколько ситуаций, способствующих развитию инфекционного процесса на месте удаленного зуба (чаще всего –мудрости):
- Невыполнение рекомендаций врача-стоматолога в послеоперационный период. После процедуры удаления зуба врач предупреждает пациента о необходимости соблюдения ряда правил: не принимать горячую пищу и напитки, не задевать ранку чем бы то ни было (языком, ложкой, щеткой, флоссами, зубочисткой), полоскать полость рта дезинфицирующими и заживляющими средствами. Если пациент не придерживается этих правил, возникает высокий риск появления неприятного запаха.
- Сухая лунка. Через 3-5 часов после операции в лунке появляется сгусток кровяных телец, закрывающий рану. Он действует как щит, не подпускающий бактерий. Поэтому его не стоит счищать. Но бывают ситуации, когда сгусток выходит самостоятельно и образуется сухая лунка – область открытая для инфекций. Чаще всего такое явление возникает у людей с нарушением свертываемости крови, у курящих людей и у женщин, использующих гормональные средства контрацепции. Если образовалась сухая лунка нужно обратиться за помощью к врачу, он проведет профилактические мероприятия, снижающие риск заражения.
- Воспаление пародонта. Это заболевание способствует развитию инфекции и других послеоперационных осложнений. Пациентам с диагнозом пародонтит требуется постоянное наблюдение стоматолога.
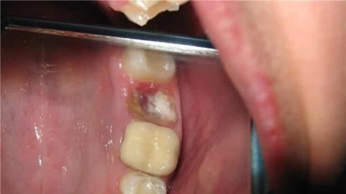
- Осколок зуба. При некачественно проведенной процедуре удаления в десне может остаться осколок, провоцирующий воспаление десны. Появляется отек раны, следом усиливаются болевые ощущения. Запах изо рта по этой причине часто возникает после удаления зуба мудрости, так как его положение (горизонтальное, с наклоном) и удаленность от центра затрудняют проведение врачебных манипуляций. Кроме того, зуб мудрости может быть ретенированным, не прорезавшимся. В этом случае риск оставить осколок в десне очень высок.
Осложнения
Без грамотного лечения запах из лунки, возникший после удаления зуба, может способствовать развитию таких осложнений, как:
- Альвеолит. Заболевание начинается незаметно, но затем быстро развивается, охватывая ткани десны, кость. Признаки этого осложнения появляются на третьи сутки после удаления зуба, на вторые – после удаления зубы мудрости. Болевые ощущения нарастают от ноющих и периодических до стреляющих и постоянных. Боль распространяется на челюсть, определяется по расположению тройничного нерва, иррадиирует в висок и в шею. Если был удален один из моляров, например, зуб мудрости, то боль отдает в ухо. Становится сложнее открывать рот. Увеличивается отек десны и щеки, покраснение слизистой переходящее в цианоз. Лечение альвеолита основано на приеме антибиотиков, антисептиков и противовоспалительных препаратов.
- Воспаление надкосницы. Проявляется набуханием и болезненностью десны. Боль усиливается при механическом воздействии. Воспаление распространяется на ближайшие участки: появляется отечность щеки, губ, подбородка, шеи. Температура тела часто достигает 38°C, а в некоторых случаях может быть и выше. Боль иррадиирует на половину головы. Образуется белый налет на мягких тканях. Через некоторое время в десне появляется гной, выходящий через рану. Лечебные мероприятия включают в себя очищение раны от гноя, ее дезинфекцию, прием антибиотиков и анальгетиков.
- Абсцесс. Травмы тканей ротовой полости в ходе операции неизбежны. Они оказываются более серьезными при удалении зуба мудрости из-за его расположения и некоторых других особенностей. Вследствие этого может появиться гнойный абсцесс, потому что рана – идеальная среда для размножения патогенных микроорганизмов. Образуется гной, который может перейти в мягкие ткани. Причиной абсцесса после процедуры удаления зуба, наиболее часто является несоблюдение рекомендаций стоматолога. Лечение включает в себя очищение от гноя, прием противовоспалительных препаратов и антибиотиков. Медикаментозное лечение прописывается исключительно врачом, самостоятельный подбор антибиотиков может принести больше вреда, чем пользы.
Вероятность появления неприятного запаха и привкуса во рту после удаления зуба значительно снижается при последующих правильных действиях врача. Специалист внимательно просматривает корни, чтобы удостовериться в их целостности. После этого осматривается сама лунка: малой ложечкой врач исследует рану, в случае обнаружения осколков зуба или частичек альвеолы – удаляет их.
Если после удаления зуба, несмотря на качественно выполненную врачом работу, все же пахнет изо рта, необходим повторный визит в стоматологический кабинет. Стоматолог промоет лунку перекисью водорода либо раствором марганца, предварительно введя местную анестезию (например, Новокаин). Возможно, будет назначен физиотерапевтический курс лечения.
В домашних условиях необходимо ополаскивать ротовую полость теплым раствором марганца 3-4 раза в день. В случае необходимости, стоматолог пропишет прием обезболивающих препаратов, антисептиков и антибиотиков.
Выполняя все рекомендации врача неприятный запах, возникший после удаления зуба, исчезнет через 10-12 дней.
Чтобы после удаления зуба не появился неприятный запах изо рта нужно соблюдать профилактические правила. В первые сутки после удаления зуба, особенно мудрости, может развиться кровотечение. В этом случае следует использовать стерильную салфетку: скрутить ее в виде жгута, положить на ранку и прикусить.
В течение суток как можно меньше сплевывать и ополаскивать ротовую полость (если только ополаскивание не назначено врачом). Не употреблять горячую пищу и жидкость, воздержаться от курения. При появлении сильной боли разрешается принять анальгезирующие препараты: кетанов, найз, и т.п. Уменьшить отечность после удаления зуба мудрости можно с помощью холодных компрессов на область щеки рядом с лункой.
Во время ночного и дневного сна использовать еще одну подушку, это приподнимет голову и увеличит отток крови. В день операции не рекомендуется чистить зубы возле лунки. В последующие дни можно выполнять процедуру обычным способом, не задевая рану.
Также нужно соблюдать режим дозированной активности: не переутомляться, отказаться от тяжелой физической нагрузки. Полезным будет нахождение в хорошо проветриваемом помещении с комнатной температурой. Соблюдая эти простые правила можно избежать неприятного запаха изо рта после удаления зуба. Этот симптом, как и любое осложнение, легче предупредить, чем лечить.
Специфический горький или кисловатый привкус, появляющийся во рту после удаления зуба — верный признак альвеолита, воспаления стенок лунки.
Важно! Первые симптомы альвеолита пациент ощущает сразу после того, как закачивается действие анестезии. Основной из них — это боль, которая то затихает, то возобновляется без видимых причин.
В первые дни после сложной операции выделение солоноватой жидкости, сукровицы, из раны — нормальное явление. Если у жидкости присутствует резкий привкус гноя, значит лунка инфицирована, причем воспаление зашло уже достаточно далеко.
Когда исчезнет?
Иногда пациентов беспокоит привкус лекарства после удаления зуба и специфический запах, который ощущают также и окружающие во время простой беседы. Дело в том, что лекарства, используемые стоматологами, имеют неприятный горький привкус, поэтому его сохранение во рту в течение 2 — 3 дней после операции — это нормально.
Важно! В маленьких стоматологических клиниках, предлагающих услуги сомнительного качества, пациент может столкнуться с аллергической реакцией на дешевые лекарственные препараты. Помимо неприятного привкуса во рту, будет ощущаться зуд и жжение.
Чем сложнее удаление, тем выше риск развития осложнений после нее, а экстракцию зуба мудрости (особенно с нижней челюсти) стоматологи считают операцией повышенной сложности из-за труднодоступного расположения зуба и его изогнутой корневой системы.
Нередко такие процедуры длятся более часа, а сам зуб приходится удалять по частям, предварительно раздробив его специальными инструментами.
Кроме того, процесс удаления зуба мудрости сопровождается обильным кровотечением из-за обширного участка поражения.
Неприятный запах изо рта после такой операции — верный признак того, что осложнений избежать не удалось, и в лунку проникла инфекция.
Что делать если нет возможности попасть к стоматологу
В жизни бывают разные ситуации и не всегда есть возможность посетить врача. Если возникла такая ситуация, то необходимо самостоятельно себе помочь. Когда удаляют зуб мудрости, то запах изо рта появляется в любом случае. Но стоит отличать воспалительный процесс, от обычного суточного дискомфорта. Для того чтобы устранить запах нужно обратиться к стоматологу, а если такой возможности нет, то проделать следующие действия:
- Старайтесь тщательно чистить зубы, обрабатывать хорошо весь рот. Хорошо будет если при гигиене полости рта, воспользуетесь флоссом.
- После основного приема пищи или перекуса обязательно полоскайте рот. Для этого можно использовать обычную воду или отвары на травах.
- Можно воспользоваться еще ополаскивателем, который обладает противовоспалительным эффектом. Но обязательно обратите внимание на состав, в нем не должно быть спирта, и желательно чтобы была мята или эвкалипт. Такой раствор можно приготовить в домашних условиях.
- Для чистки языка используйте специальную щеточку.
- Постарайтесь не употреблять вредную пищу, типа фастфуда.
Полоскание рта после удаления зуба надо начинать на следующий день
Если придерживаться всех этих правил, то до того как идти к врачу запах изо рта частично уйдет. Но это не значит, что не нужно посетить стоматологический кабинет.
Причины попадания инфекции
Существует несколько ситуаций, способствующих развитию инфекционного процесса на месте удаленного зуба (чаще всего –мудрости):
- Невыполнение рекомендаций врача-стоматолога в послеоперационный период. После процедуры удаления зуба врач предупреждает пациента о необходимости соблюдения ряда правил: не принимать горячую пищу и напитки, не задевать ранку чем бы то ни было (языком, ложкой, щеткой, флоссами, зубочисткой), полоскать полость рта дезинфицирующими и заживляющими средствами. Если пациент не придерживается этих правил, возникает высокий риск появления неприятного запаха.
- Сухая лунка. Через 3-5 часов после операции в лунке появляется сгусток кровяных телец, закрывающий рану. Он действует как щит, не подпускающий бактерий. Поэтому его не стоит счищать. Но бывают ситуации, когда сгусток выходит самостоятельно и образуется сухая лунка – область открытая для инфекций. Чаще всего такое явление возникает у людей с нарушением свертываемости крови, у курящих людей и у женщин, использующих гормональные средства контрацепции. Если образовалась сухая лунка нужно обратиться за помощью к врачу, он проведет профилактические мероприятия, снижающие риск заражения.
- Воспаление пародонта. Это заболевание способствует развитию инфекции и других послеоперационных осложнений. Пациентам с диагнозом пародонтит требуется постоянное наблюдение стоматолога.
- Осколок зуба. При некачественно проведенной процедуре удаления в десне может остаться осколок, провоцирующий воспаление десны. Появляется отек раны, следом усиливаются болевые ощущения. Запах изо рта по этой причине часто возникает после удаления зуба мудрости, так как его положение (горизонтальное, с наклоном) и удаленность от центра затрудняют проведение врачебных манипуляций. Кроме того, зуб мудрости может быть ретенированным, не прорезавшимся. В этом случае риск оставить осколок в десне очень высок.
Преобладающая причина отвратительного зловония после удаления зуба – занесение инфекции в лунку. Способствуют заражению факторы:
- Невыполнение указаний дантиста, проводившего процедуру. Часто пациент тревожит лунку языком, палочкой для удаления остатков пищи, щёткой для чистки и другими предметами. Таким образом, попадает инфекция.
- Сухая лунка может быть причиной инфицирования. Кровяной сгусток, закрывающий поверхность раны, может убраться при полоскании ротовой полости. Лунка становится открытой для бактерий. В благоприятной среде бактерии хорошо живут и размножаются. Продукты жизнедеятельности вызывают неприятный аромат.
- Частичка зуба, оставленная стоматологом в ране, становится причиной боли и зловония. Если остался осколок, десна опухает, боль усиливается. Нередко подобная ситуация возникает при экстракции зуба мудрости из-за его сложного расположения в ротовой полости.
- Хронические патологии тканей зубов вызывают осложнения при удалении в виде неприятного запаха.
- Несоблюдение правил гигиены. Отталкивающий запах может возникать из-за плохой гигиены полости рта.
- Ослабленный иммунитет пациента.
Устранить неприятный аромат без лечения невозможно. Альвеолит требует незамедлительной терапии, способен вызвать воспалительный процесс надкостницы. Заболевание лечится устранением очага инфекции.
Редко своевременно удается заметить, что причиной зловония является воспаление. Воспалительный процесс начинается с верхних тканей, потом проникает вглубь. Часто происходит отмирание тканей, что приводит к серьёзным осложнениям. Понять, что произошло инфицирование, нетрудно по признакам:
- Ноющая боль в лунке, усиливающаяся после еды.
- По мере распространения инфекции отмечается сильная боль в лунке и десне.
- Повышается температура тела.
- Из лунки выделяется гной.
- Десна заметно отекает.
- Сильное зловоние из полости.
Обнаружение гноя и повышение температуры указывают на тяжелую форму патологии. Состояние требует срочного обращения за медицинской помощью.
Диагностика
Запах, сильная боль – повод обратиться в стоматологическую клинику. Врач исследует ротовую полость пациента. При помощи визуального осмотра или рентгенографии определит причину неприятных ощущений и назначит лечение.
Самостоятельная диагностика и лечение неуместны, если появились признаки перехода патологии в тяжелую форму. Любое промедление может нанести непоправимый вред здоровью пациента.
При возникновении боли и запаха нужно обратиться к стоматологу. Лишь врач способен помочь справиться с воспалительным процессом.
Сначала пациенту колют анестезию, удаляют налёт. Потом рана обрабатывается антисептиком. Во вскрытую лунку закладывается сильнодействующее лекарство. На рану накладываются швы. Человек ходит с лекарством, пока десна не перестанет болеть и зловоние не исчезнет. Когда рана затянется, допустимо устанавливать протез на место удаленного зуба.
Если причиной стала ошибка врача при экстракции, и в лунке остался осколок, обязательно стоит прибегнуть к помощи специалистов, чтобы удалили остаток.
В домашних условиях проводить лечение возможно по рекомендации врача. Чтобы ликвидировать боль, доктор может порекомендовать обезболивающие препараты – Пенталгин, Баралгин.
Если пациент не обратился своевременно, патология приобрела тяжелую форму – терапия потребует сильных медикаментов. В лунку вводят антибиотик – Кларитромицин и препараты, нормализующие микрофлору. Если начался некроз, рану очищают при помощи протеолитических ферментов. Иногда требуется блокировка нерва при помощи Новокаина. Блокаду повторяют, если боль не утихает на протяжении двух суток. Дополнительно применяют микроволны или лазер.
Если вмешательство прошло успешно, лунка заживает через неделю. Воспаление исчезает полностью через две недели.
Если рана зашита, противопоказано трогать материал. Швы могут разойтись, и рана станет объектом для инфицирования.
Порой возможности попасть к стоматологу в ближайшее время нет. В этом случае нужно оказать самопомощь, следуя рекомендациям:
- В течение дня после каждого приёма пищи или перекуса нужно тщательно прополаскивать полость рта.
- С утра и перед сном чистить зубы, уделяя процедуре не менее трёх минут. Места экстракции лучше избегать и не касаться щёткой.
- Тщательно очищать язык от налёта щёткой с прорезиненной головкой или специальным скребком.
- После чистки и после употребления пищи воспользоваться противовоспалительным ополаскивателем полости рта.
Если десна не заживает, допустимо воспользоваться противовоспалительным стоматологическим гелем. Гель Холисал наносят на марлю и прикладывают к больному месту на полчаса. Процедуру проводят три раза в сутки.
Почему появляется запах изо рта после удаления зуба? Существует несколько факторов, провоцирующих проблему:
- Пренебрежение пациента рекомендациями врача. После экстракции зубов стоматолог инструктирует больного о правилах поведения в послеоперационном периоде. Для скорейшей регенерации раны необходимо воздерживаться от потребления горячей и холодной пищи в течение 24 часов, а также от полоскания ротовой полости антисептическими растворами. Также нельзя трогать лунку руками, чтобы не спровоцировать разрушение эпителиальной ткани.
- Отсутствие сгустка крови. При сложных операциях, например, после удаления зуба мудрости нередко наблюдается синдром сухой лунки из-за ранее произошедшего инфицирования альвеолы. Болезнетворная флора не дает образовываться сгустку. Осложнения после операции проявляются через несколько дней. Пациенты отмечают у себя боли пульсирующего характера и припухлость щеки.
- Наличие в ротовой полости хронических инфекционных заболеваний. Присутствие болезнетворной флоры увеличивает риск инфицирования раны после удаления зуба. Людям с хроническими стоматологическими заболеваниями экстракцию назначают в крайних случаях из-за высокого риска развития негативных последствий.
Лечение запаха изо рта как симптома
Часто из-за зубной боли приходится обращаться к стоматологу, и иногда этот зуб нужно удалять. Бывает, что после этой операции не возникает никаких проблем, а бывает и наоборот. Если после удаления зуба пахнет изо рта неприятно, то это свидетельствует о том, что начался воспалительный процесс. Чтобы снять воспаление и убить вредоносные микробы стоматолог назначает полоскание. Оно помогает устранить остатки пищи и бактерии, которые могут вызвать осложнения.
Для полоскания нужно использовать антисептические и противовоспалительные средства Желательно полоскать рот разными отварами. Подобные процедуры позволяют снять воспаление, если оно есть и помочь ране быстро зажить.
Чтобы устранить плохой запах, врачи рекомендуют использовать такие растворы, как:
- Фурацилин – это хороший антисептик, который помогает устранить воспалительные процессы. Он помогает защитить рану от попадания инфекции. Его часто выписывают при сильных гнойных воспалениях. Для того чтобы его приготовить необходимо одну таблетку препарата кинуть в теплую воду.
- Хлоргексидин обладает такими же свойствами, как и фурацилин. Быстро устраняет плохой запах изо рта при воспалениях. Часто его выписывают сразу после удаления зуба.
- Мирамистин моментально убирает неприятный запах при удалении зуба мудрости. Часто его используют при осложнениях и воспалительных процессах.
Полоскание нужно начинать делать только после того как прошло 48 часов, после удаления зуба. Перерыв между ними должен составлять примерно 6-8 часов.
Бывает такое, что после того, как вырвали зуб появился запах лекарства. Это происходит из-за того, что врач положил в лунку тампон с каким-то препаратом. Стоматологи делают это для того, чтобы не возникали воспалительные процессы. Спустя время тампон снимается, и аромат лекарства автоматически проходит.
Специалисты пользуются не только традиционными средствами, но и нетрадиционными.
Часто стоматологи для устранения неприятного запаха рекомендуют полоскать полость рта разными отварами. Они не только убивают неприятный аромат, но и позволяют предотвратить появление инфекции. Травы – это природные антисептики, которые ускоряют процесс заживления ранки после операции.
Полоскание после удаления снимет воспаление
Для удаления неприятного запаха можно использовать следующие травы:
- Календула и ромашка являются мощным средством, которое легко борется с воспалительными процессами и позволяет ранки быстро зажить.
- Сбор трав имеет те же свойства, что и календула с ромашкой. Для того чтобы его приготовить нужно взять 1 столовую ложку травы и залить ее литром кипятка. Трава должна настояться 30 минут и потом можно полоскать рот.
- Золотой ус используется в медицине почти во всех отраслях. Его можно использовать как для полоскания, так и прикладывать на больное место. Для того чтобы приготовить средство необходимо из растения выжать сок и залить его кипятком.
- Эвкалипт является очень хорошим противовоспалительным средством. С этим растением продается очень много ополаскивателей в аптеки.
Если врач назначил полоскать рот с помощью трав, то делать это нужно через каждые 6 часов. Отвар нужно держать во рту примерно одну две минуты.
Если после удаления зуба мудрости запах не прошел, а наоборот усилился, то стоит обратиться к врачу, который проводил операцию. Он осмотрит ранку и назначит лечение. Отказываться от посещения стоматолога не следует, ведь это может негативно сказаться на здоровье.
Что делать в данной ситуации, как избавиться?
До визита к врачу имеет смысл прибегнуть к использованию антисептических растворов:
- раствор фурацилина;
- раствор хлоргексидина;
- мирамистин.
Эти препараты обладают мощным противовоспалительным и противомикробным действием, они помогут замедлить инфекционный процесс в лунке.
Народные средства
Некоторые проверенные народные средства тоже будут эффективны в этом случае:
- отвар шалфея;
- настой ромашки;
- аппликации на маслах гвоздики, пихты, чайного дерева;
- настойки валерианы или прополиса.
Профилактика появления неприятного запаха после удаления зуба
Для того чтобы после такой операции, как удаления зуба не возникали осложнения и неприятные запахи необходимо проводить профилактические меры.
- В первый день после процедуры может появиться кровотечение. Для того чтобы его устранить нужно бинт или ватку положить на рану. Держать ее нужно примерно 20 минут. Нельзя резко убирать жгут, это может вызвать еще большее кровотечение.
- В первый день постарайтесь не полоскать рот.
- Кушайте еду только охлажденной, желательно чтобы она была неострая.
- Если появилась невыносимая боль, то примите какое-то обезболивающее средство.
- Можно прикладывать холодный компресс, но только не к ранке, а щеке.
- Когда будете ложиться спать, воспользуйтесь дополнительной подушкой. Это позволит улучшить кровообращение.
- После удаления зуба несколько дней желательно не чистить зубы.
Старайтесь не нервничать и не переутомляться. При соблюдении всех этих правил проблем не должно возникнуть.
Курсы повышения квалификации: «Ортопедия на имплантатах. Ортопедический протокол Implantium&SuperLine», «Дентальная фотография», «Ортопедия на имплантатах».
- терапевтическая стоматология (в полном объеме),
- художественная реставрация зубов,
- хирургическая стоматология (удаление зубов, в том числе дистопированных и ретинированных,
- резекция верхушек корней и др.,
- полное и частичное съемное протезирование,
- несъемное протезирование,
- штифтовые культевые конструкции,
- безметалловая керамика CAD-CAM Emax, керамика на каркасе из диоксида циркония,
- каповые методы реабилитации стоматологических больных
- съемное протезирование зубов
- мостовидные протезы
Превентивные мероприятия
Чтобы после процедуры экстракции обезопасить себя от возникновения инфекции в образованной лунке, которая и провоцирует привкус гноя с отталкивающим запахом, в течение последующих суток настоятельно советуется меньше сплевывать и не полоскать ротовую полость (если это не назначено самим врачом). Нельзя употреблять горячие блюда, чай, кофе, а также стоит воздержаться от курения.
После удаления зуба мудрости в первые сутки лунка может немного кровоточить, что будет провоцировать привкус железа во рту и характерный аромат (но не гнилостный, а скорее запах глины и стальной).
Можно взять стерильную салфетку, сделать из нее жгут, который прикладывается к ранке и прикусывается. Держать салфетку в таком положении нужно 20 минут. Образовавшийся кровяной сгусток ни в коем случае нельзя пытаться убрать. Он как раз и будет препятствовать попаданию инфекции в лунку, тем самым ускоряя процесс заживления.
Если после процедуры появляется сильная боль, то разрешается принять анальгезирующие препараты. А вот отечность мягкой ткани можно уменьшить при помощи холодных компрессов. Они накладываются на тот участок щеки, где расположена образовавшаяся лунка.
Предлагаем ознакомиться: Белый прыщик на десне после удаления зуба
Также сильный отек могут снять десенсибилизирующие препараты (Тавегил).
Во время ночного сна лучше использовать дополнительную подушку, чтобы голова находилась выше, чем обычно. Это поможет увеличить отток крови. После удаления зуба в этот же день не стоит чистить область, расположенную возле лунки.
Рацион в такой период должен состоять из мягкой пищи, а все блюда только комнатной температуры. В течение несколько дней можно делать ротовые ванночки с отваром ромашки и соды. Для этого раствор просто набирается в рот и держится несколько минут с той стороны, где имеется лунка. Полоскание при этом не осуществляется.
Причины возникновения
Неприятный запах изо рта после хирургического вмешательства может появиться по разным причинам:
- отсутствие кровяного сгустка, которому отводится важная роль в заживлении десны (может удалиться, если пациент с особенным рвением и часто полощет рот), сухая лунка, образующаяся вследствие этого, стает открытой для доступа микробов – изо рта появляется резкий запах, а десна начинает болеть;
- при удалении зуба были задеты нервные окончания или произошло травмирование костной ткани у пациента могут онеметь язык, десна, щека и губа, появиться кровоточивость и неприятный запах;
- пренебрежительное отношение пациента к рекомендациям врача, которые тот обязательно дает после операции – их невыполнение способствует развитию воспаления;
- попадание инородного тела в лунку, например, осколок зуба, также провоцирует гнилостный процесс со всеми его отрицательными последствиями.
Сам факт появления неприятного запаха не должен оставаться без внимания со стороны пациента. Поход к стоматологу позволит точно определить проблему и своевременно принять меры по ее решению.
Врачебные манипуляции
Вероятность появления неприятного запаха и привкуса во рту после удаления зуба значительно снижается при последующих правильных действиях врача. Специалист внимательно просматривает корни, чтобы удостовериться в их целостности. После этого осматривается сама лунка: малой ложечкой врач исследует рану, в случае обнаружения
осколков зуба или частичек альвеолы – удаляет их. Производится очищение стенок лунки и, по необходимости, зашивание десны. На рану накладывается тампон, который нужно прикусить и подержать минут 15 – 20. Дольше удерживать тампон не следует, потому что он мешает оформиться сгустку крови.
Если после удаления зуба, несмотря на качественно выполненную врачом работу, все же пахнет изо рта, необходим повторный визит в стоматологический кабинет. Стоматолог промоет лунку перекисью водорода либо раствором марганца, предварительно введя местную анестезию (например, с помощью новокаина). Возможно, будет назначен физиотерапевтический курс лечения.
В домашних условиях необходимо ополаскивать ротовую полость теплым раствором марганца 3-4 раза в день. В случае необходимости, стоматолог пропишет прием обезболивающих препаратов, антисептиков и антибиотиков.
Выполняя все рекомендации врача неприятный запах, возникший после удаления зуба, исчезнет через 10-12 дней.
Признаки наличия заражения
О наличии заражения могут свидетельствовать:
- боль ноющего или режущего характера в лунке;
- повышенная температура тела и озноб;
- слабость, головокружение, головная боль;
- состояние сонливости,
- тошнота.
При таких признаках консультация у специалиста – обязательна. Ведь, чем быстрее будут назначена адекватная терапия, тем быстрее можно будет избавиться от проблемы и не бороться с осложнениями.
Недостаточная очистка лунки
При удалении старых зубов часто образуются сколы. При этом может отколоться как часть верхушки, корня или эмали. Небольшой осколок часто остаётся незамеченным и становится причиной плохого заживления десны. Если был вырван моляр сверху, такие сколы выходят в течение нескольких дней самостоятельно. Если же удалили зуб снизу, выход осколков затруднён. Они остаются в лунке и не дают ранке затянуться.
Если к незаживающей ранке присоединилась инфекция, формируется гнойный воспалительный процесс и появляется галитоз.
Что делать до обращения к врачу
К сожалению, бывают ситуации, когда попасть на прием к стоматологу быстро не получается. В таком случае можно самому оказать себе помощь, выполняя такие рекомендации:
- обязательно очищать язык от налета, пользуясь специальным скребком;
- при гигиенической чистке зубов уделять больше внимания проработке всех участков, в том числе и очистке межзубных пространств флоссами;
- после каждого приема пищи полоскать рот обязательно теплой очищенной водой с добавлением нескольких капель эфирного масла мяты или лимона;
- для снятия воспаления целью надо применять специальные ополаскиватели, которые не содержат спирт. Хорошо, если в их составе будут экстракты мяты или эвкалипта;
- полоскать рот можно и самостоятельно приготовленными отварами с коры дуба, зверобоя, мелиссы, ромашки, эвкалипта, шалфея, мяты;
- правильно питаться – употреблять больше орехов, овощей и фруктов, а мясо, рыбу, кондитерские изделия, полуфабрикаты, готовые фастфуды, молочные и кисломолочные продукты исключить.
Что касаемо более радикальных мер, то снять воспаление поможет обработка лунки, где был зуб, перекисью водорода или раствором марганцовки – лунка осторожно пропитывается ваткой с раствором. Снимут воспаление и боль примочки из Лидокаина или Новокаина, прохладительные компрессы.
Особенно такие предупредительные приемы могут оградить от дальнейших неблагоприятных последствий после удаления зуба мудрости. Не надо терпеть боль, и пить анальгетики – такие приемы не излечивают. А гнойный процесс может заявить о себе вовсю.
Оказывая себе экстренную помощь, следует помнить, что некоторые домашние приемы могут быть не такими уж и безобидными. Особенно это касается содовых и соляных растворов, полоскания которыми стоматологи не одобряют.
Выполнение перечисленных выше правил первоочередной помощи позволит в некоторой мере избавиться от запаха изо рта. Однако посетить стоматологический кабинет все-таки придется. Только там могут назначить правильную терапию, которая поможет полностью справиться с воспалительным процессом.
Ротовая микрофлора и запахи
Слизистая рта заселена бактериальной флорой. В каждом квадратном сантиметре проживают тысячи полезных бактерий. Они контролируют патогенные микроорганизмы (ограничивают их размножение), выделяют ферменты для переваривания пищи, обезвреживают токсины. Полезные бактерии не создают неприятного запаха. Напротив, если во рту у человека здоровая бактериальная флора, дыхание будет только свежим.
Гнилостный, неприятный, дурной запах появляется, когда количество условных патогенов превышает норму. Недружественные патогенные бактерии всегда присутствуют в ротовой флоре в небольших количествах. При снижении иммунитета, после травм или хирургических вмешательств баланс может нарушиться, и количество патогенов — вырасти.
Если до хирургического лечения (удаления) вы не страдали неприятным запахом изо рта, и галитоз появился только после – значит, деятельность гнилостных бактерий связана с недавней стоматологической операцией. По каким причинам лунка может не заживать и становиться источником инфекции и вони?
Лечение
Специалисты очистят ранку, в которую затем поместят сильнодействующее лекарство, с ним придется походить определенное время, пока десна не будет болеть и зловонный запах прекратится. При надобности могут быть назначены по показаниям более радикальные меры терапии обезболивающими препаратами, антибиотиками, дополнительное воздействие микроволнами или лазером.
При надлежащем лечении лунка заживет через неделю, а через две недели о воспалении вообще можно забыть.
Антибиотики
Такие препараты не назначаются только в том случае, когда зубы удаляются по причине их неправильного роста или пациент готовится к протезированию. Зато до и после хирургического вмешательства, особенно при воспалении десен или в связи с другими любыми сложностями их применение практикуется достаточно часто. Среди наиболее популярных на сегодня лекарств такого типа можно назвать:
- Кларитромицин – полусинтетический препарат II поколения группы макролидов. Используется для лечения острых и обостренных хронических патологий в челюстно-лицевой области. Применяется также для профилактики осложнений перед стоматологическими операциями пациентам, которых входят в группу риска. Противопоказан при гиперчувствительности к действующему веществу, а также беременным и кормящим мамам, малышам до 6 месяцев;
- Флемоксин – сильный препарат пенициллиновой группы широкого спектра действия. Противопоказан при инфекционном лимфолейкозе и мононуклеозе. При беременности и кормлении грудью показан лишь в исключительных случаях. Упаковка из 20 таблеток по 125 мг стоит около 230-250 руб.;
- Линкомицин – его действующее вещество гидрохлорид линкомицина, подавляет грамположительные аэробные и анаэробные бактерии вирусы, грибки. Отличается эффективностью, но имеет ряд противопоказаний: заболевания печени и почек, беременность, грудное вскармливание. Производится в ампулах и капсулах. Отпускается по цене за 20 ампул от 110 руб., такое же количество капсул от 140 руб.;
- Амоксициллин также отличается широким диапазоном действия, но имеет много противопоказаний: беременность и лактация, мононуклеоз инфекционного характера, патологии печени, дисбактериоз, лимфолейкоз, ОРВИ, бронхиальная астма, диатез. Разрешен для терапии пациентов старше 12 лет и весом, превышающим 40 кг. Выпускается в капсулах и таблетках по 500, 750 и 1000 мг, гранулах для приготовления суспензии. Упаковка 16 штук таблеток по 500 мг стоит в среднем 120 руб., гранул для суспензии от 140 руб. Возможно, вам также будет полезно ознакомиться с перечнем антибиотиков от стоматита.
Антибиотики – серьезные препараты, которые должен подбирать и назначать врач. Самостоятельное их применение возможно лишь при гнойном воспалении и невозможности в ближайшее время побывать у стоматолога.
Полоскание
Его используют для устранения остатков пищи и снятия воспаления. Для этого обычно назначаются антисептические и противовоспалительные препараты, а также различные отвары. Такой прием способствует быстрому заживлению раны.
Последствия удаления зуба мудрости
Из-за того что зуб мудрости располагается в труднодоступном месте и имеет достаточно большой корень, после удаления могут возникнуть осложнения. В результате возникшего воспаления неизбежно появление неприятного запаха.
Самые распространенные причины нежелательного запаха:
- Образование кисты. На месте удаленного зуба может появиться киста. Таким образом, организм человека обособляет клетки, чтобы инфекция не распространялась дальше. Внутри кисты скапливается жидкость, за счет чего может возникнуть резкий неприятный запах. Если оставить эту проблему без долдного внимания и лечения, то киста будет увеличиваться, возможно, образование флюса;
- Гематома. Нередким явлением после удаления зуба мудрости является образование гематомы. Особенно этому подвержены люди, страдающие диабетом. Появляется отек, распухает щека. В этом случае доктор делает разрез десны и выводит дренаж. Образовавшиеся выделения имеют неприятный запах.
- Сильное кровотечение. Удаление «восьмерки» в некоторых случаях вызывает сильные кровотечения, за счет которых возникает нежелательный запах. Если на протяжении нескольких дней не уменьшается выделение крови, необходимо хирургическое вмешательство, пациенту ушивают рану. Люди, страдающие гипертонией наиболее подвержены появлению этого недуга. Если имеются такие проблемы, то об этом необходимо предупредить врача.
Предлагаем ознакомиться: Как успокоить боль после удаления зуба
Появление неприятного запаха должно насторожить пациента. Это главный признак того, что в рану проникла инфекция. Специалист сможет с точностью выявить проблему и провести лечение.
Если после проведения манипуляций по удалению зуба появился неприятный запах из полости рта и воспалилась лунка, основными симптомами будут:
- дискомфорт и болезненность в проблемном месте, которые могут распространяться по направлению тройничного нерва;
- отечность близлежащих десен;
- сухость лунки с остатками кровяного сгустка;
- возможное выделение гноя из альвеолы;
- налет серого цвета;
- общая слабость во всем организме и др.
Также отмечается резкая боль во время приема пищи, чистки зубов, когда происходит механическое воздействие на проблемное место, воспаляются подчелюстные лимфоузлы, в некоторых случаях повышается температура тела.
Альвеолит
Характеризуется осложнение всеми вышеперечисленными симптомами. Боль сначала будет появляться периодически, а через 2-3 дня станет постоянной, при этом ее характер изменится от ноющей до резкой простреливающей. Локализация болезненности – не только место после удаления, но и такие находящиеся рядом зоны, как: висок, шея или ухо, в зависимости от того, какой зуб был удален.
Стоматологом назначаются противовоспалительные, антисептические препараты, иногда показана антибиотикотерапия. Для исключения наличия осколка зуба, врач направляет пациента на рентгеноскопию.
Периостит
Десна при этом будет отечной и покрасневшей. К болевым ощущениям приводит влияние горячей пищи, а также надавливание на проблемное место. Если срочно не обратится к специалисту, воспаление перейдет в гнойный процесс.
Для устранения гноя необходимо оперативное вмешательство, которое будет заключаться в рассечении слизистой. После проведения манипуляций, назначается прием антибиотиков, антибактериальных и обезболивающих препаратов.
Остеомиелит
Воспаление костной ткани, возникающее после удаления зуба. Такое осложнение бывает нечасто, проявляясь в случае нелеченого альвеолита. Характеризуется оно изменениями артериального давления, повышенной температурой тела, постоянными болями, увеличением лимфоузлов. Воспалительный процесс негативно влияет на весь организм, что отражается на результатах анализа мочи и крови.
Стоматит
Инфекционное заболевание ротовой полости, при котором образуются множественные участки покраснения, разные по форме и размерам. Лечение будет включать полоскание и промывание полости рта специальными средствами.
Абсцесс
Основное лечение будет направлено на отток гноя из проблемных мест, а также на прием лекарственных препаратов, назначенных стоматологом. Развитие абсцесса напрямую связано с несоблюдением основных правил ухода за поврежденной полостью после удаления зуба.
Избежать появления неприятного запаха изо рта в результате возникновения осложнений после проведенных манипуляций специалиста можно при условии внимательного отношения к своему здоровью. Необходимо четко следовать всем назначениям врача, способствующим быстрому заживлению раны, появившейся в месте удаления зуба.
Самым сложным удалением отличаются зубы мудрости. Поэтому именно при таких операциях необходимо тщательно соблюдать рекомендации стоматолога, чтобы не занести инфекцию.
Если у вас до операции не было стоматологических проблем (кариеса, гингивита, пульпита), и вы не страдали галитозом, при удалении неправильно растущего зубов мудрости есть вероятность инфицирования раны и появления неприятного запаха из полости рта после операции.
Зубы мудрости обладают сложной структурой корней, что сильно усложняет процедуру их удаления. Как следствие и период заживления может длиться дольше и тяжелее, чем при экстракции других единиц.
Обычно, если зуб мудрости удалили профессионально и аккуратно, без ошибок, и в послеоперационный период пациент придерживался всех рекомендаций врача, то риск занесения инфекции и развития осложнений минимален. Все неприятные симптомы проходят или же их интенсивность снижается в течение нескольких суток.
Если в ходе удаления были нарушения или не соблюдались правила гигиены ротовой полости и другие правила поведения после процедуры, то возможно появление следующей симптоматики:
- боль, распространяющаяся не только на рану, но и на соседние зубы, челюсть и горло;
- повышение температуры;
- нагноение;
- сухость лунки;
- парестезия – повреждение нервов, когда немеют язык, губы и подбородок.
Если после удаления зуба мудрости появились перечисленные симптомы, изо рта пахнет и не уменьшается отек, нужно обратиться за медицинской помощью (подробнее в статье: сколько в среднем держится отек щеки после удаления зуба?). Последствия игнорирования проблемы могут быть самыми серьезными, вплоть до заражения крови.
Возможные осложнения
Среди наиболее распространенных осложнений, которые возникают, если не принимать меры на первых порах возникновения воспалительного процесса, следует отметить:
- альвеолит – гнойное воспаление лунки после сложного удаления зуба с разрезом на десне. Воспалительный процесс начинается не сразу, а через несколько дней, и что характерно – без особых симптомов. Вначале просто ноет, но затем процесс переходит в пульсирующую постоянную боль. Пациенту трудно открывать рот, а десна стают сильно красными. Заболевание характерно при удалении зуба мудрости;
- остеомиелит – воспаление, затрагивающее костные структуры челюстей. Одно из самых опасных осложнений процедуры по удалению зуба. Главные признаки его боль нарастающего характера, выраженный отек на лице, повышенная утомляемость, распространение воспаления на другие участки челюсти. Лечится только в условиях стационара, главным образом, хирургическим методом;
- абсцесс десны – обычно образуется, когда при удалении зуба были задеты мягкие ткани рта. На этом места и образуются гнойные процессы. Несоблюдение пациентом послеоперационных рекомендаций усугубляет ситуацию.
Альвеолит несложно распознать. Врач, осмотрев полость рта, легко определит заболевание и назначит необходимое лечение. Если все делать правильно, то на выздоровление не уйдет много времени.
Неправильные действия пациента
Нарушение рекомендаций врача – наиболее частая причина осложнений, инфекций, воспалений и дурного запаха изо рта. Как правильно вести себя после хирургического лечения обычного резца и зуба мудрости?
После того, как зуб вырван, нельзя:
- принимать пищу (3 часа, а иногда 4 часа);
- чистить щёткой (1 день);
- трогать лунку языком (чтобы не вытянуть сгусток, который образуется в ранке после операции);
- активно полоскать (также чтобы не удалить сгусток). Врачи не рекомендуют полоскать лунку в течение 2-х дней. При необходимости – можно делать «ванночки» — держать лекарственный раствор без полоскающих движений во рту.
После удаления в лунку кладут марлевый тампон. Его необходимо выплюнуть через 10-15 минут. Если оставить тампон на более продолжительное время, к нему прилипнет кровяной сгусток.
Удаление сгустка является частой причиной воспалений и неприятного запаха. Такое осложнение получило название сухой лунки. Сгусток является барьером для инфекции, защищает рану от болезнетворных микроорганизмов и воспалений.
Также нельзя курить первые 3-4 часа после стоматологической операции.
Профилактика
Основным профилактическим приемом при боли и неприятном запахе изо рта после удаления зуба является выполнение всех рекомендаций стоматолога. Кроме того, избежать воспалительного процесса помогут такие приемы:
- чтобы прекратись кровотечение, которое обычно бывает в первый день удаления, надо приложить к ранке ватный тампон. Больше информации о том, как остановить кровь после удаления зуба читайте в данной статье;
- в этот же день отказаться от любого полоскания;
- не есть острого и принимать только теплую пищу;
- при сильной боли можно принять обезболивающее и приложить к щеке компресс со льдом;
- ни в коем случае ни курить и не употреблять спиртное;
- назначенной врачом полоскание применять на протяжении недели;
- чистить зубы можно на второй после удаления день, но при этом стараться не задевать еще свежую ранку.
Факторы риска
Неприятный отталкивающий запах изо рта, образующийся после удаления зуба, который к тому же сопровождается отвратительным привкусом гноя, чаще всего сигнализируют о начале воспалительного процесса, происходящего в десне.
Это может быть связано с занесением и развитием в лунке инфекции. В большинстве случае такое происходит после экстракции зуба мудрости. Но есть и другие причины, которые могут вызвать незабываемое амбре из полости рта:
- Ненадлежащее выполнение рекомендаций стоматолога в период после проведенной операции. Обычно пациенту советуется некоторое время не употреблять горячую жидкость и пищу, стараться не травмировать образовавшуюся ранку щеткой, не задевать языком или ложкой. Рекомендовано полоскать рот специальными дезинфицирующими средствами, способствующими более быстрому заживлению. И если пациент не выполняет эти правила, то риск возникновения гнилостного процесса и появление гнилостного запаха из лунки возрастает.
- Образование повышенной сухости в лунке. Когда зуб удален, то по истечению примерно трех часов на месте экстракции должен образоваться сгусток кровяных телец. Он закрывает ранку и не дает вредным бактериям проникать внутрь. Удалять его самостоятельно при помощи щетки нельзя. Однако бывают ситуации, когда такой сгусток выходит сам, а лунка становится сухой, что является комфортным условием для распространения инфекции. Чаще всего с такой ситуацией сталкиваются те люди, у которых нарушена свертываемость крови и те, кто много и часто курит.
В зоне риска оказываются и представительницы прекрасного пола, принимающие гормональные препарата для контрацепции. И если фактор появления зловонного запаха кроется в этом, то врач сможет провести все необходимые мероприятия, носящие профилактический характер и помогающие минимизировать такую проблему.
- Воспаление пародонта. Серьезное заболевание, часто провоцирующее появление осложнений и инфекции, что провоцирует развитие гнилостного процесса. В таком случае, пациента, у которого был удален зуб, на протяжении периода заживления должен наблюдать стоматолог.
- Оставшийся осколок зуба. Когда удаление было произведено плохо, а в десне остался кусочек зуба, то он будет провоцировать развитие воспалительного процесса. В области раны образуется отек мягкой ткани, появятся болевые ощущения, которые в последующем будут только усиливаться. Чаще всего такая ситуация происходит после после удаления зуба мудрости. Положение его в десне горизонтальное и с небольшим наклоном, что усложняет проведение врачебного вмешательства. Не редкость, когда такой зуб не до конца бывает прорезанным, поэтому и риск того, что в десне останется осколок возрастает в несколько раз.
- наличие хронического заболевания носоглотки или рта (синусит, гайморит, ринит, аденоидит) на момент удаления зуба;
- если рядом расположены больные участки с пульпитом или периодонтитом;
- если на корне зуба имелась гранулема или киста, которую врачу пришлось выскабливать;
- плохое гигиеническое состояние ротовой полости на момент проведения процедуры (камни, имеющийся обильный налет).
Что делать
Если несвежее дыхание спровоцировано воспалением, то сначала нужно установить точную причину, которая вызвала патологическое состояние. После проведения обследования специалист назначает терапевтические мероприятия.
В случае удаленного кровяного сгустка или сформировавшейся сухой лунки потребуется повторно наложить в полость лекарственный препарат, который поможет ускорить процесс заживления и восстановления тканей.
Когда неприятный запах появляется на фоне болезней стоматологического характера, то вернуть свежее дыхание можно только после полного их излечения.
Если в полость случайно попал осколок зуба или инструмента, проводят его извлечение. После этого в лунку закладывается лекарство, и рана зашивается.
Почему появляется кисловатый оттенок?
Кислый привкус во рту может говорить о гастрите или язве желудка
Часто резкий или легкий кислый привкус во рту после еды возникает у любителей фруктов и острых блюд, приправленных соусами на основе лимона или специй. Это абсолютно нормально и полностью проходит после полоскания чистой водой. Если присутствует плохой запах изо рта , першение в горле или ноющая боль в десне, следует немедленно обратиться за диагностикой и медицинской помощью. Наиболее распространенные причины такой своеобразной «кислинки»:
- Некоторые виды гастрита: если нарушена кислотность слизистой желудка, ее естественный уровень резко повышается. У человека появляются приступы боли, тошноты и дискомфорта, пища плохо переваривается и беспокоит отрыжка. Во время обострения становится постоянно кисло во рту, меняется привычный вкус продуктов.
- Проявление язвы желудка: кроме неприятного резкого оттенка, у пациента ухудшается общее самочувствие. Он ощущает боль в районе пищевода, которая отдает по всей брюшной полости.
- Рефлюкс или забрасывание содержимого желудка в верхнюю часть пищевода. Это часто возникает на фоне разных патологий развития клапана, который должен смыкаться максимально плотно и без зазора.
- Нарушение работы печени и желчевыводящих путей: горьковатая жидкость при избыточном выделении легко попадает в верхний отдел желудка, портит слизистую во рту.
- Неправильный питьевой режим: диетологи утверждают, что кислый привкус во рту и налет на деснах могут сигнализировать о недостаточном употреблении чистой воды. Это встречается у людей, предпочитающих копченые и соленые продукты, пьющих много кофе или крепкого чая. Хорошая жидкость нужна организму для всех процессов, очищения от токсинов и естественного обновления слизистой.
- Желтый язык и кислый налет во рту встречается у курильщиков и людей, не знающих меру с алкоголем.
Жалобы на кислый вкус у женщин в положении часто встречаются на поздних сроках. Это связано с увеличенной маткой, которая подпирает желудок и мешает его нормальной работе. Даже при соблюдении диеты и дробном питании небольшое количество желчи выбрасывается в пищевод, провоцируя изжогу и дискомфорт.
Среди основных и распространенных причин – патологические процессы во рту, при которых портятся зубы или болят десны. Кислый привкус является одним из симптомов кариеса, присутствует после пломбировки или протезирования, беспокоит при пародонтозе . Установить причину можно только после консультации у стоматолога и проведения нескольких анализов.
Как появляется неприятный запах?
Еще один признак не совсем нормального заживления лунки после удаления зуба – неприятный запах. Это показатель того, что в ротовой полости начался воспалительный процесс, часто инфекционного характера. Он может затрагивать как костные, так и мягкие соседние ткани. Обычно после удаления зубной единицы, чаще всего зуба мудрости, запах появляется на 3–5 сутки после проведения операции. По этой причине, если изо рта воняет гнилью, нужно незамедлительно обращаться к специалисту.
Однако неприятный запах не всегда говорит о наличии воспалительного процесса. Его причиной может послужить прием медикаментозных препаратов, предназначенных уменьшить болезненные ощущения, предотвратить воспалительный процесс и обеспечить антибактериальный эффект. Запах уйдет по окончании терапевтического курса, когда восстановится микрофлора и нормализуется слюноотделение.
Открытая лунка
Под открытой лункой подразумевается отсутствие кровяного сгустка, который в норме образуется после процедуры. В некоторых случаях он выходит самостоятельно, но чаще к его вымыванию приводит несоблюдение рекомендаций врача. Чтобы избежать такой проблемы, в течение суток-двух нельзя делать полоскания ротовой полости ни отварами, ни водой, ни какими-либо лекарствами, нежелательно пить с помощью трубочки, т. к. во рту создается вакуум, способный «выдернуть» сгусток из лунки.
Сгусток нужен для защиты раны от бактерий и микробов, имеющихся в ротовой полости. Без него инфекция легко проникает в не зажившую после удаления зуба ранку, вызывает воспаление, что характеризуется появлением плохого запаха изо рта.
Существует группа людей, у которых вероятность самостоятельного вымывания сгустка более высока. В их число попадают:
- курящие;
- люди с нарушениями свертываемости крови;
- женщины в период гормонального лечения.
Заболевания десны
Причиной, по которой изо рта плохо пахнет после удаления зуба, служит наличие заболеваний десен и других стоматологических патологий. В ротовой полости присутствует большое количество патогенных микробов. Они могут спровоцировать воспалительный процесс, распространяющийся на соседние зубы, особенно на те, где есть налет, камни, и на мягкие ткани, приводя к развитию всевозможных болезней:
Первая помощь дома
Итак, если десна воспалилась, болит, а попасть к доктору пока не получается, что делать, чем снять воспаление десны дома? Можно делать ванночки из теплых отваров растений, которые обладают антисептическим действием – ромашка, шалфей.
Только не забывайте, что полоскать ими рот нельзя! Отвар нужно просто подержать во рту около 1-2 минут. Повторять эту процедуру рекомендуется несколько раз в час, пока неприятные ощущения не притупятся.
В первые дни к щеке с больной стороны можно прикладывать холод, который ослабляет неприятные ощущения и тормозит развитие болезнетворных микроорганизмов. Кроме того, холодные компрессы отлично снимают отеки и снижают риск появления гематом после оперативных вмешательств.
Для этой цели хорошо подойдут смоченное в холодной воде полотенце, лед или другие продукты из морозильной камеры (их обязательно нужно завернуть в полотенце или другую ткань), бутылка с холодной водой. Если боль не утихает, можно принять обезболивающее «Кеторол», «Найз», «Баралгин» и др.
Увлекаться самолечением не стоит, т.к. вышеперечисленные меры помогут лишь ослабить симптомы, но не устранить первопричину патологии.
Почему развивается воспаление
К общим факторам, на фоне которых может развиться патологический процесс, относится достаточно много провоцирующих воспаление ситуаций. Среди них простудные заболевания и острые респираторные вирусные инфекции, протекающие в организме, общее ослабление иммунитета, глубокий кариес, являющийся источником патогенных микроорганизмов. Что касается основных причин, то тут специалисты выделяют следующие:
- глубокое повреждение десны в результате травмирования: во-первых, промах мог допустить стоматолог-хирург, который проводил процедуру (оставил в ранке обломки корня, например). Также неприятность могла произойти еще и на фоне сложного удаления зубов, например, восьмерок (зубы мудрости), у которых были переплетены корни, сильно разрушенных или кривых, не до конца прорезавшихся зубов.
- ошибки при введении анестезии,
- занесение инфекции из-за плохой обработки медицинских инструментов,
- в лунке нет сгустка крови: сразу после процедуры удаления, врач сжимает края ранки для того, чтобы она наполнилась кровью. Через некоторое время она превращается в сгусток, который призван защищать поврежденную область от воздействия вредоносных микроорганизмов. Теперь понимаете, почему специалисты настоятельно рекомендуют исключить резкие полоскания в первые сутки после оперативного вмешательства? Чтобы не повредить этот самый сгусток или не вымыть его,
- инфицирование ранки из-за халатности пациента: отсутствие интенсивных полосканий – это не повод полностью исключать ежедневные гигиенические процедуры. Так же важно помнить правило: покушали – сделайте ротовые ванночки с отварами трав или антисептиков (но не полоскания!!!).
Устранение неприятного симптома
Если пациент не имеет возможности обратиться к стоматологу в ближайшие несколько дней, то он может попробовать самостоятельно устранить неприятный запах из полости рта. Меры позволяют приостановить процесс распространения в ротовой полости болезнетворной флоры. Проводить гигиенические полоскания рекомендовано несколько дольше, чем обычно – до 7 минут вместо положенных 3-4 минут.
Важно уделить больше внимания межзубным пространствам, так как именно в этих участках скапливается наибольшая часть налета. Наравне с пастой и щеткой рекомендовано пользоваться ершиками, ирригаторами, зубными нитями. Тщательная гигиена рта позволяет предупредить распространение инфекционных агентов вглубь альвеолярных мягких тканей.
Почему болит и опухает десна?
Часто после удаления или лечения зуба отекает и болит десна (см. также: что делать, если возникло воспаление десны после удаления зуба мудрости?). Это реакция на постороннее вмешательство, особенно в тяжелых случаях, таких как экстракция зубов мудрости. Болевые ощущения и отек могут в норме присутствовать до нескольких дней, но их выраженность должна постепенно уменьшаться. Причина такой симптоматики – естественный процесс заживления раны и близлежащих мягких тканей после травмирования в ходе проведения различных манипуляций.
Если симптомы долго не проходят и усиливаются, то это может свидетельствовать о развитии осложнений, вызванных инфицированием лунки. Причиной попадания инфекции в заживающие ткани служат:
- Несоблюдение всех рекомендаций врача. После удаления единицы необходимо исключить употребление горячей пищи и напитков, нельзя трогать лунку языком, щеткой и другими предметами. Категорически запрещено полоскание полости рта препаратами для дезинфекции и заживления.
- Сухая лунка. Если сгусток вымылся или вышел сам, то лунка остается незащищенной от бактерий ротовой полости.
- Оставшийся осколок. Когда процедура была выполнена некачественно, в десне может остаться часть зуба. Такое чаще случается при удалении зубов мудрости. Такой осколок вызывает воспалительный процесс и мешает нормальному заживлению ранки. Как следствие десна опухла и болит, появляются и другие симптомы, характерные для воспаления (рекомендуем прочитать: что делать, если опухла десна возле зуба мудрости?).
Использование целебных трав
Хорошо в этом случае помогает отвар дуба. Средство оказывает противовоспалительный и вяжущий эффект. Результат обычно бывает замечен сразу, но полностью устранить проблему получается только через 2 недели интенсивного полоскания.
Ромашка обладает ранозаживляющим и противомикробным действием. Чтобы приготовить отвар, берут 2 ст. л. цветков, заливают стаканом кипятка и настаивают 20 минут. Полоскать рот следует два раза в день.
Еще одним высокоэффективным противовоспалительным средством является шалфей. Он помогает устранить отеки и снять болезненность десен. Чтобы приготовить настой, 2 ст. л. травы заваривают стаканом кипятка, выдерживают пару часов, после чего полощут рот. Курс — до полного выздоровления.
Крапива считается замечательным кровоостанавливающим растением, поэтому ее используют при интенсивном кровотечении. Заваривают ее таким же образом, что и шалфей, и применяют для полосканий 2 раза в день.
Терапевтические процедуры
Для удаления зуба характерен специфический запах рта, гной, отмирание тканей в лунке. Такие явления провоцируют воспаление, которое также может сопровождаться иными симптомами.
При проявлении этой клинической картины необходима помощь стоматолога.
Пациенту вводят анестезию, очищают лунку от налета специальными инструментами, удаляют омертвевшие ткани и остатки пищи.
Чтобы предотвратить повторное появление рассматриваемой клиникой, применяется антисептический раствор, противомикробное средство.
Затем стоматолог производит скрытую полость лунку с целью последующего заложения лекарства. На разрез накладывают швы, повязку с антисептиком.
Положительный результат терапии зависит от соблюдения предписаний врача.
Чтобы предотвратить запах и прочие рассмотренные выше симптомы, характерные для удаления зуба, рекомендуется дома:
- питаться, не употребляя рафинированную пищу;
- составить рацион из растительных продуктов;
- частая, но аккуратная чистка зубных рядов;
- длительное применение назначенного антисептика для полоскания;
- ежедневный осмотр лунки с целью подтверждения отсутствия гноя и присутствия сгустка.
Для удаления восьмерки характерен такой процесс, как регенерация тканей. Он должен проходить правильно. Для этого пациенту следует придерживаться некоторых правил:
- если стоматолог наложил на рану тампон, его удаляют через 20 минут;
- на протяжении 2 часов после оперативной манипуляции запрещено принимать пищу и пить;
- в первые 24 часа нельзя активно полоскать ротовую полость, в противном случае нарушится сгусток;
- отказ от горячих банных процедур на протяжении 7 дней;
- не выполнение физических нагрузок в течение недели после манипуляции;
- первые 48 часов нельзя пить спиртное;
- отказ от табачных изделий;
- нельзя греть щеку со стороны вырванной восьмерки. Тепло способствует активации воспаления;
- нельзя трогать рану, удалять сгусток своим языком либо инородным предметом;
- болевой синдром можно снять Ибупрофеном, Кетановом;
- ухаживание за ртом, чистка зубных элементов. При проведении этих манипуляций нельзя трогать рану.
Соблюдение вышеуказанных правил – 95% гарантия успешного заживления лунки. Пренебрежительное отношение больного – риск развития вышеуказанных и других осложнений.
Причины кровоточивости десен
Если кровоточит десна, причины могут быть следующие:
- Неправильная гигиена полости рта, которая может заключаться в использовании зубной щетки с жесткой щетиной и слишком интенсивной чистке зубов. Происходит травмирование десен, и появляется кровь.
- Небрежный уход за полостью рта. Многие люди уделяют чистке зубов не больше минуты, что не позволяет полностью удалить остатки пищи, которые способствуют образованию зубного камня. Он может находиться как над десной, так и под ней. Если зубной камень под десной, то он начинает ее отодвигать от зуба, вызывая кровоточивость.
- Болезни полости рта. Такие заболевания, как гингивит, периодонтит, пародонтит и пародонтоз, часто сопровождаются кровоточивостью десен. Значительно реже подобное явление вызывают совершенно другие болезни: ОРВИ, сахарный диабет, рак крови, гемофилия.
- Прием некоторых лекарств. Определенные препараты способны разжижать кровь, но у них есть побочные эффекты, одним из которых является кровоточивость десен. Как только больной перестает их принимать, приходят в норму и десны.
- Неполноценное питание. Недостаток витаминов B, C, E и K очень сильно отражается на здоровье десен.
- Стоматологические процедуры. Если в результате проведенных манипуляций кровоточит десна, причины этого могут заключаться в плохо установленных коронках или некачественных зубных протезах, которые могут травмировать десны. Довольно редко появление крови может возникнуть после чистки зубов в стоматологической клинике.
Травы
Параллельно с медицинскими препаратами при тухлом запахе изо рта после удаления зуба допускается применение народных средств, однако это следует предварительно согласовать с врачом. Эффективно устранить неприятный аромат из полости рта позволяют:
- Отвар дубовой коры и шалфея. Для приготовления раствора следует взять две столовых ложки растительного сырья, залить кипятком в количестве 1 стакан, остудить. Использовать для обработки рта горячие растворы крайне нежелательно, так как под воздействием тепла стимулируется активность патогенной флоры.
- Свежие листья уса золотого. Следует измельчить лист растения, пока не выступит сок, который затем в равных частях разводят кипяченой водой. Использовать такое народное лекарство следует двукратно в сутки.
- Эвкалипт. Данное растение не только позволит освежить дыхание, но и уменьшит интенсивность и выраженность процессов воспаления.
При отсутствии результата от домашнего лечения в течение двух суток, важно срочно обратиться к стоматологу.
Очищение языка
В процесс гигиенической процедуры немаловажно очищать также и спинку языка. Связана такая необходимость с тем, что в этой области сосредотачивается основная масса патогенных микроорганизмов. При отсутствии возможности посетить врача можно также смачивать ватные тампоны в антисептических растворах и прикладывать их к поврежденному участку. Если область раны сильно кровоточит, к ней прикладывают ватный тампон, который смочен в перекиси водорода. Интенсивность болезненного ощущения можно снизить, используя примочки с «Лидокаином» или «Новокаином».
Как лечится гингивит?
Симптомы и лечение этого заболевания способен определить лишь квалифицированный стоматолог. Дело в том, что признаки недуга схожи с теми, что сопровождают пародонтит, пародонтоз и стоматит, поэтому заниматься самолечением не рекомендуется. Гораздо лучше выделить время и нанести визит в клинику.
Лечится гингивит на ранней стадии достаточно быстро. Острая форма проходит за 10 дней. Хроническая стадия требует более длительного лечения. Врач обязательно должен назначить комплекс витаминов для повышения иммунитета. Также пародонтолог может выписать витаминные инъекции («Цианокобаламин», «Линкомицин») и лидокаин. Витамины устраняют симптомы, а лидокаин уменьшает боль.
Иногда это заболевание лечат антибиотиками, которые наиболее эффективны при острой стадии. Кроме того, они предупреждают развитие осложнений.
Также для лечения применяют мази и гели, снимающие воспаление и облегчающие симптоматику. Покрывая десну тонкой пленкой, они способствуют защите ее от температурных и химических раздражителей.
Как убрать кислый привкус?
Начать лечение или профилактику можно после установки точной причины. Если больного беспокоит проявление кариеса, необходимо тщательно пролечить все поврежденные зубы. Стоматолог прочищает каналы, аккуратно пломбируя каждый. Затем убираются твердые камни и известковые отложения. Обычно после такого ухода и комплексной чистки неприятный кислый оттенок исчезает без следа.
Когда у больного во рту кисло и белый налет появляется из-за обострения пародонтоза, подбирается длительное лечение. Оно начинается с удаления свища и прочистки гнойного хода, который соединяет корень зуба и десну. Ротовую полость облучают прибором особого спектра на физиопроцедурах, ставят временные пломбы. В домашних условиях следует соблюдать такие предписания дантиста:
- после обеда и каждого перекуса тщательно выполаскивать рот раствором Фурацилина или Хлоргексидина (их можно приобрести в аптеке);
- смазывать воспаленное место антисептическим гелем Холисал или Метрогил Дента ;
- использовать для гигиены пасты из специальных серий (Сплат или Лакалут с повышенным содержанием кальция);
- делать аппликации из настойки прополиса .
Чтобы победить опасные бактерии, понадобится пройти курс антибиотикотерапии. Для этого в течение 5–7 дней принимают Линкомицин или Доксициклин. Для укрепления общего состояния здоровья и иммунитета полезно пить бифидобактерии (Линекс или Бифидумбактерин). Улучшит кровообращение в деснах и укрепит эмаль комплекс с высоким содержанием кальция, магния и витаминов группы В.
Врачебная помощь
Если после того, как доктор вырвал зуб, появился неприятный запах, такое состояние требует незамедлительного лечения. При появлении гнилого запаха в стоматологии применяются свои методы лечения вырванного зуба. Врач промоет ранку перекисью или применяя другое антисептическое лекарство. При развитии инфекции чаще всего назначаются антибактериальные и антисептические средства, обезболивающие препараты.
Если все манипуляции будут выполнены правильно, через 10 дней все неприятные симптомы исчезнут самостоятельно.
Использование антибиотиков для лечения десен
Если никакие средства не помогают устранить проблему, то на помощь приходят антибиотики. При воспалении десен, вызванном различными микроорганизмами, применяют следующие медикаменты:
- «Метронидазол».
- «Линкомицин».
- «Клиндамицин».
- «Номицин».
- «Сифлокс».
- «Таривид».
Антибиотики при воспалении десен следует использовать только по назначению врача, категорически запрещено заниматься самолечением. Такие препараты показаны только для лечения средней и тяжелой формы пародонтита. Антибиотики назначают сразу или во время снятия зубного камня.
Запах из лунки после экстракции восьмерки мудрости
Чаще всего изо рта начинает неприятно пахнуть после того, как вырвали зуб мудрости. Это объясняется тем, что у таких зубов более сложная и уязвимая корневая система, чем у прочих. Во время воспаления лунки от зуба мудрости пациентов, помимо боли и озноба, преследует неприятный привкус. При этом вонь изо рта бывает обусловлена следующими причинами:
- Даже относительно слабый патоген, которым заражена микрофлора рта, не позволяет образоваться защитному кровяному сгустку. Лунка так и остается открытой раной, в которую беспрепятственно проникает любая инфекция.
- Часть тканей ротовой полости уже пострадала от инфекции. Поэтому на месте удаленного зуба образуется киста — доброкачественная опухоль, которая отгораживает здоровую слизистую от пораженной. Запах исходит от серозной жидкости, которой заполнена киста.
- Во время операции по удалению зуба произошло кровоизлияние в десну, отчего образовалась гематома.
Если в лунке из-под зуба мудрости остались кусочки стоматологических расходников или осколок корня, то воспаление и галитоз неизбежны.
Лечение и профилактика
Чтобы избежать галитоза и связанных с ним осложнений, нужно знать о профилактических мерах. Одна из них — полоскания. К ним также прибегают, когда проблема уже возникла, а срочно посетить врача невозможно.
Растворы для полосканий
Во время лечения и профилактики галитоза в рот набирают особые растворы, которые удерживают над раной в течение 2 минут.
При этом соблюдают следующие правила:
- Избегают интенсивных полосканий, чтобы не повредить слизистые и не вымыть из лунки защитный сгусток.
- Первую процедуру проводят как минимум через 48 часов после экстракции зуба.
- Между сеансами должно проходить 7-8 часов.
Простейшие антисептики для полосканий продаются в аптеках, это 0,05% раствор Хлоргексидина и 0,01% раствор Мирамистина. Для тех же целей можно растворить в 100 мл воды 1 таблетку Фурацилина, снимающего воспаление.
Помимо этих, для полосканий используют следующие натуральные средства:
- Отвар аптечной ромашки. Чтобы его приготовить, 2 столовых ложки сухого сырья 20-30 минут выдерживают в 400 мл кипятка.
- Сбор, приготовленный из равных частей шалфея, ромашки, зверобоя и коры дуба. Около 1 столовой ложки сбора заваривают теплой водой и настаивают 30 минут.
- Настой из свежего золотого уса. Чтобы его приготовить, столовую ложку растения разминают до выделения сока, и заливают 200 мл кипятка, а затем выдерживают 30 минут.
- Настой на коре дуба. Его получают, вскипятив в 400 мл воды 2 столовых ложки средства. Полоскание процеживают, а затем полчаса настаивают.
- Эвкалиптовый отвар: 2 столовых ложки листьев заливают 400 мл теплой воды, и ждут около получаса.
Для полосканий при галитозе также подойдут алоэ, календула и корень аира.
Что можно делать при беременности
После удаления свежая ранка всегда болит. Если после лечения десна болит и боль не прекращается на протяжении нескольких дней, а к ней еще добавился неприятный запах изо рта, то визит к стоматологу не стоит откладывать. В подобных случаях врач:
- промывает ранку раствором марганцовки или перекисью водорода под местной анестезией;
- назначает курс физиопроцедур;
- рассказывает, как в домашних условиях делать полоскания раствором калия перманганата.
Боль станет менее сильной, а запах — не столь разительным. Есть несколько проверенных временем рецептов:
- Мирамистин либо Хлоргексидин — антисептики, которые отлично справляются с гнилостными бактериями. Лекарства удобны тем, что использовать их для полоскания можно сразу. Они продаются в готовом виде.
- Полоскания настоем шалфея. Чтобы подготовить целебный раствор, нужно чайную ложку сухой лекарственной травы залить 250 мл кипятка и настаивать не менее часа в теплом месте. Полоскания нужно делать составом, охлажденным до комнатной температуры.
- Полоскания отваром ромашки. О противовоспалительных свойствах этого лекарственного растения знают все. Отвар для полоскания готовится таким же образом, как и настой шалфея.
Домашние полоскания облегчат состояние. При этом не стоит игнорировать визит к специалисту, который должен добиться полной чистоты раневой поверхности десны.
Здесь все зависит от того, на каком сроке находится беременная женщина, а также от возможной угрозы здоровью будущей маме и малышу. Риск не должен превышать пользы. Воспаление нужно лечить в любом случае – ведь источник заразы и инфицирования опасен не только для мамы, но и для самого малыша.
В любом случае не нужно слушать советы друзей, рекомендации на различных форумах в интернете и пытаться самостоятельно подобрать безопасное народное средство. Нужно в обязательном порядке проконсультироваться с врачом.
Что точно не навредит – ванночки из солевых растворов и травяных отваров. Однако нужно строго следовать дозировке и соблюдать график этих мероприятий. Во втором триместре беременности (относительно безопасном) можно принимать некоторые нестероидные препараты с противовоспалительным эффектом, гомеопатические средства.
Появление неприятного аромата после установки имплантов или протезов
В некоторых ситуациях неприятно пахнет изо рта после протезирования либо после того, как установлены импланты. В данном случае появление неприятных ощущений обусловлено такими причинами:
- Отсутствие должного ухода за полостью рта, вследствие чего развивается кариес.
- Неплотное прилегание конструкции к деснам, вследствие чего в полость проникают частички пищи и слюнная жидкость, начинают развиваться болезнетворные микроорганизмы.
- Нарушение герметичного соединения коронки и зуба. Такое возникает при плохом качестве стоматологического цемента либо при неправильной установке устройства.
- Щель между зубом и коронкой.
При неприятном запахе изо рта что делать? Важно как можно раньше посетить доктора, который проведет соответствующее лечение в воспаленных тканях, это предупредит возможные осложнения.
Витамины от кровоточивости десен
У вас кровоточат десны и неприятный запах изо рта? Так знайте: зачастую эти симптомы преследуют человека, пища которого является бедной на витамины. Поэтому обязательно следует включать в свой рацион продукты, богатые полезными веществами, микро- и макроэлементами..
Витамин C помогает предотвратить воспаление и кровоточивость десен и способствует снижению восприимчивости слизистой полости рта к различным инфекциям. Этот витамин содержится в капусте, цитрусовых, зеленом луке, сельдерее, красном перце, картофеле, киви, петрушке, смородине, шпинате, малине.
Витамин B делает крепкими десны и зубы, не дает появляться трещинам и язвочкам в ротовой полости. Содержится он в спарже, чесноке, гречневой каше, хлебе грубого помола, молоке, баранине, яблоках, куриных яйцах, овсянке, миндале, брюссельской капусте, говядине.
Витамин PP препятствует развитию стоматита и гингивита. Его можно найти в таких продуктах, как фасоль, дрожжи, гречневая крупа, говяжья печень, ананас, свекла.
Витамин E хорошо заживляет ранки на слизистой. Им богаты горох, хлеб, проросшая пшеница, салат, кукуруза, растительное и сливочное масло, молочные продукты, бобовые, треска.
Витамин K не допускает кровоточивости десен. Его много в авокадо, тыкве, капусте, моркови, сое, помидорах, бананах, шпинате, огурцах, шиповнике, молочных продуктах.
Если кровоточат десны, и неприятный запах изо рта доставляет дискомфорт, то лучшим средством в этом случае будет морковный сок. Его следует пить с утра перед приемом пищи, и уже через несколько дней десны станут здоровее.
Что можно предпринять в домашних условиях
Что делать, если посетить врача нет возможности? Если изо рта воняет после посещения зубного врача и после удаления зуба, убрать аромат можно и самостоятельно. Но при первой же возможности посетить доктора, который проведет грамотное лечение зубов и подскажет, как избавиться от неприятного запаха. В течение суток после процедуры может наблюдаться кровоточивость из лунки. Это может сопровождаться появлением стального или металлического привкуса и аромата. Если появляется гнилостный аромат, это свидетельствует о том, что в лунке происходит гнилостный процесс, ткань гниет и инфицирована. В таком случае нужно срочно к врачу, который будет убирать осложнения.
При появлении кровоточивости можно взять стерильную салфетку, скрутить ее в виде жгута, приложить к ранке на несколько минут и прикусить. Нельзя удалять сгусток. При появлении выраженных болезненных ощущений можно принять обезболивающее (анальгин, кетанов). Снизить отечность мягких тканей можно при помощи холодных компрессов. Их прикладывают к щеке со стороны удаленного зуба. Также уменьшить выраженность отечности можно с помощью десенсибилизирующих препаратов, например, тавегил.
В первые сутки после процедуры нельзя чистить зубы со стороны удаленной единицы. Употреблять только мягкую, пюреобразную пищу, она не должна быть горячей или холодной. На протяжении нескольких дней следует отказаться от сильных физических нагрузок. Для полоскания нужно применять отвар из ромашки и соды, хлоргексидин, раствор фурацилина. Но не проводить стандартное полоскание, а делать ванночки.
Сода и соль под запретом
Во время оказания экстренной помощи следует помнить, что отдельные домашние процедуры могут значительно навредить здоровью. Некоторые пациенты спешат воспользоваться содовыми или солевыми растворами после процедуры экстракции зуба. Стоматологи выступают против таких средств. Их компоненты не только эффективно дезинфицируют рану, но и вызывают разрушение кровяного сгустка. При неграмотном самолечении ситуация может усугубляться. Не следует трогать область после удаления зуба, даже в том случае, если она источает неприятный запах и имеет темный цвет.
Симптомы заболеваний ротовой полости
Прежде чем поставить окончательный диагноз, врач проводит визуальный осмотр и опрашивает больного. Если немного во рту кисло и белый налет на языке еле заметен, может идти речь о неправильной гигиене. Использование плохой зубной пасты и чистка «на скорую руку» не убирает все бактерии и патогенные микроорганизмы. Они активно размножаются, вызывая нетипичный привкус.
При установке протеза или имплантата дантисты не всегда идеально подгоняют коронки по размеру. При пережевывании пищи они натирают нежные ткани десны или царапают внутреннюю поверхность щеки. Выделяется небольшое количество крови, которую больной просто не замечает. Этих капель хватает, чтобы придать слюне неприятный кисловатый оттенок. Такая же проблема возникает при пломбировании некоторыми марками стоматологического материала, содержащего определенные компоненты на основе щелочей или кислот.
Если проблема появилась на фоне кариеса, у пациента присутствуют и другие симптомы:
- неприятный запах при разговоре;
- изменение оттенка эмали на зубах;
- боль при употреблении горячих или слишком холодных блюд.
Не менее часто желтый язык и кислый налет во рту сопровождает развитие пародонтоза и гингивита . Источниками этих заболеваний является патогенная микрофлора. Вредные бактерии активно размножаются, оставляя продукты своей жизнедеятельности в виде пленки на слизистой и щеках. Появление особенных газов при распаде формиреют неприятный привкус и подсказывает человеку, что необходимо срочно посетить стоматолога.
Если проигнорировать этот яркий признак воспаления, через некоторое время в ранках и углублениях скапливаются колонии стафилококков или стрептококков. Формируется гнойный свищ, который может привести к общему заражению крови, болезням внутренним органов и даже инфаркту. Симптомы, указывающие на обострение пародонтоза или гингивит:
- запах изо рта;
- боль, зуд в десне ;
- появление белесого образований (наростов и шишек ) на десне возле зубов;
- ощущение их подвижности при надавливании;
- покраснение и отечность, которая мешает плотно сомкнуть челюсть.
Профилактические мероприятия
Чтобы защитить себя от нежелательных проблем в первую очередь нужно выполнять все указания врача. Ниже – несколько простых рекомендаций, которых желательно придерживаться:
- ватный тампон, который специалист сразу же после процедуры поместил в поврежденную механическим воздействием лунку, нужно достать не позже чем через двадцать минут. Если его вынуть слишком рано, в ранку запросто «проберется» инфекция. Если передержите больше положенного времени, то он может препятствовать образованию сгустка, который так необходим для полного заживления и защиты,
- важно отказаться от еды и воды на протяжении первых 2-3 часов после процедуры, а в ближайшую пару дней лучше отказаться от слишком горячих блюд и напитков т.к. они могут спровоцировать кровотечение,
- пару дней нужно воздержаться от занятий спортом, посещения бани, парилок, принятия горячей ванны, не употреблять алкоголь т.к. расширение сосудов опять же приведет к кровотечению из ранки,
- нельзя ковырять ранку, трогать ее языком,
- заменить полоскание теплыми ванночками. С этой целью хорошо подойдут отвары целебных трав, которые набирают в рот, держат пару минут, а потом выплевывают,
- нельзя греть область лица, так как это вызовет активный прилив крови, чего допускать в период реабилитации категорически нельзя. А вот холод наоборот, допускается, он поможет снизить интенсивность болевых ощущений и других проявлений. Достаточно приложить что-то холодное, но предварительно лед или замороженное мясо нужно поместить в полотенце, чтобы не получить травму и некроз тканей,
- не нужно пользоваться зубной щеткой и пастой сразу после операции, а в последующие дни осуществлять гигиену очень аккуратно,
- отказаться на время от твердой пищи, и пережевывать продукты здоровой стороной челюсти.
Если пациент ответственно отнесется к выбору специалиста и к последующему уходу за ранкой, то осложнения ему не грозят. И помните, лучше один раз потерпеть и выполнить все необходимые условия для скорейшего выздоровления, чем потом длительное время страдать от неприятных осложнений.
Запах после удаления зуба мудрости — довольно частое явление, если есть некая инфекция, попавшая в свежую ранку. При этом откладывать профессиональный осмотр однозначно нельзя, если в лунке сохраняется осколок зуба и кусочек какого-либо инородного предмета или защитный кровяной сгусток был случайным образом удален.
Воспалительные процессы
Если причиной удаления зуба стал воспалительный процесс в его корнях (киста, гнойники), то возможно инфицирование раны во время удаления. В таком случае, в лунке может возникнуть воспаление с образованием гноя. Что также станет причиной дурного запаха изо рта.
Также могут возникать осложнения при хронических воспалительных процессах – пародонтите, гингивите.
Удаление зуба является достаточно болезненной и неприятной процедурой, которая назначается только в том случае, когда консервативное лечение не возымеет должного эффекта.
Однако после экстракции зуба из альвеолы нередки осложнения и негативные последствия, одним из которых является инфицирование лунки зуба и как следствие возникновение отталкивающего запаха, исходящего из ротовой полости.
Когда нужно снова обратиться к врачу после удаления?
Если после операции врач назначил повторный прием, то пропускать его нельзя. Кроме того, повторно посетить стоматологический кабинет стоит при любого рода беспокоящих побочных эффектах.
Особенно срочные меры необходимы, когда галитоз сопровождается следующими признаками осложнений:
- болью;
- отечностью десен и лица;
- кровотечениями;
- появлением гноя;
- температурой.
Если упустить время или проигнорировать тревожную симптоматику, проблема неизбежно усугубится.
Лекарственные средства для полоскания
Чтобы предупредить возникновение зловонного аромата из ротовой полости, рекомендовано применение таких антисептических составов, как:
- «Фурацилина» раствор. Готовят такое средство самостоятельно. Следует растворить в стакане кипятка две таблетки препарата, а затем настоять до охлаждения. Указанный лекарственный раствор – мощное антисептическое и противовоспалительное средство. Использование «Фурацилина» показано при сильных воспалениях десневых тканей и гнойных осложнениях.
- «Хлоргексидин» тоже в растворе. Данный медицинский раствор позволяет предупредить развитие гнойных поражений.
- «Мирамистин». Эффективно борется с неприятным запахом из полости рта, предотвращает возникновение в лунке гнойного отделяемого.
Полоскать рот следует с аккуратностью, чтобы не вымыть из лунки остатки кровяного сгустка. Стоматологи советуют просто держать антисептик над проблемной зоной. Осуществлять мероприятия по гигиене полости рта следует только спустя 1-2 суток после процедуры экстракции. Также следует выдерживать между процедурами интервал в 6 часов. Если врач поместил ватный тампон с антисептиком, извлекать его самостоятельно или проводить полоскания запрещается.
Удалили зуб: какая реакция считается нормальной?
Удаление зуба, особенно восьмого моляра, или зуба мудрости, имеющего сложное строение и располагающегося в труднодоступном месте, является очень сложной процедурой. Во время ее проведения происходит сильное повреждение тканей, из-за чего нормальная реакция организма на осуществленную процедуру и заживление образовавшейся лунки сопровождается следующими симптомами:
- Кровотечение. Около получаса после удаления зуба из лунки выделяется кровь. В дальнейшем она сворачивается, и образуется сгусток, препятствующий попаданию инфекции в заживающую лунку.
- Боль в десне. Они появляются после прекращения действия анестезии. Это вполне нормально, так как десневые ткани были травмированы, а кроме них могли быть затронуты и нервные окончания, находящиеся возле корневой системы зуба. Важно следить за интенсивностью боли. Если она постепенно проходит, то заживление идет как надо, если же нарастает, то следует обратиться к стоматологу.
- Незначительное повышение температуры тела. В течение первых суток после того, как удалили зуб, она может подниматься до 37–37,5 градусов. Это естественная реакция на полученную травму.
- Отечность. Если отек небольшого размера и не продолжает увеличиваться, то паниковать не нужно. Он должен сойти через 1–2 дня.













