Тактика лечения
При наличии данной патологии лечение направлено на постепенное выведение излишков жидкости из головного мозга, а также на восстановление церебрального метаболизма. Важным является определение первопричины отёка и её устранение. При этом применяют разные способы лечения. При отёке, который не вызван опухолями и гематомами, можно обойтись медикаментозной терапией. Кроме того, нередко прибегают к дренированию черепной коробки для снижения внутричерепного давления. Лечение отёка мозга всегда комплексное.
Отек головного мозга является серьезным состоянием, требующим незамедлительного медицинского вмешательства. Врачи подчеркивают, что это явление может возникнуть по различным причинам, включая травмы, инсульты и инфекционные заболевания. Специалисты отмечают, что отек приводит к увеличению давления внутри черепа, что может вызвать повреждение нейронов и, в конечном итоге, привести к серьезным неврологическим последствиям.
Медики акцентируют внимание на важности ранней диагностики и своевременного лечения. В зависимости от причины отека могут быть применены различные методы терапии, включая медикаментозное лечение, хирургические вмешательства и реабилитацию. Врачи также подчеркивают необходимость комплексного подхода к лечению, который включает как физическую, так и психологическую поддержку пациентов. Профилактика и контроль факторов риска, таких как гипертония и травмы, играют ключевую роль в снижении вероятности возникновения отека головного мозга.
Хирургическое вмешательство
Если патология спровоцирована травмой, в результате которой сформировалась гематома, то показано хирургическое вмешательство. Такой подход применяют также при наличии опухолей головного мозга доброкачественного и злокачественного происхождения.

При этом чаще всего производят удаление патологического участка с помощью специального нейроэндоскопа. Сначала врач создаёт доступ к органу, проделывая небольшое отверстие в черепной коробке. Потом с помощью эндоскопа достигает патологического очага и аккуратно иссекает его. Однако такой способ не всегда возможен, ведь некоторые опухоли располагаются рядом с жизненно важными центрами, случайное травмирование которых может спровоцировать летальный исход или парализацию.

При отёке головного мозга, вызванного ушибом, инфекционными заболеваниями и инсультом применяется трепанация черепа. Такой вид хирургического вмешательства позволяет снизить внутричерепное давление. Благодаря этому уменьшается риск сдавливания важных центров головного мозга. Операция заключается в дренировании черепной коробки. Создаётся небольшое отверстие, которое прикрывается височной мышцей. Такая мера необходима при сильном отёке, который угрожает летальным исходом. После устранения причины отверстие закрывается черепной костью или имплантом.

Консервативные способы терапии
Для выведения излишка жидкости прибегают к внутривенному вливанию петлевых диуретиков, таких как Торасемид, Фуросемид и другие. Действие данных препаратов усиливает инъекционное введение 40% раствора глюкозы и 25% магния сульфата. Такая комбинация лекарств способствует не только снижению внутричерепного давления, но и питанию церебральных нейронов.

Дополнительно для лечения применяют:
- Метаболиты: Мексидол, Цитиколин и др. Улучшают кровообращение головного мозга, избавляют от гипоксии и оказывают антиоксидантное действие. Применяют как для внутривенного вливания, так и назначают для приёма внутрь. Курс в каждом случае индивидуальный.
- Глюкокортикоиды: Преднизолон, Гидрокортизон и др. Назначают для устранения симптомов отёка, а также для стабилизации клеточных мембран. Применяют такие медикаменты коротким курсом. Также используют либо для внутривенного введения, либо назначают для приёма внутрь.
- Обезболивающие: Анальгин, Темпалгин и др. Применяют для устранения интенсивной симптоматики, которая сопровождается головной болью.
- Антибиотики: Амоксициллин, Флемоксин и др. Данную группу медикаментов применяют для лечения, если причиной является инфекционное заболевание или его осложнения, такие как абсцесс.
Отек головного мозга — это серьезное состояние, которое вызывает множество обсуждений среди медицинских специалистов и пациентов. Люди часто делятся своими переживаниями и страхами, связанными с этой проблемой. Некоторые отмечают, что отек может возникнуть после травмы, инсульта или инфекций, что делает его особенно опасным. Важно понимать, что симптомы могут варьироваться: от головной боли и тошноты до потери сознания. Многие пациенты подчеркивают необходимость своевременной диагностики и лечения, так как запущенные случаи могут привести к необратимым последствиям. В социальных сетях можно встретить истории о восстановлении и поддержке, что вселяет надежду тем, кто столкнулся с этой проблемой. Люди также обсуждают важность профилактики и здорового образа жизни, чтобы снизить риск возникновения отека.
Медикаменты, которые применяют для лечения — фотогалерея
Реабилитационный период
Реабилитация после отёка головного мозга часто занимает не менее 3 месяцев. При этом в течение 4–8 недель пациент должен соблюдать постельный режим. В период восстановления организма необходимо правильно питаться, в рацион должно поступать больше растительной клетчатки, круп, свежевыжатых соков и рыбы. В меню необходимо включить также постные первые блюда, орехи и сухофрукты. Питьевой режим определяет врач в зависимости от причины отёка. Часто количество выпиваемой жидкости за сутки не должно превышать 1–1,5 л.

Восстановительный период может включать лёгкую гимнастику, недолгие прогулки на свежем воздухе, а также приём медикаментов, улучшающих кровообращение в головном мозге. Реабилитация исключает умственную и физическую нагрузку. Также запрещено нервничать и длительное время находиться в одном положении.
Как можно заподозрить отёк головного мозга основные симптомы
Заподозрить начало развития отёка головного мозга – очень непростая клиническая задача. Ведь отдифференцировать его первые признаки и проявления основного заболевания практически невозможно.
Предположить начало отёка можно лишь в том случае, когда отсутствие прогрессирования первичной патологии у больного точно доказано. Манифестирует осложнение нарастанием неврологического дефицита и появлением судорог на фоне динамичного ухудшения сознания вплоть до коматозного состояния.
Субъективные ощущения человека, или Жалобы при развитии отёка мозга
Во время нарастания отёка головного мозга первыми жалобами пациента станут:
- головная боль распирающего характера;
- постоянная тошнота и многократная рвота, которая не приносит облегчения и не сопряжена с приёмом пищи;
- сонливость (самый неблагоприятный прогностический признак);
- судороги, которые ранее не наблюдались. Вначале они носят клонический или тонико-клонический характер и завершаются вполне благоприятно. Но по мере дальнейшего развития отёка, частота судорог увеличивается, внутричерепное давление нарастает и прогрессирует угнетение сознания;
- светобоязнь.
Все эти симптомы вызваны нарастающей ликворной гипертензией и относятся к общемозговым проявлениям неврологической патологии, которые не строго специфичны для отёка мозга.
Признаки отёка мозга, обнаруживаемые при объективном осмотре
Клиника отёка головного мозга проявляет себя усилением выраженности местных симптомов и нарастанием общемозговых вследствие его распространения на функционально значимые отделы мозга (таламус, гипоталамус, стволовые структуры и др.) или же его генерализации. При обследовании больного невролог выявит три группы признаков формирования отёка мозга:
- симптомы, свидетельствующие о повышении давления цереброспинальной жидкости в полости черепа;
- усугубление очаговой и распространённое рострокаудальное нарастание неврологической симптоматики;
- признаки дислокации ствола мозга.
При нарастающей ликворной гипертензии в первую очередь возникают менингеальные симптомы (ригидность затылочных мышц, гиперэстезия, симптом Кернига и Брудзинского), затем повышаются сухожильные рефлексы и расширяется их рефлексогенная зона.
Присоединяются глазодвигательные нарушения: ограничение движения глазных яблок, ослабление конвергенции, диплопия, повышается температура тела. Прогрессирует судорожный синдром.
Вторая группа симптомов характеризуется усилением очагового неврологического дефицита (парезов, речевых нарушений и т.д.), а также возникновением признаков распространения патологического процесса с коры головного мозга на подкорковые, а затем и стволовые структуры.
Отёк больших полушарий мозга характеризуется угнетением высшей нервной деятельности, сознания. Развиваются генерализованные судороги. При вовлечении подкорки (базальные ганглии, гипоталамус, лимбическая система и др.) возникают гиперкинезы, психомоторное возбуждение, хватательные и защитные рефлексы, удлиняется время тонической фазы эпиприступов.
Признаки вклинения мозговых структур, появляющиеся на фоне их дислокации, подразделяются на верхние (при смещении среднего мозга в вырезку намёта мозжечка) и нижние (при ущемлении ствола мозга в большом затылочном отверстии).
Симптомами повреждения среднего мозга являются:
- угнетение сознания до коматозного состояния;
- анизокория (зрачки разных размеров);
- мидриаз (расширение зрачков);
- страбизм, или косоглазие;
- спастический односторонний паралич;
- парциальные судороги в конечностях.
Бульбарный синдром (дизартрия, дисфагия, дисфония), который считается первым признаком смещения продолговатого мозга и свидетельствует о критическом подъёме давления внутри черепа, сопровождается следующими симптомами:
- резким падением артериального давления,
- брадикардией,
- снижением мышечного тонуса и температуры тела,
- отсутствием сухожильных рефлексов,
- максимальным расширением зрачков с двух сторон при отсутствии фотореакции,
- неподвижностью глазных яблок,
- появлением патологического дыхания, которое переходит в апноэ (отсутствие дыхания).
Как предотвратить
Причиной большой смертности при отеке мозга является также несвоевременное или неправильное оказание медицинской помощи. Лечение данного патологического состояния проводится исключительно в условиях реанимационного отделения, иначе смерть неизбежна. От скорости постановки диагноза, выявления этиологического фактора и произведенной терапии зависят шансы пациента выжить. Полноценное купирование отека мозга возможно только при устранении причин его возникновения.
Избежать смерти можно, если придерживаться следующих принципов терапии:
- избавление пациента от лишней жидкости достигается путем введения диуретиков;
- поддержание кислотного и электролитного балансов происходит с помощью физиологических растворов;
- пациент постоянно должен находиться на адекватной оксигенации;
- различными группами препаратов поддерживают сердечную деятельность, не позволяя падать или подниматься давлению, выравнивая ритм;
- улучшение обменных процессов в головном мозге и уменьшение степени поражения нервных тканей достигается с помощью блокаторов ферментов протеолиза;
- восстановление микроциркуляции проводится с помощью кортикостероидов;
- жаропонижающими средствами восстанавливают температуру тела (высокие показатели усиливают явления);
- симптоматическая терапия также проводится, в частности используют противосудорожные лекарства.
Этиологическое лечение зависит от причин, которые привели к отеку. При воспалительных патологиях назначают антибиотики. Если имеется аллергическая реакция, то требуется ударная доза глюкокортикоидов. При инсульте проводится восстановление оксигенации мозга. При онкологических процессах проводят операции по удалению опухолей.
Сохраните ссылку, или поделитесь полезной информацией в соц. сетях
- 5 768
- 12
Svitlana от6, 16:11
Копирование материалов разрешено только с использованием активной гиперссылки на сайт!
Самолечение при отеках может быть опасным для вашего здоровья. При первых симптомах обратитесь за неотложной помощью.
Отека мозга, его причины и последствия
Легкий отек, который появился из-за легкого сотрясения или перепада высоты, способен пройти самостоятельно, а вот тяжелая форма отека требует немедленного оперативного лечения.
Отек головного мозга обусловлен скоплением избыточного количества жидкости в его тканях. Последствия отека головного мозга всегда очень серьезные и часто необратимые. Причины разные и часто непредсказуемые.
https://youtube.com/watch?v=ME-awe9fY_U
Развитие отека обычно происходит очень быстро. Свободное пространство между клетками мозга наполняет патологическая жидкость и он становится больше в объеме.
Полости черепа имеет ограниченный объем и поэтому происходит повышение внутричерепного давления.
Важно
44″ radius=”5″]
В результате сдавливания мозговых структур ухудшается кровообращения, наступает кислородное голодание и постепенное отмирание клеток мозга. Именно поэтому необходима неотложная и эффективная медицинская помощь.
Не зависимо от причины возникновения отека, его последствия по степени выраженности можно подразделить на две группы: умеренные и тяжелые.
Умеренные последствия
К умеренным последствиям относят:
- периодическая или постоянная тошнота;
- частая рвота не приносящая облегчение;
- постоянные или периодические головные боли;
- нарушения сна, частая бессонница;
- слабость и головокружения;
- онемения, покалывания в руках или ногах;
- ухудшение зрения.
Тяжелые последствия
Отек мозга опасен тем что вызывает сдавливание или смещение структур мозга, с чем связано нарушение работы его отделов, которые отвечают за зрение, дыхание и другие функции жизнедеятельности. Кома, а так же остановка дыхания являются результатом вклинения мозга в черепную коробку.
К тяжелым последствия относят:
- частичная мышечная слабость – парез
- полная утрата мышечной силы – паралич;
- расстройства сознания;
- нарушение зрения;
- психические расстройства;
- развитие слабоумия;
- нарушения речи;
- нарушение дыхания и сердечных функций
- судороги и эпилепсия .
Причины появления
Правильное и своевременное выявление причины появления отека и ее устранение повышает шансы на выздоровление. Но даже устранение причины его появления последствия могут остаться и человек на всю жизнь может остаться инвалидом.
- черепно-мозговые травмы;
- внутримозговые кровоизлияния;
- ишемический инсульт, обусловленный тромбозом;
- воспалительное поражение мозговых кровеносных сосудов;
- болезни свертывания крови;
- опухолевые заболевания мозга, мозговых оболочек
- инфекции (энцефалит, менингит, токсоплазмоз);
- перепад высот.
При развития инсульта отек мозга происходит за короткий срок. Наиболее выражен на 3 – 5 сутки. Чаще к 7 – 8 суткам происходит его уменьшение. Отмершие ткани и клетки не способны восстановиться даже после терапии. Следствием инсульта и высокого давления внутри черепа может стать постоянная инвалидизация и парализация организма.
Легкий отек, причиной появления которого стало не сильное сотрясение или небольшой перепад высоты способен пройти самостоятельно. При тяжелой форме необходимо немедленно посетить медицинское учреждение, так как на кону стоит жизнь человека.
Лечение
Терапия должна быть направлена на снижение внутричерепного давления и устранение первопричины. Для снижения внутричерепного давления часто используют разные оперативные вмешательства, например вентрикулостомию. Лишнюю жидкость, которая накопилась в желудочках головного мозга, дренируют с введением катетера. Также для этого подходит метод удаления части черепной кости – трепанация.
Иногда прибегают к помощи внутривенного введения мочегонных препаратов, которые помогают выводить жидкость и снижать давление, однако их эффективность сомнительна.
Иногда прибегают к введению в организм больного кислорода – оксигенотерапии. Кислород насыщает кровь, обогащенная кровь насыщает поражённый мозг, отек спадает интенсивнее. Гипотермия является действенным методом снятия отека с помощью снижения температуры тела. В настоящее время используется реже.
Профилактика должна быть направлена на предотвращение наиболее частых причин возникновения отека. Соблюдение здорового образа жизни, регулярный сон, активный образ жизни помогут в этом.
Типы отеков
Отечности тканей в человеческом организме — явление частое. Обычно они не доставляют больших проблем, но только если не затрагивают мозг, расположенный в замкнутом пространстве. Недопустимо, чтобы мозг увеличивался в объеме, учитывая плотность черепной коробки, которая не способна расширяться при набухании тканей и возрастающем давлении на нее. В противном случае усиливается ишемия нейронов, а отечность активно прогрессирует. Этому состоянию немало способствует возрастающий уровень углекислого газа и уменьшение объема кислорода и белка, перераспределение электролитов. В итоге наблюдается нарушение метаболизма и функциональности мозга.
Специалисты различают несколько типов отечности, ориентируясь на их природу:
- При повышенной проницаемости капилляров развивается вазогенный отек, характеризующийся увеличением белого вещества. При внутренних кровоизлияниях, нарушении функциональности ЦНС и формировании новообразований развивается перифокальный отек вазогенного вида.
- В случае разрушения мозговых клеток под воздействием токсинов формируется цитотоксическая отечность, при которой патологические изменения можно обратить в первые шесть или восемь часов. Цитотоксическая патология характеризуется критическими изменениями в метаболизме. Отечность развивается на фоне интоксикации, облучения либо формирования ишемического заболевания.
- У новорожденных младенцев часто наблюдается гидростатическая отечность, возникающая из-за роста вентрикулярного давления. У старшего поколения перивентрикулярный отек наблюдается достаточно редко. Его развитию обычно способствуют травмы, перенесенные оперативные вмешательства.
- Если наблюдается нарушение соотношения плазмы с мозговыми тканями, может развиться осмотическая отечность. Заболевание считают осложнением при печеночной недостаточности, водной интоксикации ЦНС, развитии гипергликемии либо метаболической энцефалопатии.
Отдельно следует рассматривать проблемы, затрагивающие мозговые ткани новорожденных. Патология развивается на фоне травм либо из-за нарушений, имевших место в процессе развития плода, осложненной родовой деятельности, гипоксии и прочих воздействий.
Диагностика отека мозговых структур
Врач начинает диагностические мероприятия с общего осмотра, опроса жалоб (если пациент в сознании). Если без сознания, проводится опрос родственников, персонала который присутствовал во время начала клинических проявлений.
Далее проводится физикальное неврологическое обследование на наличие патологических неврологических синдромов. И оценка потерянных функций вследствие поражения мозга.
После этого пациента направляют на дополнительные методы диагностики.
Травмы требует исследование черепа с помощью рентгена. Для оценки тяжести повреждений костей. Оценивают повреждения черепа.
После назначают компьютерную и магниторезонансную томографию для оценки распространения отечности.
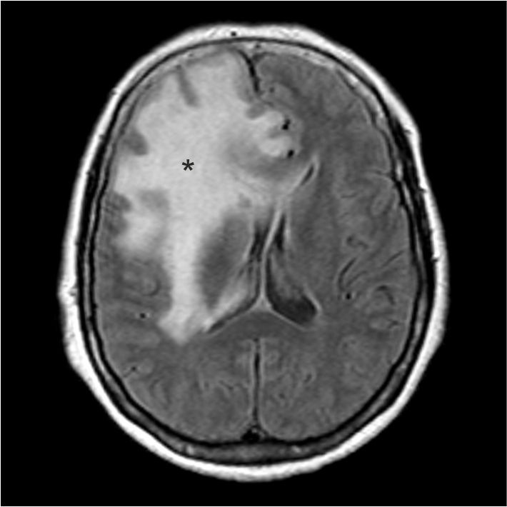
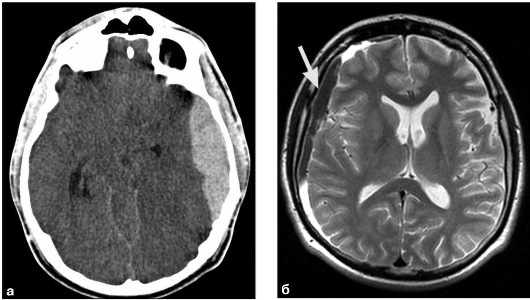
На снимке отек мозга:
Вследствие гематомы: а. На КТ; Б. На МРТ.
Из-за накопления жидкости в тканях мозга, происходит давление внутри, возникает отек.
Классификация
Выделяют несколько форм патологии, главные из которых: очаговая и генерализованная. Первая характеризуется ограниченным участком набухания тканей и часто возникает на начальных стадиях. Генерализованная форма является следствием отсутствия лечения. При этом отекают все ткани левого или правого полушария. Набухание возникает под воздействием трёх факторов:
- тканевого — жидкость накапливается в межклеточном пространстве при нарушении микроциркуляции;
- циркуляторного — происходит расширение сосудов, при котором давление на ткани увеличивается;
- сосудистого — стенки сосудов становятся проницаемыми и некоторая часть крови пропотевает через них.

Выделяют следующие виды патологии:
- вазогенную, характеризующуюся патологической проницаемостью гематоэнцефалического барьера, (может провоцироваться опухолями и заболеваниями сосудистой системы);
- перифокальную, представляющую собой отёк, возникающий в очаге ишемии, абсцесса, опухоли или в области хирургического вмешательства;
- цитотоксическую, возникающую при нарушении функций глиальных клеток и регуляции нейронов (часто провоцируется вирусными заболеваниями, воздействием токсических веществ и т. д.);
- диффузную — отёк возникает равномерно и охватывает все ткани головного мозга;
- травматическую — является следствием ушиба, удара, автомобильной катастрофы и т. д., сначала поражает некоторый ограниченный участок мозга, впоследствии охватывая располагающиеся рядом ткани;
- осмотическую, появляющуюся в результате повышения осмолярности церебральных тканей (жидкости становится больше, чем должно быть). Может возникнуть при неудачном гемодиализе или при утоплении);
- интерстициальную (паравентрикулярную), возникающую при увеличении давления внутри желудочков, при котором происходит пропитывание жидкостью окружающих их тканей мозга.

Лечение отека головного мозга
Отек мозгового вещества это тяжелое состояние организма, которое требует неотложных вмешательств, независимо от того, где началось нарастание отечности, дома или в медицинском учреждении. После неотложных мероприятий проводится насыщение нервной ткани кислородом, снижение количества жидкости в организме разными способами, снижение температуры.
Неотложная помощь
Неотложная помощь до прибытия медиков включает в себя несколько мероприятий призванных снизить тяжесть состояния.
Необходимо обложить голову человека пакетами со льдом для снижения температуры. Обеспечить ему адекватное дыхание, если во рту есть рвотные массы, другие жидкости. Нужно освободить его от этих жидкостей. Далее необходимо обеспечить достаточно свежего воздуха, человеку в этом состоянии нужно повышенное количество кислорода.
Иногда врач может принять решение о проведении оперативного вмешательства для снижения внутричерепного давления. Проводится трепанация черепа для отвода жидкости скопившейся внутри черепа или шунтирования для создания условий дренажа.
Дегидратационная терапия
Дегидратация – это выведение из организма воды. Она проводится с целью снижения количества лишней жидкости. Для выведения жидкости из организма показано назначение осмодиуретиков. Назначают такие препараты, как маннит, сорбит, глицерол.
Маннит вводится внутривенно, кратковременно снижает ВЧД, выводит воду через почки, вследствие создания повышенной осмолярности плазмы. Сорбит значительно слабее маннита по действия, а глицерол оказывает такое же действие как маннит.
https://youtube.com/watch?v=khR4jtiIQ58
Прочие лекарства в терапии отека мозговых структур
Кроме дегидратационных средств используют несколько других групп препаратов для уменьшения отечности.
Кортикостероиды нормализуют патологически увеличенную проницаемость сосудов в очаге отечности. Восстанавливают нормальный кровоток области поражения. Представитель группы: Дексаметазон.
Адекватная оксигенация и улучшение метаболизма мозга
Пациента переводят на искусственную вентиляцию легких. Поддерживают парциальное давление кислорода на уровне 100 мм. рт. ст. Проводится гипервентиляция легких, которая снижает отечность за счет сужения просвета сосудов. Обеспечения постоянного доступа кислорода к мозгу предотвращает развитие осложнений связанных с его недостатком.
Лечение, направленное на устранение причины и сопутствующих симптомов
Отек мозговых структур не является первичным заболеванием. Для того, чтобы быстрее пережить кризис, пациенту необходимо адекватное лечение основной патологии.
Лечение инфекционных заболеваний, таких как менингит, энцефалит, требует применения антибиотиков, направленных на уничтожение возбудителя. Больному создается спокойная обстановка для снижения воздействия внешних факторов.
Отек из-за воздействия сильного аллергена требует устранения аллергического воздействия.
При травмах часто прибегают к оперативному лечению травматических повреждений. Удаляют гематомы, ставят на место сломанные части костей, удаляют осколки.
Опухоли требуют обязательного оперативного удаления, если оно представляется возможным.
Лечение народными средствами
Народные средства, наряду с медикаментами способны оказывать мочегонное действие, которое способствует выведению жидкости. А также восстановление нормальной циркуляции крови в сосудистом русле, снижение внутричерепного давления.
Для снижения внутричерепного давления необходимо взять по 30 г. цветков песчаного цмина, горицвета, листья с цветками софоры. По 50 г. травы «якорцы», тысячелистник, зверобой, семена петрушки, цветы бузины. По 100 г. травы «Золотарник», листья с дерева «Береза белая». Сбор измельчить, заварить полторы столовых ложки на 300 мл кипятка. Настаивать 6 минут. Добавить меда, одну столовую ложку. Пить по половине стакана, за полчаса до еды, лечение проводится 1,5 месяца.
Для уменьшения таких симптомов, как шум в ушах, шаткость походки, скачки давления, боль в голове, частые головокружения, ухудшение памяти, снижение сил применяют следующий сбор.
Взять корневища валерианы, шиповника, аира болотный, солодки, алтея аптечного. Подсолнечник, пустырник, пырей, мяту, девясил. Все это приготовить и применять так же, как в первом рецепте.
Важно помнить о том, что лечение травами и другими средствами можно начинать после консультации со специалистом
Особенности развития и лечения
Важной частью терапии является поиск и устранение причины, вызвавшей недуг. Все манипуляции врачей проводятся исключительно в условиях реанимационного отделения больницы
В особенно тяжелых случаях данной болезни медики прибегают к оперативному вмешательству.
Возможные осложнения
Отек головного мозга имеет 3 стадии, от которых зависит лечение, прогноз и возможное развитие осложнений:
- начальная;
- выраженная;
- терминальная.

Последствия отека головного мозга могут развиться даже после проведения курса терапии. Предотвратить появление осложнений довольно трудно. Когда лечение патологии начато своевременно, то существует большая вероятность благоприятного исхода.
Возможные осложнения:
- расстройство психики и умственной деятельности;
- нарушение двигательной активности и координации;
- зрительная дисфункция;
- человек становится некоммуникабельным и неприспособленным к самостоятельной жизни;
- долгое пребывание в коме и летальный исход.
Симптом у детей
Причины возникновения подобного состояния у ребенка могут быть различными. Многое зависит от возраста больного. Если речь идет о детях 1-6 месяцев, то, скорее всего, патология развилась в результате родовой травмы или неправильного внутриутробного формирования плода. Когда заболевание обнаружено у старшего ребенка, значит, причиной стал другой недуг или травма.
Причины появления отечности у детей:
- последствия удушья или утопления;
- травма черепа или сотрясение мозга;
- стеноз гортани, произошедший вследствие респираторных болезней;
- новообразования в головном мозге;
- болезни инфекционной природы;
- высокая температура тела;
- инсульт ишемического типа;
- хронические патологии: сахарный диабет, недостаточность почек и печени, эпилепсия;
- образование гематомы над областью твердой мозговой оболочки;
- резкие перепады атмосферного давления.
Проявления заболевания у детей разного возраста тоже отличаются. Если ребенку от 6 месяцев до 2 лет, то доктору легко определить патологию по наличию выпуклого родничка и увеличению окружности головы. У старших детей при визуальном осмотре врач может и не обнаружить изменений.
Методы терапии
Важно правильно оказать первую помощь пациенту, стабилизировав работу сердца, дыхание и давление внутри черепа. Далее назначается ряд медикаментозных средств, способствующих снятию отечности
Назначаемые лекарства:
- Глюкокортикоиды (Дексаметазон).
- Вазоактивные средства (Метилдопа, Клонидин).
- Ангиопротекторы (Пармидин, Этамзилат).
- Препараты, стабилизирующие мембраны клеток (Дифенин).
- Блокаторы кальциевых каналов (Верапамил).
- Ингибиторы ферментов протеолиза (Пантрипин).
- Лекарства, улучшающие реологические свойства крови (Реополиглюкин).
- Диуретические средства (Фуросемид).
Многие не понимают, почему у них развился отек мозга. Непатологические причины скопления жидкости в этом органе, такие как горная болезнь, обычно не причиняют значительного вреда. Состояние человека нормализуется за несколько дней в домашних условиях. В случае тяжелых нарушений в мозге без вмешательства врачей не обойтись. Алкоголь и другие яды способны навредить людям и спровоцировать отечность тканей мозга, но выявить влияние этих факторов можно только в условиях стационара.
Заболевания, осложнением которых стал этот недуг, нуждаются в тщательной диагностике и терапии. Ведь даже после успешного проведения лечения отека мозга остается риск повторного скопления жидкости в этой области, поэтому только устранив провоцирующий фактор, можно надеяться на полное выздоровление.
https://youtube.com/watch?v=RtfYov8gIEA
Основные стадии развития опухоли
Как уже описывалось выше, любое заболевание онкологического характера, в том числе и опухоль головного мозга, имеет несколько этапов собственного развития. Все симптомы рака на ранних стадиях можно охарактеризовать тем, что зараженные клетки находятся в пределах границ опухоли. При дальнейшем развитии клетки начинают распространяться на другие органы.
Под первичной опухолью понимают то, что болезнь развивается непосредственно в мозговых тканях и участках, находящихся максимально близко. Характерны наличием определенных мутаций в клетках. Отклонения такого типа являются важным фактором, который способствует развитию зараженных клеток.
Опухоль метастатического характера появляется по причине процесса злокачественности в абсолютно любой части человеческого организма и в дальнейшем проникает в головной мозг. Данный вид очень опасен и болеют им намного чаще, чем другими типами опухолей.
Прогноз
На вопрос сколько живут с опухолью мозга однозначного ответа нет. Тут данные разные и зависят от нескольких параметров. При сочетании благоприятного гистологического типа с ранним обращением, шанс прожить 5 лет достигает 80%. Если гистологический вариант сообщает опухоли высокую злокачественность, а также если человек обратился поздно, шанс прожить 5 лет снижается до 30%.
Пятилетняя выживаемость по данным ВОЗ на 2012 год выглядит так:
| Вид опухоли головного мозга | В каком возрасте выявлена опухоль | ||
| 22-45 лет | 46-60 лет | 61 и старше | |
| Диффузная астроцитома | 65% | 43% | 21% |
| Анапластическая астроцитома | 49% | 29% | 10% |
| Глиобластиома | 17% | 6% | 4% |
| Анапластическая олигоденроглиома | 67% | 55% | 38% |
| Олигодендроглиома | 85% | 79% | 64% |
| Эпендиома/анапластическая эпендимома | 91% | 86% | 85% |
| Менингиома | 92% | 77% | 67% |
Опухоли у детей
Опухоли головного мозга могут развиваться у детей любого возраста. До 3 лет чаще регистрируются астроцитомы, медуллобластомы и эпендимомы. Менингиома и краниофаригиома практически никогда не встречаются.
Чаще всего опухоли мозга произрастают из структур, расположенных по срединной линии мозга, а, попадая в большие полушария, распространяются на 2-3 рядом лежащие доли. Нередко в опухолях мозга у детей обнаруживается много мелких кист – полостей, заполненных жидкостью.
Первыми признаками опухоли у детей являются:
- головная боль;
- тошнота;
- рвота;
- появление белой полоски склер между радужной оболочкой и верхним веком;
- судороги.
У детей школьного возраста головная боль появляется с утра, после рвоты немного ослабляется, а в течение дня проходит. Имеются усталость, снижение успеваемости; ребенок приходит со школы и старается прилечь.
Позже появляются очаговые симптомы: несимметричность лица, шаткость походки, нарушение поведения, выпадение полей зрения, галлюциноз, задержка развития, нарушение глотания, анорексия, звон в ухе.
Диагностика заключается в измерении окружности головы, серии обзорных рентгенограмм, ЭЭГ, УЗИ головного мозга, МРТ, каротидной ангиографии.
Основное лечение опухолей мозга у детей – хирургическое. Тотально можно удалить менингиому, папиллому, астроцитому, эпендимому, невриному, некоторые гипофизарные аденомы. Остальные опухоли резецируются частично, после чего может проводиться или химиотерапия, или (реже) лучевая терапия. Наиболее часто облучают злокачественные глиомы, медуллобластомы, метастазы. Эпендимомы и невриномы к рентгеновским лучам нечувствительны.
Для химиотерапии применяются такие препараты, как циклофосфан, фторафур, метотрексат, винбластин, блеомицин.
Симптоматические проявления отека головного мозга
Признаки пропитывания жидкостью белого и серого вещества могут быть выражены в различной степени тяжести. К примеру, при легком сотрясении мозга вполне может появиться незначительный локализированный отек. В большинстве случаев он быстро проходит без каких-либо последствий. Когда затрагиваются большие участки при отеке мозга, симптомы могут быть выражены значительно
Кроме того, немаловажное значение имеет скорость нарастания признаков подобного осложнения. В некоторых случаях от начала патологического процесса до летального исхода проходит не более 20 минут, что дает мало шансов на проведение реанимационных мер
Отечность тканей мозга может проявиться следующими симптомами:
- апатия;
- сонливость;
- головные боли;
- головокружение;
- тошнота;
- рвота;
- потеря ориентации в пространства;
- неспособность осознавать окружающую действительность;
- нарушения памяти;
- непроизвольные подергивания мышц;
- судороги;
- нарушения слуха и зрения;
- обмороки;
- ступор;
- затруднения речи;
- расходящееся косоглазие;
- повышение температуры тела;
- понижение артериального давления;
- нестабильный пульс;
- нарушение дыхания.
Набор симптомов при отеке мозга у разных больных может существенно различаться. При тяжелом течении этого патологического состояния нередки случаи появления слуховых и зрительных галлюцинаций. Как правило, подобные проявления более свойственны отекам мозга, вызванным тяжелой интоксикацией. Помимо всего прочего, при стремительном развитии этого осложнения больные достаточно часто впадают в кому.
Набор симптоматических проявлений во многом зависит от степени повреждения тканей головного мозга. Чем тяжелее протекает острый период у больного, тем хуже прогноз выздоровления и тяжелее последствия развития этого патологического состояния. Таким образом, нужно знать, какие симптомы сопровождают эту патологию для раннего начала лечения.
Вопрос-ответ
Что происходит с человеком при отеке головного мозга?
Увеличиваясь в размерах, мозг начинает компрессироваться, происходит сдавление тканей ЦНС. В результате развивается ишемический процесс, происходит постепенное отмирание тканей головного мозга. Нарушение относится к неотложным состояниям, смертельно опасным и грозным.
Сколько времени длится отек мозга?
Время длительности состояния может варьироваться от нескольких минут до нескольких часов. Изменение зрения или слуха, такие как двоение в глазах, смазанный вид или плохая слышимость, могут возникнуть как результат повреждения мозга.
Чем снять отек головного мозга?
Прежде всего выполняется дегидратационное лечение для удаления избыточной жидкости. Внутривенно вливают различные типы мочегонных и противоотечных средств – маннит, петлевые диуретики. Используют вещества, имеющие нейропротекторные свойства: магния сульфат, раствор глюкозы.
Советы
СОВЕТ №1
При первых признаках отека головного мозга, таких как головная боль, тошнота или изменения в сознании, немедленно обратитесь за медицинской помощью. Быстрая диагностика и лечение могут предотвратить серьезные последствия.
СОВЕТ №2
Изучите возможные причины отека головного мозга, такие как травмы, инфекции или опухоли. Знание факторов риска поможет вам быть более внимательными к своему здоровью и своевременно обращаться к врачу.
СОВЕТ №3
Следите за своим образом жизни: поддерживайте здоровую диету, занимайтесь физической активностью и избегайте вредных привычек. Эти меры могут помочь укрепить вашу нервную систему и снизить риск развития заболеваний, связанных с отеком головного мозга.



















