Краткая характеристика заболевания

Существует мембраногенный, гидростатический отек легких, которые отличаются по своему происхождению.
В зависимости от заболевания, приведшего к отеку, можно выделить кардиальный и токсический отек легких.
Врачи подчеркивают, что отек легких является серьезным состоянием, требующим немедленного медицинского вмешательства. Это состояние может возникнуть по различным причинам, включая сердечную недостаточность, пневмонию и травмы грудной клетки. Специалисты отмечают, что симптомы, такие как одышка, кашель с пенистой мокротой и чувство удушья, должны насторожить пациента и его близких. Важно понимать, что своевременная диагностика и лечение могут спасти жизнь. Врачи рекомендуют не игнорировать первые признаки заболевания и обращаться за помощью при возникновении тревожных симптомов. Профилактика, включая контроль за состоянием сердечно-сосудистой системы и отказ от курения, также играет ключевую роль в снижении риска развития отека легких.
https://youtube.com/watch?v=rtvE09JYDpc
Причины появления
Основные причины отека легких – застой в малом круге кровообращения или токсическое разрушение сосудов легких. Часто отек возникает при тех же заболеваниях, что и бронхиальная астма: кардиосклероз атеросклеротический, порок сердца, инфаркт миокарда, гипертония (кардиальный отек). В этих случаях отек представляет собой наиболее тяжелую форму сердечной астмы.
Причина отека легких токсического – отравление барбитуратами, алкоголем, ядами, азотными окислами, карбонилами металлов, мышьяком, а также ожог, диабетическая или печеночная кома, уремия.
Причина отека легких мембраногенного – первичное повышение проницаемости легочных капилляров, возникающее при различных заболеваниях.
Причина отека легких гидростатического – повышение внутрикапиллярного гидростатического давления крови до 7-10мм.рт.ст., вызывающее выход жидкой части крови в избыточном количестве, вывести которую через лимфатические пути невозможно.
Симптомы отека легких, диагностика
Ввиду того, что приступ развивается быстро, его диагностирование происходит на стадии осмотра, на основе наблюдающихся симптомов. Важно быстро разобраться в ситуации, оказать неотложную помощь при отеке легких, начать терапию во избежание повторных приступов, иначе человек может в течение нескольких минут умереть от удушья.
Развивается заболевание внезапно, ночью, когда больной спит или днем когда он испытывает волнение или прилагает физическое усилие. Зачастую начальные симптомы отека легких выражаются в частом покашливании, нарастании в легких влажных хрипов, изменении цвета лица. Больной чувствует сильное удушье, давящую боль, стеснение в груди, дыхание его резко учащается и даже на расстоянии слышно клокочущие хрипы. Все учащающийся кашель сопровождается обильным выделением пенистой розовой или светлой мокроты. Если состояние очень тяжелое, пена может идти и из носа. К этим симптомам добавляются затрудненные вдох и выдох, набухание шейных вен, холодный липкий пот, синюшность кожи.
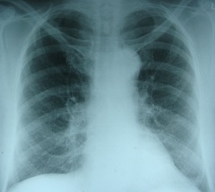
По мере того, как приступ развивается, при прослушивании легких определяются влажные разнокалиберные хрипы над различными участками легких, дыхание в этих участках либо ослаблено, либо вовсе отсутствует. Если во время приступа провести рентгенологическое исследование характерными симптомами отека легких будут их расширенные корни, очаговые крупные тени с нечеткими контурами (при этом прозрачность легочных полей понижена).
Отмечается также резкое учащение пульса, часто до 140-160 уд/минуту, иногда наблюдается внезапная брадикардия.
Уровень артериального давления не является важным симптомом отека легких – оно зависит от исходного уровня (до приступа) и может быть разным.
Обычные симптомы отека токсического происхождения дополняются признаками основного заболевания или разрушительного процесса: ожоговая болезнь, кома, повреждение верхних дыхательных путей и т.п.
Отек легких — это серьезное состояние, которое вызывает много обсуждений среди людей, сталкивающихся с этой проблемой. Многие отмечают, что симптомы, такие как одышка, кашель с пенистой мокротой и чувство удушья, могут возникнуть внезапно и вызывать панические настроения. Люди делятся своими историями о том, как быстрое обращение за медицинской помощью спасло жизни их близких. Некоторые подчеркивают важность осведомленности о факторах риска, таких как сердечно-сосудистые заболевания и пневмония. В социальных сетях можно встретить советы по первой помощи и рекомендации по профилактике, что свидетельствует о растущем интересе к этой теме. Многие также говорят о необходимости регулярных медицинских осмотров, чтобы предотвратить развитие серьезных осложнений.
https://youtube.com/watch?v=ChUpKVe9IRg
Лечение отека легких
Очень важно до проведения полноценной терапии оказать неотложную помощь при отеке легких:

После проведения неотложной помощи и стабилизации состояния партнера, проводят лечение отека легких, которое должно быть направлено на уменьшение действия или полное устранение причин приступа. Уменьшив приток крови к легким (кровопускание, жгуты, мочегонные средства), назначают препараты, облегчающие работу сердца, уменьшающие периферическое сосудистое сопротивление, улучшающие процесс обмена в миокарде.
Также в процессе лечения отека легких проводят ряд мероприятий, направленных на уплотнение капиллярно-альвеолярных мембран, постоянную подачу кислорода. Важно улучшить эмоциональное состояние пациента, вывести его из стресса, который зачастую и провоцирует приступ. Для этого в качестве лечения отека легких успешно применяют успокоительные препараты. Кроме общего успокаивающего эффекта эти средства уменьшают сосудистые спазмы, приток крови к легким, облегчают работу сердца, уменьшают одышку, проникновение жидкости тканей через капиллярно-альвеолярную мембрану, уменьшают интенсивность процессов обмена (что позволяет легче перенести недостаток кислорода).
Часто таким седативным средством, давно успешно применяющимся в лечении отека легких, является морфин. Его 1% раствор вводят внутривенно в объеме 1-1,5мл. В некоторых случаях это позволяет полностью устранить отек.
Профилактика заболевания
Предупреждение приступа заключается в своевременном лечении состояний и заболеваний, которые могут спровоцировать приступ, в соблюдении правил безопасности на производствах с использованием вредных токсичных веществ.
https://youtube.com/watch?v=o_0dKskvYkw
Вопрос-ответ
Что такое отек легких и какие его основные причины?
Отек легких — это состояние, при котором жидкость накапливается в легочных альвеолах, что затрудняет дыхание. Основные причины включают сердечную недостаточность, пневмонию, травмы грудной клетки, а также высокую-altitude sickness и аллергические реакции.
Какие симптомы могут указывать на отек легких?
Симптомы отека легких могут включать одышку, особенно при физической активности, кашель с пенистой мокротой, хрипы, чувство нехватки воздуха и беспокойство. В тяжелых случаях может наблюдаться цианоз (посинение кожи) и учащенное сердцебиение.
Как осуществляется лечение отека легких?
Лечение отека легких зависит от его причины. В большинстве случаев требуется немедленная медицинская помощь, включая кислородотерапию, диуретики для уменьшения жидкости в организме, а также медикаменты для поддержания функции сердца. Важно также устранить основное заболевание, вызвавшее отек.
Советы
СОВЕТ №1
При первых признаках отека легких, таких как одышка, кашель с пенистой мокротой или чувство нехватки воздуха, немедленно обратитесь за медицинской помощью. Быстрая реакция может спасти жизнь.
СОВЕТ №2
Избегайте физических нагрузок и стрессовых ситуаций, особенно если у вас есть предрасположенность к сердечно-сосудистым заболеваниям. Это поможет снизить риск возникновения отека легких.
СОВЕТ №3
Следите за своим артериальным давлением и уровнем холестерина. Регулярные медицинские осмотры помогут выявить проблемы на ранней стадии и предотвратить осложнения, включая отек легких.
СОВЕТ №4
Если вы находитесь в группе риска (например, страдаете от сердечной недостаточности или хронических заболеваний легких), обсудите с врачом возможность профилактического лечения и соблюдайте рекомендации по образу жизни.