Как появляется зубной камень?
Остатки пищи, микробы, слизь и различные микроорганизмы являются основным строительным материалом для образования так называемых зубных бляшек. По сути дела – это и есть хорошо известный нам зубной налет. Он очень мягкий и легко счищается при регулярной чистке зубов. Если же не поддерживать гигиену полости рта, то налет начинает отвердевать. Как правило, этот процесс продолжается в течение нескольких месяцев, после чего у человека образуется зубной камень. В основном отложения скапливаются в тех местах, где не происходит самоочищения зубов, поскольку именно здесь формируются идеальные условия для размножения бактерий и образования зубного камня.
У людей, которые плохо соблюдают гигиену ротовой полости и не чистят зубы, количество отложений увеличивается с возрастом, причем процесс этот начинается еще в детском возрасте. Запущенный зубной камень покрывает шейки зубов и их корни, а при отсутствии должного ухода переходит даже на протезы.
Врачи подчеркивают, что зубной камень является серьезной проблемой для здоровья полости рта. Он образуется в результате минерализации зубного налета, который не был удален вовремя. Специалисты отмечают, что наличие зубного камня может привести к различным заболеваниям десен, таким как гингивит и пародонтит. Эти состояния, в свою очередь, могут вызвать потерю зубов и другие осложнения. Врачи рекомендуют регулярные профилактические осмотры и профессиональную чистку зубов, чтобы избежать накопления камня. Кроме того, они советуют соблюдать гигиену полости рта, включая ежедневную чистку зубов и использование зубной нити. Забота о здоровье зубов с раннего возраста поможет предотвратить многие проблемы в будущем.
https://youtube.com/watch?v=3LBcjTEVGVk
Причины появления зубного камня
Пародонтологи выделяют несколько факторов, которые могут спровоцировать появление зубного камня:
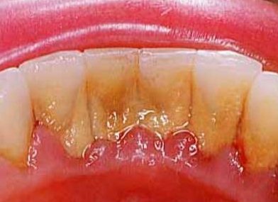
Виды зубного камня
В зависимости от места локализации отложений, специалисты выделяют наддесневой и поддесневой зубной камень. Первый хорошо заметен при осмотре ротовой полости, представляет собой белую или желтоватую массу, имеет твердую консистенцию. Удаление зубного камня над десной не представляет особых трудностей и производится в любой стоматологической клинике.
Поддесневой зубной камень – очень твердый, имеет темно-коричневый или зеленовато-серый цвет. Он плотно прилегает к поверхности нижней части зуба и обнаруживается только при осмотре у стоматолога с помощью специального зонда.
Зубной камень — это проблема, с которой сталкиваются многие люди. В основном, мнения о нем варьируются от легкомысленного отношения до серьезной озабоченности. Некоторые считают, что зубной камень — это лишь эстетическая проблема, которая влияет на внешний вид улыбки. Другие же осознают, что его наличие может привести к более серьезным стоматологическим заболеваниям, таким как кариес и гингивит.
Многие делятся своими историями о том, как регулярные посещения стоматолога помогли им избежать накопления зубного камня. В то же время, существует и мнение, что домашние средства, такие как полоскания и специальные пасты, могут эффективно справляться с этой проблемой. Однако большинство специалистов рекомендуют профессиональную чистку, так как только она может полностью удалить зубной камень и предотвратить его повторное образование. В итоге, забота о здоровье зубов и регулярная гигиена остаются ключевыми факторами в борьбе с этой неприятной проблемой.
https://youtube.com/watch?v=06NcQWOwRQE
Признаки появления зубного камня
В первую очередь, следует насторожиться тем людям, которые ощущают неприятный запах изо рта и страдают от кровоточивости десен. Для того чтобы убедиться в наличии зубного камня, можно провести простую диагностическую процедуру: возьмите ватный тампон, смоченный в растворе Люголя и тщательно протрите им зубы. Отвердевшие отложения хорошо различаются по более темному цвету. Так можно выявить наддесневой зубной камень, но отложения могут скопиться и под десной, поэтому при любых подозрениях и неблагоприятных симптомах лучше всего сразу обратиться в стоматологическую клинику.
С какой целью проводится снятие зубного камня?
Сразу следует заметить, что зубной камень является отличной средой для размножения болезнетворных бактерий, способствующих развитию целого ряда воспалительных заболеваний ротовой полости. Кроме того, отвердевшие отложения постоянно увеличиваются, спускаются вглубь зубной лунки и со временем образуют своеобразные «карманы» — пустоты, где скапливаются и гниют остатки пищи. В результате, зуб теряет устойчивость и может просто выпасть из лунки. Добавьте к этому столь неприятные последствия, как неприятный запах изо рта или кровоточивость десен, и вы поймете, почему стоматологи постоянно говорят о том, что удаление зубного камня абсолютно необходимо.
https://youtube.com/watch?v=hfDD7eOgf2g
Как врачи удаляют зубной камень?
В домашних условиях произвести качественное снятие зубного камня практически невозможно. Да, мягкий налет легко удаляется с помощью зубной щетки, ершиков или зубных нитей, но в случае с отвердевшими отложениями, которые имеют очень плотную консистенцию, все иначе. Удаление зубного камня могут провести только в профильных медицинских учреждениях, где специалисты проведут профессиональную чистку зубов. Данная процедура — не слишком быстрая, но зато она весьма эффективная и безболезненная.
Что касается используемых методик, то, как правило, врачи применяют современные ультразвуковые препараты. С их помощью снятие зубного камня производится наиболее щадящим способом и не доставляет пациенту никакого дискомфорта. Принцип действия подобных приборов основан на использовании ультразвуковых наконечников, которые вибрируют с очень высокой частотой. Профессиональное удаление зубного камня позволит человеку забыть о проблемах с отложениями, по крайней мере, на 2-3 месяца, после чего процедуру необходимо будет повторить.
Вопрос-ответ
Что такое зубной камень и как он образуется?
Зубной камень, или зубной налет, представляет собой твердые отложения на зубах, образующиеся в результате минерализации мягкого налета. Это происходит, когда бактерии, остатки пищи и слюна соединяются и затвердевают, если их не удалить вовремя. Основные факторы, способствующие образованию зубного камня, включают плохую гигиену полости рта, высокое содержание минералов в слюне и недостаток регулярных стоматологических осмотров.
Как можно предотвратить образование зубного камня?
Для предотвращения образования зубного камня важно соблюдать регулярную гигиену полости рта. Это включает в себя чистку зубов дважды в день с использованием фторсодержащей зубной пасты, использование зубной нити для удаления налета между зубами, а также регулярные визиты к стоматологу для профессиональной чистки. Также стоит ограничить потребление сладостей и кислых продуктов, которые могут способствовать образованию налета.
Каковы последствия наличия зубного камня?
Наличие зубного камня может привести к различным проблемам с зубами и деснами. Он может вызывать воспаление десен (гингивит), что, в свою очередь, может привести к более серьезным заболеваниям, таким как пародонтит. Кроме того, зубной камень может способствовать образованию кариеса и ухудшению общего состояния полости рта, что может потребовать более сложного и дорогостоящего лечения.
Советы
СОВЕТ №1
Регулярно чистите зубы дважды в день с использованием зубной пасты, содержащей фтор. Это поможет предотвратить образование зубного камня, так как фтор укрепляет эмаль и снижает риск кариеса.
СОВЕТ №2
Не забывайте о зубной нити! Использование зубной нити или межзубных щеток помогает удалять остатки пищи и налет из труднодоступных мест, что значительно снижает вероятность образования зубного камня.
СОВЕТ №3
Посещайте стоматолога не реже двух раз в год для профессиональной чистки зубов. Это позволит удалить зубной камень, который невозможно удалить в домашних условиях, и поможет поддерживать здоровье полости рта.
СОВЕТ №4
Сократите потребление сладких и кислых продуктов, которые способствуют образованию налета и зубного камня. Вместо этого выбирайте более здоровые закуски, такие как овощи и фрукты, которые способствуют естественному очищению зубов.

