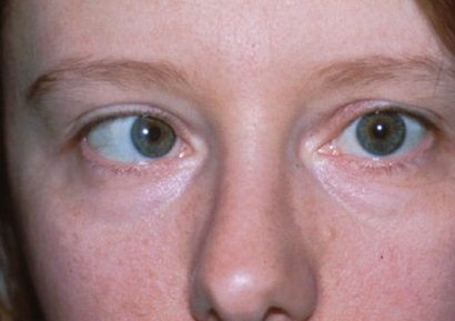
Косоглазие (страбизм, гетеротропия) – это неправильное положение глаз, вызванное нарушением функции глазодвигательных мышц, при котором глаза смотрят в разные стороны.
Каждый из глаз фокусируется в одном направлении, но посылает в мозг отличающиеся изображения, в чем легко может убедиться каждый человек, закрывая поочередно то правый, то левый глаз. В кортикальной части зрительного анализатора мозг объединяет картинки обоих глаз, получая единое трехмерное изображение, — так работает бинокулярное зрение в норме. При косоглазии глаза не фокусируются на одной точке, и изображения получаются настолько разными, что зрительный анализатор не в состоянии слить их в единое изображение.
При косоглазии мозг подавляет изображение, получаемое нездоровым, косящим глазом, и постепенно глаз вообще выключается из процесса зрения. Развивается состояние, называемое амблиопией, проявляющееся в нарастающем снижении зрения из-за подавления функции глаза мозгом. Глаз с подавленной функцией называют амблиопичным, или «ленивым». Этот процесс быстро развивается в случае косоглазия у детей, так как у них мозг очень быстро приспосабливается к изменяющимся условиям. Амблиопия обратима, если принять срочные и энергичные меры, в противном случае глаз может ослепнуть полностью и уже не восстановить свои функции.
Причины косоглазия
Косоглазие может быть врожденным или приобретенным. В первом случае причиной косоглазия является наследственная предрасположенность, врожденные аномалии развития глазодвигательных мышц или заболевания матери во время беременности.
Среди причин косоглазия приобретенного чаще всего называют заболевания центральной нервной системы; травмы, причем как физические, так и психические; ухудшение зрения одного из глаз; перенесенные инфекционные заболевания, являющиеся нередкой причиной косоглазия у детей.
Косоглазие, или страбизм, является распространенной проблемой, с которой сталкиваются многие пациенты, особенно в детском возрасте. Врачи подчеркивают важность ранней диагностики и лечения этого состояния, так как оно может привести к серьезным нарушениям зрения и психологическим проблемам. Специалисты отмечают, что в большинстве случаев косоглазие можно исправить с помощью очков, ортопедических методов или хирургического вмешательства. Важно, чтобы родители обращали внимание на любые признаки нарушения координации глаз у детей и не откладывали визит к офтальмологу. Кроме того, врачи акцентируют внимание на необходимости регулярного наблюдения за состоянием зрения у детей, поскольку раннее вмешательство значительно увеличивает шансы на успешное лечение и предотвращение осложнений.
https://youtube.com/watch?v=LN7xnH-LpUw
Виды косоглазия
Косоглазие делится на два вида: содружественное и паралитическое.
По характеру отклонения косоглазие бывает:
По стабильности проявления косоглазие может быть постоянным или периодическим.
Симптомы косоглазия
Главным симптомом косоглазия является внешний вид глаз, видимое косоглазие. Это не всегда достоверный признак, например, косоглазие у детей до года часто бывает мнимым. Мнимое косоглазие связано с особенностями строения глазных щелей у маленьких детей, из-за чего орбиты разворачиваются кнаружи, в результате создается впечатление расходящегося косоглазия. Косоглазие у детей до года истинное можно заподозрить тогда, когда постоянно отклонен один глаз, проявляя признаки паралитического косоглазия, но и это может быть просто вызвано тем, что яркие игрушки все время находятся лишь с одной стороны кроватки.
Помимо видимого отклонения положения одного из глаз, симптомами косоглазия являются вынужденное положение головы (постоянный наклон в одну сторону или поворот), при котором компенсируется двоение, прищуривание, головные боли и головокружения, а также одностороннее снижение зрения.
Косоглазие — это состояние, которое вызывает множество мнений и эмоций у окружающих. Многие люди воспринимают его как нечто необычное, что может вызывать недоумение или даже насмешки. Однако, с другой стороны, существует и более чуткое отношение. Некоторые отмечают, что косоглазие придаёт индивидуальности и шарма, делая человека уникальным. Важно понимать, что для многих это не просто физическая особенность, а реальная проблема, требующая внимания и поддержки. Общество постепенно начинает осознавать, что важно не только внешний вид, но и внутренний мир человека. Поддержка и понимание со стороны окружающих могут значительно улучшить качество жизни тех, кто сталкивается с этой особенностью.
https://youtube.com/watch?v=cQz4rzZXMLA
Диагностика косоглазия
Диагностика косоглазия проводится во время полного офтальмологического осмотра, в настоящее время для этого используют специальное компьютерное оборудование. Проводят тесты на бинокулярное зрение, проверяют девиацию, рефракцию и подвижность глазных яблок во всех направлениях. При диагностированном косоглазии обязательно неврологическое обследование.
Лечение косоглазия
Исправление косоглазия в некоторых случаях возможно терапевтическими средствами, но наиболее радикальным и эффективным методом является хирургическое лечение косоглазия. Выбор метода зависит от причины косоглазия, а также от его вида. Из-за риска развития амблиопии и потери зрения на один глаз, что неизбежно повлечет за собой ухудшение зрения и второго, здорового глаза, лечение косоглазия должно быть начато как можно раньше.
Если причина косоглазия в заболевании глаз (миопия, гиперметропия, астигматизм и др.), необходимо лечить в первую очередь данное заболевание. Часто коррекция остроты зрения и меры, принятые по устранению амблиопии являются достаточными для исправления косоглазия, особенно косоглазия у детей, так как в детском возрасте нервная система чрезвычайно восприимчива и легко перестраивается.
Для оптической коррекции применяют ношение специальных очков или линз, заклеивание здорового глаза, что побуждает к активности глаз с нарушениями, специальные упражнения, стимулирующие правильную работу «ленивых» мышц. Корректирующие очки могут успешно применяться даже в случае косоглазия у детей до года. Необходимо знать, что нехирургические методы лечения косоглазия требуют упорного, последовательного и длительного применения, в течение нескольких месяцев или даже лет.
В случае неуспеха консервативных методов исправления косоглазия, а также при некоторых формах, которые не подлежат консервативной коррекции, применяется хирургическое лечение косоглазия. Тип хирургического вмешательства определяется офтальмологом в зависимости от характера заболевания косоглазием. Сама операция проводится обычно под местной анестезией, лишь при косоглазии у детей применяют общий наркоз. Как правило, уже в день операции пациент может быть выписан.
При лечении косоглазия после операции требуется закрепление результата, и все так же необходимы активные мероприятия по тренировке глазодвигательной мышцы, для профилактики или устранения уже имеющейся амблиопии. Таким образом, для устранения косоглазия одного лишь хирургического вмешательства недостаточно, необходим комплексный подход. При таком подходе косоглазие вполне поддается коррекции.
https://youtube.com/watch?v=iHJDXlfS-Xg
Вопрос-ответ
Что такое косоглазие и как оно проявляется?
Косоглазие, или страбизм, — это состояние, при котором глаза не выравниваются должным образом и не смотрят в одном направлении. Это может проявляться в виде отклонения одного или обоих глаз внутрь, наружу, вверх или вниз. В результате такого расстройства может возникнуть двоение в глазах и затруднения с восприятием глубины.
Какие причины могут привести к развитию косоглазия?
Косоглазие может быть вызвано различными факторами, включая наследственность, нарушения в работе мышц глаз, проблемы с нервной системой или заболевания, такие как диабет. Также оно может развиваться у детей из-за несоответствия в рефракции глаз, когда один глаз видит лучше, чем другой.
Как лечится косоглазие?
Лечение косоглазия может включать в себя использование очков или контактных линз для коррекции зрения, специальные упражнения для глаз, а также хирургическое вмешательство для исправления положения глазных мышц. Важно обратиться к врачу-офтальмологу для определения наиболее подходящего метода лечения в зависимости от индивидуальных особенностей пациента.
Советы
СОВЕТ №1
Обратитесь к специалисту. Если вы заметили у себя или у вашего ребенка признаки косоглазия, важно как можно скорее обратиться к офтальмологу. Ранняя диагностика и лечение могут значительно улучшить результаты и предотвратить дальнейшие проблемы со зрением.
СОВЕТ №2
Следите за зрительной нагрузкой. Ограничьте время, проведенное за экранами (телевизор, компьютер, смартфон), особенно у детей. Регулярные перерывы и упражнения для глаз помогут снизить напряжение и улучшить зрение.
СОВЕТ №3
Используйте корректирующие очки или линзы. Если врач назначил вам очки или контактные линзы, не пренебрегайте ими. Правильная коррекция зрения может помочь улучшить состояние глаз и уменьшить проявления косоглазия.
СОВЕТ №4
Занимайтесь специальными упражнениями для глаз. Врач может рекомендовать специальные упражнения, которые помогут укрепить мышцы глаз и улучшить координацию. Регулярная практика этих упражнений может оказать положительное влияние на состояние зрения.

