Расширение челюсти – процесс коррекции челюстной ткани, который необходим при скученности зубов, сужении челюстной дуги, если челюсть узкая, зубы размещены неровно и т. д. Все эти аномалии заметно портят эстетику внешности, но, к счастью, современные ортодонтические методики позволяют эффективно решить проблему.
Процедура расширения костей рекомендована при таких диагнозах:
- микрогнатия (недоразвитие челюсти);
- микрогения (недоразвитие нижней челюсти);
- протрузия резцов (патология, при которой передние зубы слишком наклонены вперед);
- мезиальная окклюзия (нарушение смыкания зуб. рядов);
- перекрестный тип прикуса или перекрещивание челюстей;
- сужение апикального базиса и уменьшение периметра дуги челюсти.
Когда необходимо расширять челюсть?
Показаниями к увеличению размеров челюсти выступают:
- Микрогнатия – недоразвитость верхней челюсти. Развивается из-за несвоевременной смены или ранней потери зубов, рахита, заболеваний эндокринной системы, травм, вредных оральных привычек.
- Микрогения – малый размер нижней челюсти. Появляется в результате травм, наследственных факторов, воспалений височно-нижнечелюстного сустава (ВНЧС).
- Сужение верхнего зубного ряда, приведшее к симметричному перекрестному прикусу.
- Серьезные врожденные дефекты прикуса.
- Недостаток места, если необходимо исправить окклюзию без удаления единиц.
- Проблемы с дыханием, вызванные недостатком объема полости носа.
- Мезиальная дизокклюзия (выдвижение нижней челюсти вперед) 3 класса по Энглю.
Дополнительная информация! Микрогнатия встречается в несколько раз чаще, чем микрогения.
Расширение проводится аппаратными или хирургическими способами. Первые наиболее эффективны для лечения патологий у детей в молочном и сменном прикусе – в этот период костные структуры достаточно подвижны и хорошо восстанавливаются. У взрослых аппаратные методы лечения совмещают с оперативными, так как небный шов плохо поддается раскрытию.
Рекомендации по уходу
Для гигиены небного расширителя, необходимо придерживаться такого же режима чистки, что и для зубного ряда. Являясь сложной конструкцией, аппарат способствует скоплению и размножению микробов, которые могут спровоцировать различные патологии полости рта.
Для того чтобы этого избежать, необходимо очищать устройство во время утренней и вечерней чистки зубов. После каждого приема пищи, с него следует тщательно удалять частички пищи, используя зубочистки, специальные нити или ершики.
При отсутствии под рукой данных приспособлений, можно просто с усилием прополоскать рот водой или ополаскивателем. Большим плюсом является использование ирригатора, который способен вымывать бактериальный налет из всех микрозазоров аппарата.
Аппаратные способы
Расширение челюсти специальными аппаратами считается консервативным терапевтическим способом. Он может применяться в молочном, сменном или постоянном прикусе.
Важно! Так как сужение альвеолярного отростка может вызвать нарушение дыхания, все пациенты проходят предварительное обследование у отоларинголога.
Для исправления патологии используют аппарат Дерихсвайлера, небные расширители, ортодонтические пластинки, пружины, дистракторы.
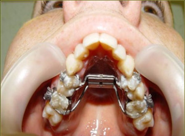
Аппарат Дерихсвайлера
Устройство состоит из:
- опорных колец – устанавливаются на молярах (жевательных зубах), оснащены замками для фиксации дуг;
- металлических дуг – крепятся к опорным кольцам, сходятся в области неба;
- винта-активатора – его периодически расширяют, чтобы усилить давление.
Аппарат Дерихсвайлера применяют для коррекции окклюзии у ребенка в раннем сменном прикусе. Для взрослых он малоэффективен, так как окостеневшее небо плохо подается раскрытию. Как вариант – вначале послабляют небный шов хирургическим способом, а после устанавливают конструкцию.
Устройство расширяет челюсть за счет мягкого раскрытия небного шва. Образовавшийся промежуток через время зарастает новой костной тканью.
Преимущества:
- щадящая коррекция;
- пациент не может самостоятельно снять конструкцию;
- малые сроки терапии.
Недостатки:
- хроническое травмирование языка;
- повышенное слюноотделение и нарушение речи в адаптационный период;
- осложненная гигиена;
- необходимы постоянные активации в стоматологии.
Средняя цена на аппарат Дерихсвайлера в клиниках Москвы – 25 тысяч рублей.
Небный расширитель
Расширитель состоит из:
- опорных колец – устанавливают на премоляры («четверки» или «пятерки») и вторые моляры («шестерки»);
- дуг – расположены крестообразно;
- винта.
Небный расширитель применяют для увеличения размера только верхней челюсти. Он одинаково эффективен в коррекции прикуса у детей и взрослых.
Плюсы:
- быстрое лечение – у ребенка занимает от 3-х недель, у взрослого – основная терапия – от 3-х месяцев, полная коррекция с закреплением результата – от года;
- при расширении альвеолярного отростка зубы остаются в лунках;
- пациент может самостоятельно активировать устройство.
Минусы:
- Форсированная коррекция. Активируют устройства раз в 2 дня не менее чем на 1 мм – для сравнения, другие конструкции необходимо подкручивать на 0,25 мм. Поэтому лечение сопровождается болезненностью. Кроме того, новая костная ткань формируется неравномерно, что может привести к ненормальной структуре небного шва.
- В отзывах пациентов упоминается сильное травмирование языка и слизистой неба.
- Осложненная гигиена.
- Из рациона необходимо исключит вязкие и кислые продукты.
В среднем небный расширитель стоит 12 тысяч рублей.
Ортодонтическая пластинка
Съемные дентальные пластинки изготавливают по индивидуальным слепкам в зуботехнической лаборатории. Они состоят из:
- жесткого пластикового базиса, повторяющего форму неба;
- кламмеров – фиксируют на молярах;
- винта-активатора;
- вестибулярных дуг – дополнительные элементы, вводят, когда необходимо уплощение в переднем отделе.
Применение ортодонтических пластинок ограничено. Их используют для коррекции окклюзии у детей в молочном и раннем сменном прикусе – в возрасте от 5 до 10 лет. Расширение челюсти пластинами возможно только до 4 мм, при этом дополнительное пространство появляется за счет наклона боковых зубов, без раскрытия небного шва.
Дополнительная информация! Ортодонтические пластинки не только увеличивают размеры альвеолярного отростка, но и нормализуют положение отдельных единиц.
Средняя цена одной пластинки – 8 000 рублей.
Дистрактор
Дикстракторы устанавливают после расширения челюсти хирургическим путем. Вначале делают надрез под верхней или нижней губой, отслаивают слизисто-надкостничный лоскут и проводят линейный распил по срединной линии. После устанавливают конструкцию и зашивают раны.
Активацию дистрактора проводят на второй неделе лечения. Его подкручивают на 1 мм каждый день. Когда челюсть приобретает необходимый размер, конструкцию оставляют во рту еще на 3 – 4 месяца, чтобы закрепить результат.
Стоит дистрактор от 10 000 рублей. Цена полного лечения стартует от 50 000 в столичных клиниках.
Пружины
Ортодонтические пружины используют совместно с основными конструкциями для лучшей коррекции определенного вида патологии.
Типы пружин:
- Пружина Коффина. Предназначена для расширения и удлинения верхней челюсти, а также перемещения зубов в мезио-дистальном направлении. Может быть одинарной или двойной, иметь овальную, округлую или грушевидную форму. Оснащена двумя фиксирующими отростками.
- Булавковидная. Модификация пружины Коффина. Более длинная, выполнена в форме английской булавки.
- Грушевидная. Сходна с двумя предыдущими пружинами. Отличия – грушевидная форма, увеличенная длина.
- Пружина Коллера. Применяют для увеличения нижнего зубного ряда. Бывает 2-х типов:
- для равномерного расширения – оснащена дополнительными 5-ю изгибами: по 2 с левой и правой стороны от уздечки языка, и 1 в центральной части.
Хирургические методы
Способы ортогнатической хирургии в основном используют у взрослых. У детей до 12 лет костная ткань пластична, быстро регенерирует, поэтому им назначают аппаратное лечение.
Операция проводится под общим наркозом в несколько этапов:
- иссечение слизистой и надкостницы ультразвуковым скальпелем;
- отслаивание слизисто-надкостничного лоскута;
- рассечение сегментов кортикальной пластины челюсти;
- установка расширяющего аппарата;
- постановка лоскута на место и его ушивание.
Расширение челюсти легче и быстрее проходит у детей. Поэтому при аномальном развитии зубочелюстных рядов необходимо заняться лечением сразу же после окончательного формирования молочного прикуса. Для коррекции недоразвитости альвеолярного отростка у взрослых необходимо прибегать к сложным методам ортогнатической хирургии.
Ответы на важные вопросы
Есть вопросы, которые наиболее часто волнуют пациентов перед вмешательством. Вот ответы на основные из них:
- операция не оставляет никаких внешних следов, т.к. хирург выполняет все манипуляции через разрезы в полости рта;
- нахождение в стационаре занимает не более трех суток;
- длительность операции зависит от ее вида и занимает от 1,5 (одна челюсть) до 6 часов (при вмешательствах на подбородке);
- манипуляции производятся исключительно под общим наркозом;
- период полного восстановления — 2-4 месяца;
- если целью операции является устранение эстетических недостатков, то разумно будет планировать комплекс из пластической и ортогнатической операции;
- кровопотеря при манипуляциях не превышает 100 мл.
Ортогнатическая операция требует от хирурга высокой квалификации и профессионализма, и цена такой процедуры не может быть низкой.
Цена на хирургическое вмешательство варьируется от 90 до 300 тыс. рублей. Все зависит от сложности и характера патологии.
Точную стоимость вам назовут непосредственно в центре челюстно-лицевой хирургии, после обследований и определения степени тяжести проблемы.
Профилактика
В ряде случаев, развитие подобного дефекта вполне можно избежать при соблюдении следующих рекомендаций:
- следует отдавать предпочтение грудному вскармливанию, а если такой возможности нет, контролировать отверстие на соске – оно не должно быть большим по размерам;
- необходимо правильно подобрать соску, чтобы ее положение не оказывало постоянное давление на слабую костную ткань десны;
- своевременная терапия стоматологических заболеваний.
Признаки
К основному признаку, свидетельствующему о наличии данного заболевания, относится визуальная наблюдаемость аномалии – такой дефект видим невооруженным глазом, и не требуется быть специалистом в ортодонтии, чтобы определить у человека такое отклонение.
Кроме того, патология деформирует естественные пропорции челюстно-лицевого аппарата. Подбородок заостряется и слегка приподнимается вверх. Врачи даже дали определение этому феномену – «птичья борода».
Важно понимать, что это не просто косметический дефект, микрогнатия грозит ее «владельцу» развитием патологии западания языка, что считается серьезным заболеванием.
Аномалия вызывает частые неконтролируемые приступы удушья и представляет серьезную угрозу жизни пациента.
Нередко заболевание диагностируют по такому характерному признаку – чрезмерная задвинутость подбородка приводит к сморщиванию кожных покровов в его области, а горизонтальная складка между подбородком и губой сглаживается.
Кроме того, недоразвитость нижней челюсти часто идет в один ряд с процессами мутации хромосомного ряда, что приводит к синдрому Патау.
Явным признаком, указывающим на наличие данного порока, является также неправильное расположение отдельных фрагментов зубного ряда.
В случае когда некоторые органы отсутствуют, соседние зубы меняют направление роста, пытаясь самопроизвольно заполнить свободное пространство.
Устройство ортодонтической пластинки
Пластины являют собой дугу из металла на пластиковой основе с фиксаторами. Их действие заключается в мягком давлении и своевременной коррекции при помощи винта. Подкрутить последний можно специальным ключом. Делается это для расширения поверхности пластинки и оказания большей нагрузки на зубной ряд.
Данную ортодонтическую конструкцию изготавливают, исходя из индивидуальных замеров маленького пациента, при этом основу из пластика подгоняют к поверхности десен с крайней точностью. Устранение дефектов зубов при помощи пластинок не доставляет больших неудобств, и дети к ним со временем привыкают.
Изготавливают ортодонтические пластинки для детей из полимера и металла, которые являются гипоаллергенными. При этом цвет и рисунок ребенок может выбрать сам. Снять пластинку на время приема пищи или гигиенических процедур, не составит труда.
Плюсы и минусы пластинок
Одним из главных преимуществ зубных пластин в отличие от брекет-системы является то, что ребенок может самостоятельно за ними ухаживать. Кроме того, при изготовлении приспособлений для детских зубов, взрослый сможет контролировать процесс и проверить устройство по факту изготовления. Изготовление пластин происходит в лаборатории, потому нахождение ребенка у стоматолога не займет много времени. Стоит отметить и другие несомненные достоинства пластин для детей:
Недостатком данных устройств являются ограничения в области применения. Связано это с тем, что пластины не способны передвигать зубы, а могут лишь удерживать в установленном положении. Потому эффективная коррекция зубов при серьезных дефектах невозможна. Иногда же причиной малоэффективности пластин является самовольное сокращение времени их ношения. Кроме того, недостатками являются:
- дискомфорт во время привыкания;
- не подходят при серьезных стоматологических проблемах;
- носить их необходимо большую часть суток;
- менее сильное давление на коронки сравнительно с брекетами;
- зачастую рекомендуются детям до 12 лет;
- требуется родительский контроль.
На примере ортогнатических операций можно увидеть, что часто за правильный прикус пациента, его хорошее самочувствие и гармоничные черты лица борются двое — ортодонт и челюстно-лицевой хирург.
И для проведения успешной ортогнатической операции необходимо, чтобы ряды зубов пациента были ровными — этим и занимается ортодонт во время почти полугодовой предоперационной подготовки. Но что делать, если консервативными методами ряды зубов не выровнять, например из-за такой патологической аномалии, как микрогнатия?
Микрогнатия — это врожденное или приобретенное недоразвитие челюстной кости. Выделяются верхняя и/или нижняя микрогнатия, а также односторонняя и двусторонняя.
Слишком узкая челюсть не позволит сформировать здоровый зубной ряд. И если пациентам в детском и подростковом возрасте еще можно помочь, не прибегая к хирургическому вмешательству — используя специальные расширители, то для взрослых, у которых рост костей лицевого черепа уже завершился, операция, возможно, единственный шанс суметь исправить прикус. Метод основан на растяжении образовавшегося между остеотомированными фрагментами челюсти кровяного сгустка, который постепенно подвергается минерализации и оссификации — превращается в костную ткань.
В зависимости от типа аномалии пациенту может быть показано хирургическое расширение верхнего зубного ряда, гораздо реже — нижнего, при этом часто требуется комбинированная операция на обеих челюстях. Операция по расширению верхней челюсти довольно проста: пациенту дают эндотрахеальный наркоз, после чего хирург получает доступ через ротовую полость, делая небольшой разрез под верхней губой, и, оголив тело челюсти, проводит остеотомию — распил по линии Lefort I и по срединному нёбному шву. По итогу получаются два подвижных фрагмента, которые и будет отодвигать друг от друга внутриротовой дистрактор. Он устанавливается на последнем этапе. При проведении операции на нижней челюсти дистрактор фиксируется в области зубного ряда. Коррекция случайно смещенного дистрактора или его замена не требует общего наркоза и проводится под местной анестезией.
Дистрактор, дистракционный аппарат — это механическое устройство из медицинского титана, предназначенное для постепенного, измеримого и контролируемого растягивания лицевых костей черепа.
Первые 5–7 дней после операции проходит реабилитационный период — в это время формируется кровяной сгусток и первичная костная мозоль по средней линии области остеотомии. Затем дистрактор активируется врачом — как правило, он расширяется на 1 миллиметр в день, причем пациент может сам проводить эту безболезненную процедуру. Такая скорость необходима для того, чтобы на месте распила формировалась именно костная ткань, а не соединительная. В это время необходимо тщательно соблюдать режим раскручивания аппарата, а также личную гигиену — титан следует очищать мягкой зубной щеткой.
Признаком правильно проведенной операции становится появление диастемы — щели между передними зубами. После окончания активации аппарат остается в ротовой полости еще как минимум на три месяца — время, необходимое для полного формирования расширенной челюсти пациента. Как только дистракционный аппарат удален, можно приступать к выравниванию зубов при помощи брекет-систем или ортодонтических кап. И впоследствии, если требуется, — к проведению ортогнатической операции.
Преимущества, а также недостатки
Ортодонтический аппарат Дерихсвайлера обладает особыми преимуществами, если сравнивать с иными конструкциями, которые применяются в подобном направлении.
- Быстрые результаты. Уже через 2 недели после фиксации системы можно наблюдать изменения в размере нёба.
- Короткие сроки лечения. В большинстве случаев для получения положительного результата хватает 2 месяца. Правда, для его устойчивости придётся ещё проносить конструкцию месяца 3, но винт уже не подкручивается, поэтому и давление на челюсть не оказывается.
- Быстрая адаптация. Из отзывов пациентов – давление на зубные ряды сильно ощущается первые 20 мин после подкручивания винта.
- Конструкцию Дерихсвайлера можно устанавливать одновременно с брекет системами. Тем самым сокращая период лечения и исправления патологий прикуса.
Говоря о недостатках. Пациенты, которые уже воспользовались подобными системами, отмечают: незначительные натирания языка об конструкцию, неудобства при подкручивании винта, нарушения в дикции и затруднения при еде, а также частые посещения стоматолога. Также к недостаткам системы можно отнести возможное осложнение такого лечения.
Вообще, осложнения от применения аппарата Дерихсвайлера редкий случай, и чаще возникает как исключение. Заключается оно в полном раскрытии нёба. Чтоб предупредить такой конечный результат лечения по расширению нёба, желательно начинать лечение до момента, когда полностью сформируются коренные зубы.
Итак. Первый визит. Что важно?
Возможно Вам показано хирургическое расширение верхней (и нижней) челюсти как этап ортодонтического лечения или подготовки к последующей ортогнатической операции.
Наша первая встреча будет состоять из вопросов и ответов, где мы обсудим возможные варианты лечения. Мы совместно решим, являетесь ли Вы хорошим кандидатом для данной операции, а также обсудим волнующие Вас проблемы касательно лица и зубочелюстной системы. Но для этого Вам необходимо иметь четкие представления о том, что бы Вы хотеле поменять в Вашем лице и какого результата от операции Вы ожидаете.
Пожалуйста, если у Вас уже имеются на руках снимки, гипсовые модели челюстей и данные компьютерной томографии челюстно-лицевой области, то обязательно возьмите все это с собой на консультацию. Не исключено, что для уточнения текущей клинической картины и составления оптимального плана лечения, Вам понадобится обновить данные всех ранее проведенных обследований и выполнить дополнительные.
Вам обязательно понадобится консультация врача-ортодонта и вполне возможно некоторых других специалистов. Также Вам понадобится посетить меня повторно и вполне возможно, что не один раз.
Этапы изготовления и установки
Пластины на зубы изготавливаются в индивидуальном порядке. Вначале ребенку делают рентген челюстно-лицевой области и слепки. После чего проверяется форма последних и изготавливаются сами пластинки. Они должны фиксироваться в правильном положении и соответствовать контуру зубов.
Ставить пластины на зубки совершенно не больно, к тому же ребенок сможет это делать сам. Впервые устройство устанавливают лишь минут на 10. Период же адаптации занимает от трех до пяти дней. Хотя вначале дискомфорт и нарушение дикции естественно будет присутствовать. Посмотрите видео-отзыв по использованию пластины:
Эффективность пластин – фото до и после выравнивания зубов
Насколько свидетельствуют отзывы, применение косметической пластинки для исправления детских зубов имеет положительный результат за небольшой срок. Сколько точно носить конструкцию, зависит от сложности проблемы и решается стоматологом индивидуально. К примеру, растущий кривой резец принимает верное положение уже через полгода (см. фото). Хотя увидеть положительную прогрессию можно уже через месяц ношения пластинки.
Однако пластина не всегда способна справиться с существующей аномалией, как к примеру, с большой скученностью зубов или глубоким прикусом. Согласно статистике пластины эффективны в 8 случаях из 10. Кроме того, эффективность ортодонтического лечения зависит от того, когда начата коррекция. Бесспорно, зубы детей и подростков куда более податливы, чем у взрослых.
Типы пластин
Пластины делятся на два основных типа – съемные и несъемные. Последние относятся к устройствам с замочками, которые крепятся к внешней стороне зубного ряда. С помощью замков устанавливается металлическая дуга, которая время от времени корректируется и тем самым способствует правильному положению зубов. Несъемные устройства могут справиться даже с весьма существенными дефектами и нередко их используют для исправления зубов у подростков и взрослых. Носить такую конструкцию необходимо около двух лет.
Составляющими съемных пластин являются пластина и дуга, иногда дополнительно используют винтики и крючки. Такая конструкция не в состоянии исправить серьезную ортодонтическую проблему. Средний срок ношения составляет 1,5 — 2 года.
Съемные ортодонтические пластинки делятся на такие подтипы:
- одночелюстные – действуют посредством подкручивания винтов;
- с рукообразным отростком – предназначены для коррекции единичных зубов;
- аппарат Френкеля – сложное устройство с щитками и пелотами применяют при ретрузионном или протрузионном положении фронтальных зубов;
- активатор Андрезена-Гойпля – состоит из двух частей, способен исправить сразу несколько дефектов;
- аппарат Брюкля – используется для нижней челюсти, когда требуется коррекция выдающихся вперед зубов;
- дуга ретракционного типа – обхватывает зубы с внешней стороны, применяется, когда необходимо выравнивание фронтальных зубов (рекомендуем прочитать: );
- дуга с активным толкателем состоит из основы, изготовленной из пластика и пружины – предназначена для палатинального положения верхних зубов.
Альтернативные варианты лечения
Часто пациенты оказываются перед выбором лечиться с удалением зубов или придумывать что-то необычное, альтернативное. Бывает так случается, что расширение челюсти проводится ни к селу ни к городу, в надежде избежать удаления. И таким образом совершается врачебная ошибка. Это видео демонстрирует успех в случае стандартного лечения брекетами.
Как свидетельствуют статистические данные, правильный прикус имеет лишь каждый десятый житель планеты. Если проблема с прикусом несущественна, исправлять его нет необходимости. Однако кому-то везет меньше, и неправильное расположение зубов не только мешает жевать, но и быть уверенным в себе и просто улыбаться. Потому при аномалии зубного ряда или неправильном прикусе важно вовремя проконсультироваться с ортодонтом.
Лучше всего, если лечение начнется еще в раннем детстве – растущая челюсть быстрее и менее болезненно примет новую форму. Чтобы выровнять зубки путем мягкого давления используются ортодонтические пластинки. Наиболее благоприятный возраст ребенка для их применения – до 12-13 лет.
Удаление зубов мудрости
Удаление зубов мудрости проводится по ортодонтическим и хирургическим показаниям.
В некоторых случаях отсутствие зубов мудрости облегчает или даже является необходимым условием для работы врача-ортодонта, и он сам направляет пациентов на удаление восьмых зубов до начала ортодонтического лечения.
Для хирургии это важно по двум причинам: если на верхней челюсти линия остеотомии (распила) может проходить через области расположения восьмого зуба, то на нижней челюсти линия остеотомии всегда проходит через восьмой зуб.
Таким образом, при наличии зубов мудрости, целесообразно рассмотреть их удаление одновременно с проведением хирургического расширения челюсти.
Причины формирования
Клинический мониторинг аномального состояния позволил выделить группу причин, провоцирующих сжатие челюстных дуг:
- Позднее введение в рацион ребенка твердой пищи. Пережевывание таких продуктов способствует правильному развитию челюстных костей, что очень важно в период активного формирования и роста детского скелета.
- Преждевременная потеря, либо удаление молочных зубов. Ранняя утрата молочников понижает жевательную активность, и расширяет дисфункциональное пространство.
- Нарушение в организме обменного процесса, что приводит изменению структуры и качества костной ткани.
- Заболевания общего характера, порождающие появление регулярного ротового дыхания, либо проблемы с речью и глотанием пищи.
- Вредные привычки. К примеру, постоянное стремление ребенка подкладывать во время сна руку под щеку, сосать палец, засыпать с бутылочкой.
- Генетическая предрасположенность.
- Врожденная расщелина неба.
Сужение челюстей (особенно верхней) также связывают с патологиями развития мышц языка или всей зубочелюстной системы, травмой, остеомиелитом, рахитом, возникновением постоянного ротового дыхания.
Принцип работы
Из школьной программы можно вспомнить, что верхняя челюсть человека это две половинки соединённые между собой эластичным швом. Чтоб увеличить размеры нёбо, достаточно этот шов разорвать. Именно эту работу и выполняет «Дерихсвайлер». Конечно, разрыв шва можно провести и хирургическим путём, но данная конструкция сделает это без оперативного вмешательства с постепенным воздействием.
Аппарат устанавливается так, чтоб его основа была по центру нёба. Фиксация основы производится благодаря кольцам, которые надеваются на опорные зубы. Установленный аппарат создаёт определённое давление на челюстные дуги, постепенно расширяя верхнюю челюсть в поперечном направлении и тем самым делая её шире. Увеличивается нагрузка давления при помощи металлического винта, который находится в основе системы. Пациенту составляется график, когда именно и насколько нужно сделать обороты винта.
Когда половинки челюсти расходятся, на месте шва начинает образовываться свободное пространство. Постепенно оно заполняется новообразовавшейся костной тканью, которая костенеет и не позволяет в будущем двум половинкам принять прежнее положение. В процессе расширения нёба, между зубными единицами начнёт образовываться свободное пространство. Особенно это заметно между передними резцами. Этого не избежать. Решается проблема дальнейшей корректировкой брекетами (или иными ортодонтическими конструкциями).
Лучше лечение начинать в период и переменного прикусов, когда половинки ещё полностью не срослись. Тогда шов ещё не окостенел. Поэтому лечение подобной конструкцией рекомендуется проводить до 18 лет. Максимальный возраст пациента не должен превышать 23 года.
Показанием к установке Дерихсвайлер может послужить:
- неверное соотношение обеих челюстей, когда верхняя челюсть уже нижней;
- верхний ряд зубных единиц выражается их скученностью;
- при выраженном перекрёстном прикусе;
- патологическое расположение клыков на верхней челюсти (когда клыкам не остаётся места для правильного расположения).
Из противопоказаний к установке можно отметить: возраст пациента, превышающий 23 года, возможная аллергическая реакция, вызываемая металлическими частями конструкции.
Определение понятия
В ортодонтической стоматологии понятие маленькой нижней челюсти имеет два определения. Несмотря на общее название, это абсолютно разные патологии.
Микрогнатия
Микрогнатия – аномалия, характеризующаяся недостаточным развитием челюсти в соответствии с физиологическими нормами.
Микрогнатия может быть, как общей, так и односторонней. Во втором случае изменения наблюдаются только в одном из боковых отделов.
Прогнатия
При прогнатии речь идет об аномалии прикуса, которая характеризуется чрезмерным ростом верхней челюсти и, как следствие, ее выступанием вперед.
При этом создается визуальное впечатление, что нижняя челюсть маленькая и не соответствует нужным параметрам.



